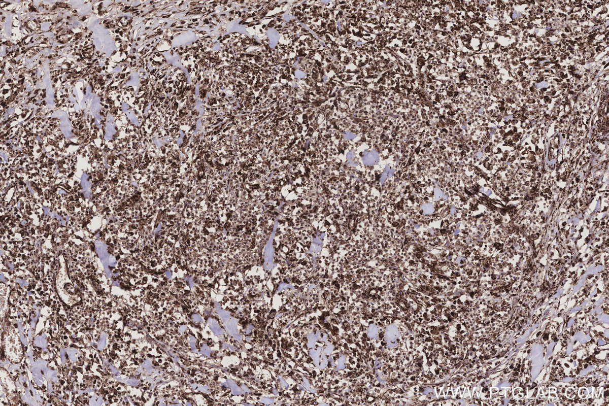
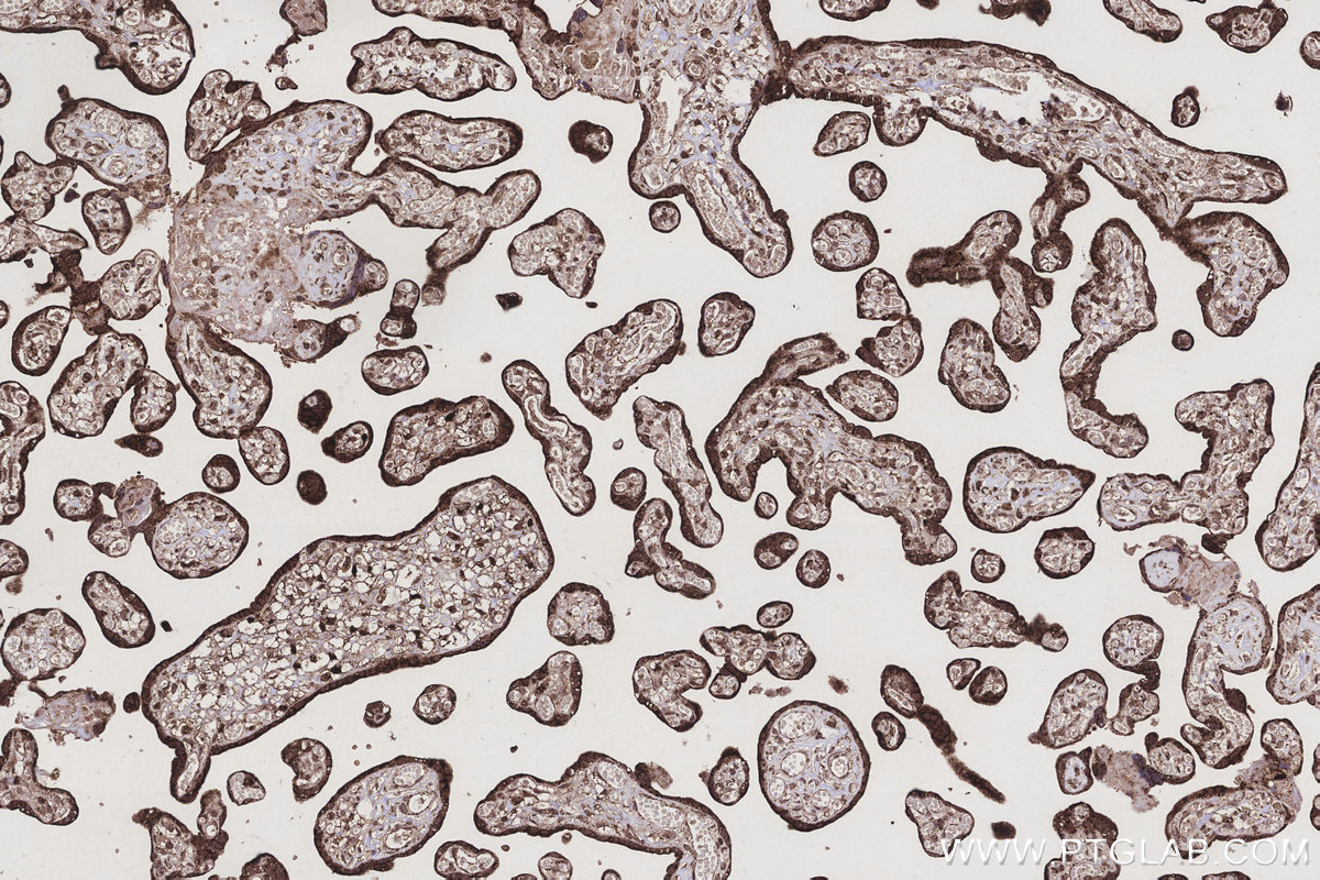
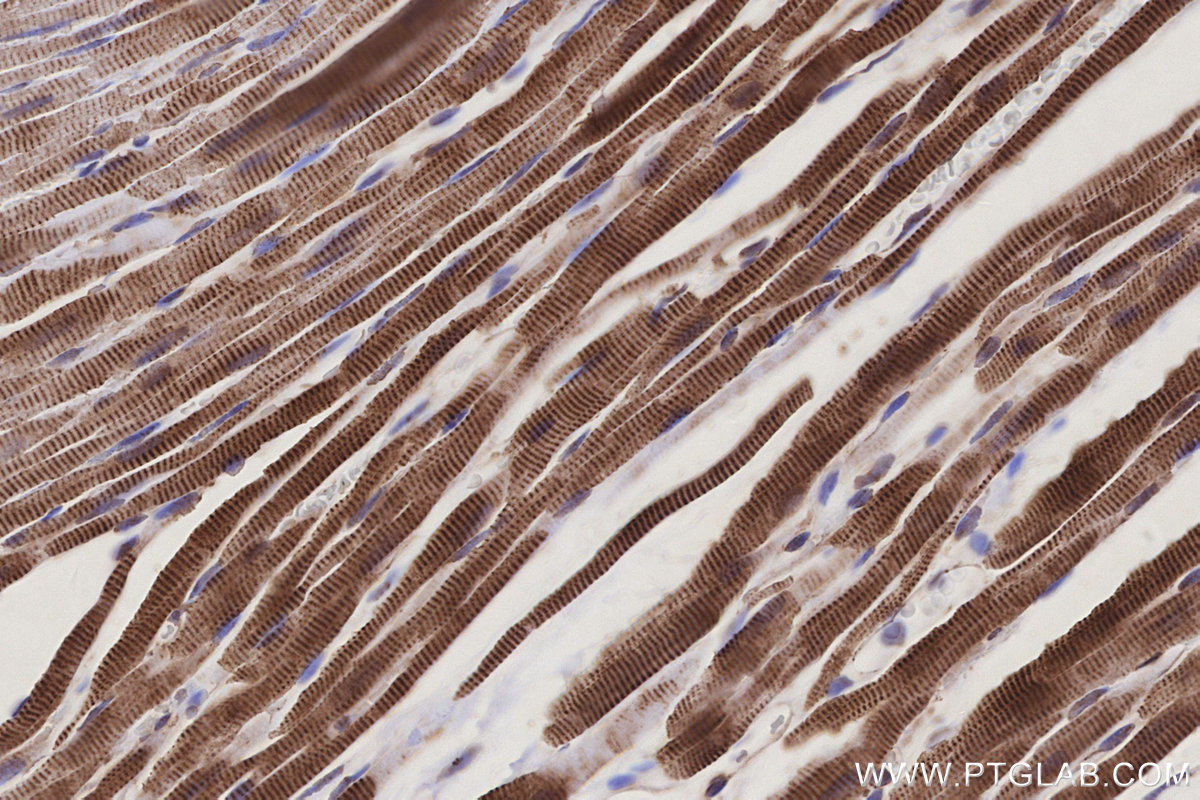
IHCeasy® ETFB Ready-To-Use IHC Kit
ETFB Ready-to-use reagent kit for IHC.
Reactivity
Human, Mouse, Rat
Sample Type
FFPE tissue
Cat no : KHC3207
Synonyms
Beta-ETF, FP585, MADD
Validation Data Gallery
Product Information
KHC3207 is a ready-to-use IHC kit for staining of ETFB. The kit provides all reagents, from antigen retrieval to cover slip mounting, that require little to no diluting or handling prior to use. Simply apply the reagents to your sample slide according to the protocol and you're steps away from obtaining high-quality IHC data.
| Product name | IHCeasy® ETFB Ready-To-Use IHC Kit |
| Sample type | FFPE tissue |
| Assay type | Immunohistochemistry |
| Primary antibody type | Rabbit Polyclonal |
| Secondary antibody type | Polymer-HRP-Goat anti-Rabbit |
| Reactivity | Human, Mouse, Rat |
Kit components
| Component | Size | Concentration |
|---|---|---|
| Antigen Retrieval Buffer | 100 mL | 50× |
