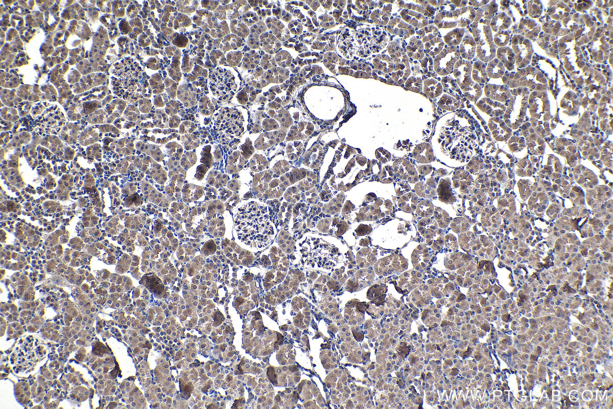
IHCeasy® EPHX2 Ready-To-Use IHC Kit
EPHX2 Ready-to-use reagent kit for IHC.
Reactivity
Human, Mouse, Rat
Sample Type
FFPE tissue
Cat no : KHC1437
Synonyms
CEH, Cytosolic epoxide hydrolase, EPHX2, Epoxide hydratase, Epoxide hydrolase 2, SEH, Soluble epoxide hydrolase
Validation Data Gallery
Product Information
KHC1437 is a ready-to-use IHC kit for staining of EPHX2. The kit provides all reagents, from antigen retrieval to cover slip mounting, that require little to no diluting or handling prior to use. Simply apply the reagents to your sample slide according to the protocol and you're steps away from obtaining high-quality IHC data.
| Product name | IHCeasy EPHX2 Ready-To-Use IHC Kit |
| Sample type | FFPE tissue |
| Assay type | Immunohistochemistry |
| Primary antibody type | Mouse Monoclonal |
| Secondary antibody type | Polymer-HRP-Goat anti-Mouse |
| Reactivity | Human, Mouse, Rat |
Kit components
| Component | Size | Concentration |
|---|---|---|
| Antigen Retrieval Buffer | 100 mL | 50× |
| Washing Buffer | 100 mL ×2 | 20× |
| Blocking Buffer | 5 mL | RTU |
| Primary Antibody | 5 mL | RTU |
| Secondary Antibody | 5 mL | RTU |
| Chromogen Component A | 0.2 mL | RTU |
| Chromogen Component B | 4 mL | RTU |
| Signal Enhancer | 5 mL | RTU |
| Counter Staining Reagent | 5 mL | RTU |
| Mounting Media | 5 mL | RTU |
| Datasheet | 1 Copy | |
| Manual | 1 Copy |
Background Information
EPHX2(Epoxide hydrolase 2) acts on epoxides (alkene oxides, oxiranes) and arene oxides and plays a role in xenobiotic metabolism by degrading potentially toxic epoxides. A number of single nucleotide polymorphisms (SNPs) in human EPHX2 have been linked to cardiovascular disease risk, including increased risk of coronary heart disease, hyperlipoproteinemia, and type-2 diabetes. It has also been reported that the N-terminal domain might promote dimerization of EPHX2.
Properties
| Storage Instructions | All the reagents are stored at 2-8°C. The kit is stable for 6 months from the date of receipt. |
| Synonyms | CEH, Cytosolic epoxide hydrolase, EPHX2, Epoxide hydratase, Epoxide hydrolase 2, SEH, Soluble epoxide hydrolase |





