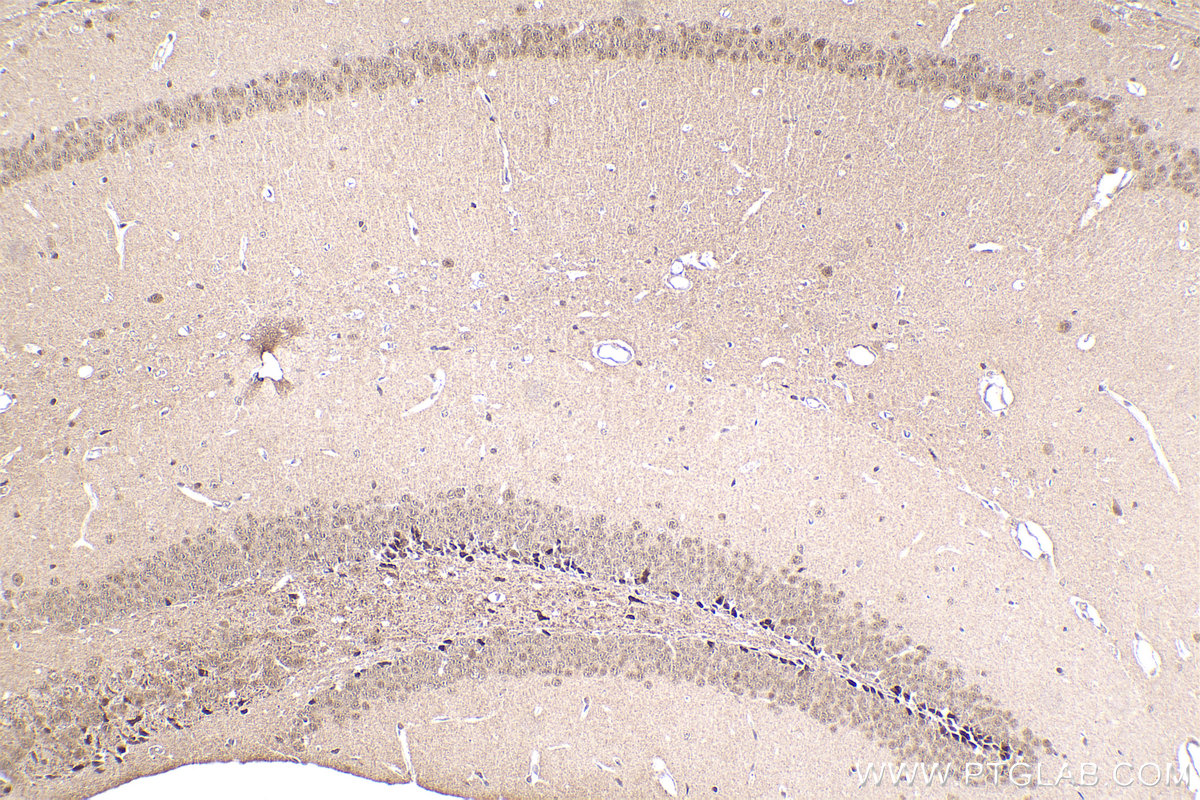
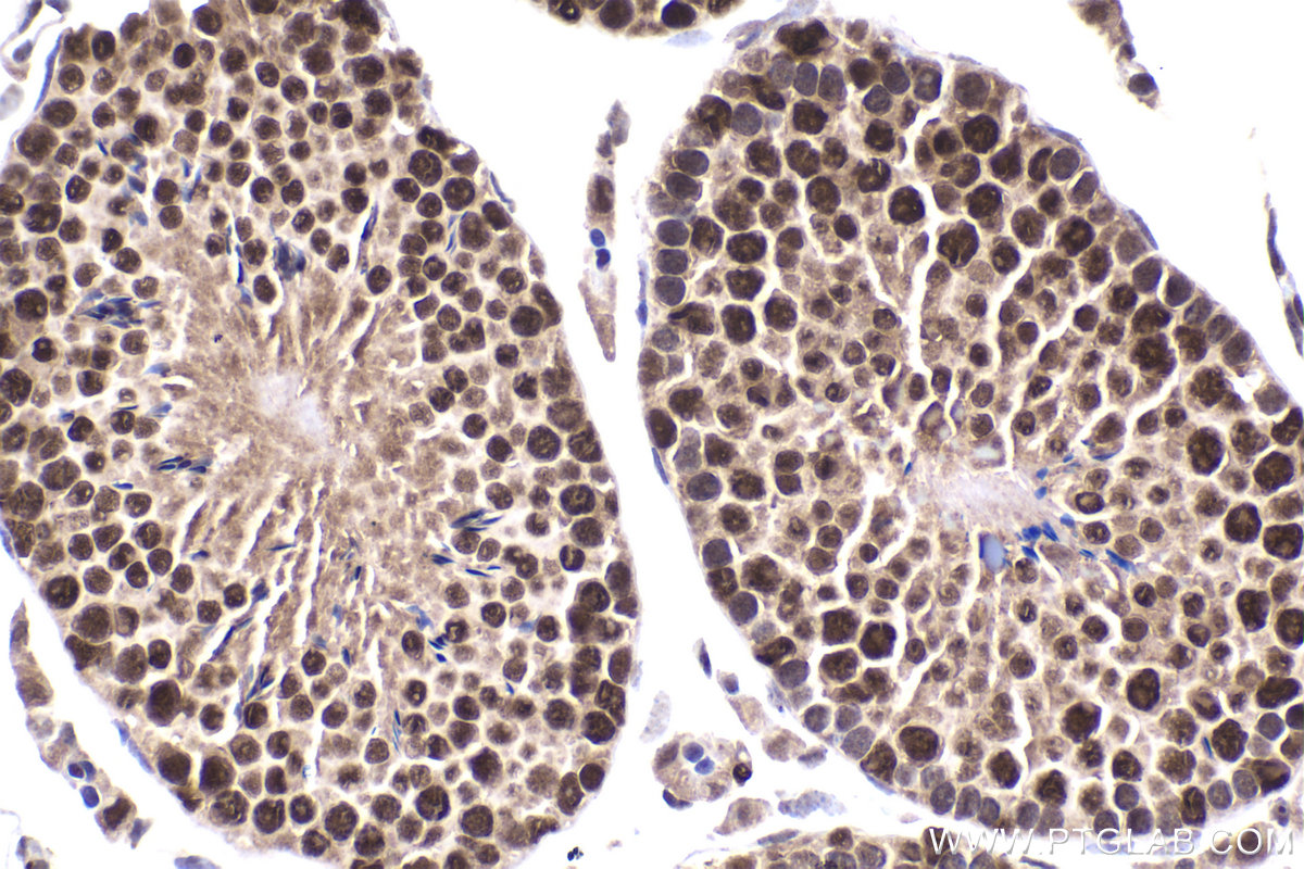
IHCeasy® ERCC2 Ready-To-Use IHC Kit
ERCC2 Ready-to-use reagent kit for IHC.
Reactivity
Human, Mouse, Rat
Sample Type
FFPE tissue
Cat no : KHC2197
Synonyms
Validation Data Gallery
Product Information
KHC2197 is a ready-to-use IHC kit for staining of ERCC2. The kit provides all reagents, from antigen retrieval to cover slip mounting, that require little to no diluting or handling prior to use. Simply apply the reagents to your sample slide according to the protocol and you're steps away from obtaining high-quality IHC data.
| Product name | IHCeasy ERCC2 Ready-To-Use IHC Kit |
| Sample type | FFPE tissue |
| Assay type | Immunohistochemistry |
| Primary antibody type | Rabbit Polyclonal |
| Secondary antibody type | Polymer-HRP-Goat anti-Rabbit |
| Reactivity | Human, Mouse, Rat |
Kit components
| Component | Size | Concentration |
|---|---|---|
| Antigen Retrieval Buffer | 100 mL | 50× |
| Washing Buffer | 100 mL ×2 | 20× |
| Blocking Buffer | 5 mL | RTU |
| Primary Antibody | 5 mL | RTU |
| Secondary Antibody | 5 mL | RTU |
| Chromogen Component A | 0.2 mL | RTU |
| Chromogen Component B | 4 mL | RTU |
| Signal Enhancer | 5 mL | RTU |
| Counter Staining Reagent | 5 mL | RTU |
| Mounting Media | 5 mL | RTU |
| Datasheet | 1 Copy | |
| Manual | 1 Copy |
Background Information
Excision-repair complementing defective in Chinese hamster 2(ERCC2), belongs to the nucleotide excision repair pathway, is a component of the TFIIH transcription complex and required for the association of the CDK-activating kinase(CAK) subcomplex with TFIIH. Since TFIIH is involved in both DNA repair and cell cycle progression, ERCC2 is implicated to play an integral role in the nucleotide excision repair pathway. Also it involves in the regulation of vitamin-D receptor activity. As a part of the mitotic spindle-associated MMXD complex, ERCC2 has a role in chromosome segregation.
Properties
| Storage Instructions | All the reagents are stored at 2-8°C. The kit is stable for 6 months from the date of receipt. |
| Synonyms |