| Washing Buffer | 100 mL ×2 | 20× |
| Blocking Buffer | 5 mL | RTU |
| Primary Antibody | 5 mL | RTU |
| Secondary Antibody | 5 mL | RTU |
| Chromogen Component A | 0.2 mL | RTU |
| Chromogen Component B | 4 mL | RTU |
| Signal Enhancer | 5 mL | RTU |
| Counter Staining Reagent | 5 mL | RTU |
| Mounting Media | 5 mL | RTU |
| Datasheet | 1 Copy | |
| Manual | 1 Copy |
Background Information
Electron transfer flavoprotein (ETF) exists in the mitochondrial matrix as a heterodimer of 30 kDa alpha subunits (ETFA)and 28 kDa beta subunits (ETFB) and contains 1 flavin adenine dinucleotide (FAD) and 1 adenosine 5-prime monophosphate (AMP) per heterodimer. It serves as a specific electron acceptor for several dehydrogenases, including five acyl-CoA dehydrogenases, glutaryl-CoA and sarcosine dehydrogenase. Defects in ETFB are the cause of glutaric aciduria type 2B (GA2B).
Properties
| Storage Instructions | All the reagents are stored at 2-8°C. The kit is stable for 6 months from the date of receipt. |
| Synonyms | Beta-ETF, FP585, MADD |






