IHCeasy® EPRS Ready-To-Use IHC Kit
EPRS Ready-to-use reagent kit for IHC.
Reactivity
Human, Mouse, Rat
Sample Type
FFPE tissue
Cat no : KHC0869
Synonyms
DKFZp313B047, EARS, EPRS, GLNS, GLUPRORS, GluRS Prolyl tRNA synthetase, Glutamate tRNA ligase, PARS, PIG32, Proline tRNA ligase, QARS, QPRS
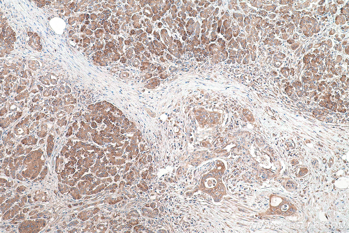
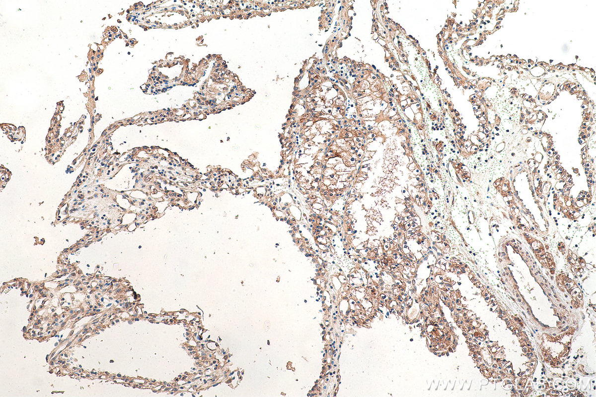
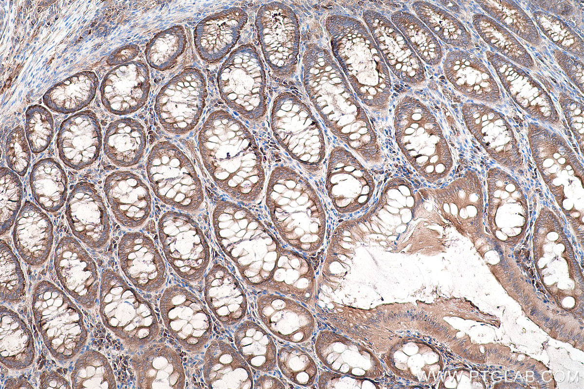
Validation Data Gallery
Product Information
KHC0869 is a ready-to-use IHC kit for staining of EPRS. The kit provides all reagents, from antigen retrieval to cover slip mounting, that require little to no diluting or handling prior to use. Simply apply the reagents to your sample slide according to the protocol and you're steps away from obtaining high-quality IHC data.
| Product name | IHCeasy EPRS Ready-To-Use IHC Kit |
| Sample type | FFPE tissue |
| Assay type | Immunohistochemistry |
| Primary antibody type | Mouse Monoclonal |
| Secondary antibody type | Polymer-HRP-Goat anti-Mouse |
| Reactivity | Human, Mouse, Rat |
Kit components
| Component | Size | Concentration |
|---|---|---|
| Antigen Retrieval Buffer | 100 mL | 50× |
| Washing Buffer | 100 mL ×2 | 20× |
| Blocking Buffer | 5 mL | RTU |
| Primary Antibody | 5 mL | RTU |
| Secondary Antibody | 5 mL | RTU |
| Chromogen Component A | 0.2 mL | RTU |
| Chromogen Component B | 4 mL | RTU |
| Signal Enhancer | 5 mL | RTU |
| Counter Staining Reagent | 5 mL | RTU |
| Mounting Media | 5 mL | RTU |
| Datasheet | 1 Copy | |
| Manual | 1 Copy |
Background Information
EPRS is a bifunctional aminoacyl-tRNA synthetase that catalyzes the aminoacylation of glutamic acid and proline tRNA species. The N and C termini contain ERS and PRS catalytic domains, respectively, joined by a 300 amino acid linker containing three tandem WHEP-TRS (referred to as WHEP) domains. EPRS has a special role in GAIT-mediated translational control, as it is solely responsible for recognition and interaction with GAIT elements in target mRNAs.
Properties
| Storage Instructions | All the reagents are stored at 2-8°C. The kit is stable for 6 months from the date of receipt. |
| Synonyms | DKFZp313B047, EARS, EPRS, GLNS, GLUPRORS, GluRS Prolyl tRNA synthetase, Glutamate tRNA ligase, PARS, PIG32, Proline tRNA ligase, QARS, QPRS |










