IHCeasy® EMC2/TTC35 Ready-To-Use IHC Kit
EMC2/TTC35 Ready-to-use reagent kit for IHC.
Reactivity
Human, Mouse, Rat
Sample Type
FFPE tissue
Cat no : KHC3254
Synonyms
TTC35, EMC2, ER membrane protein complex subunit 2, KIAA0103, TPR repeat protein 35
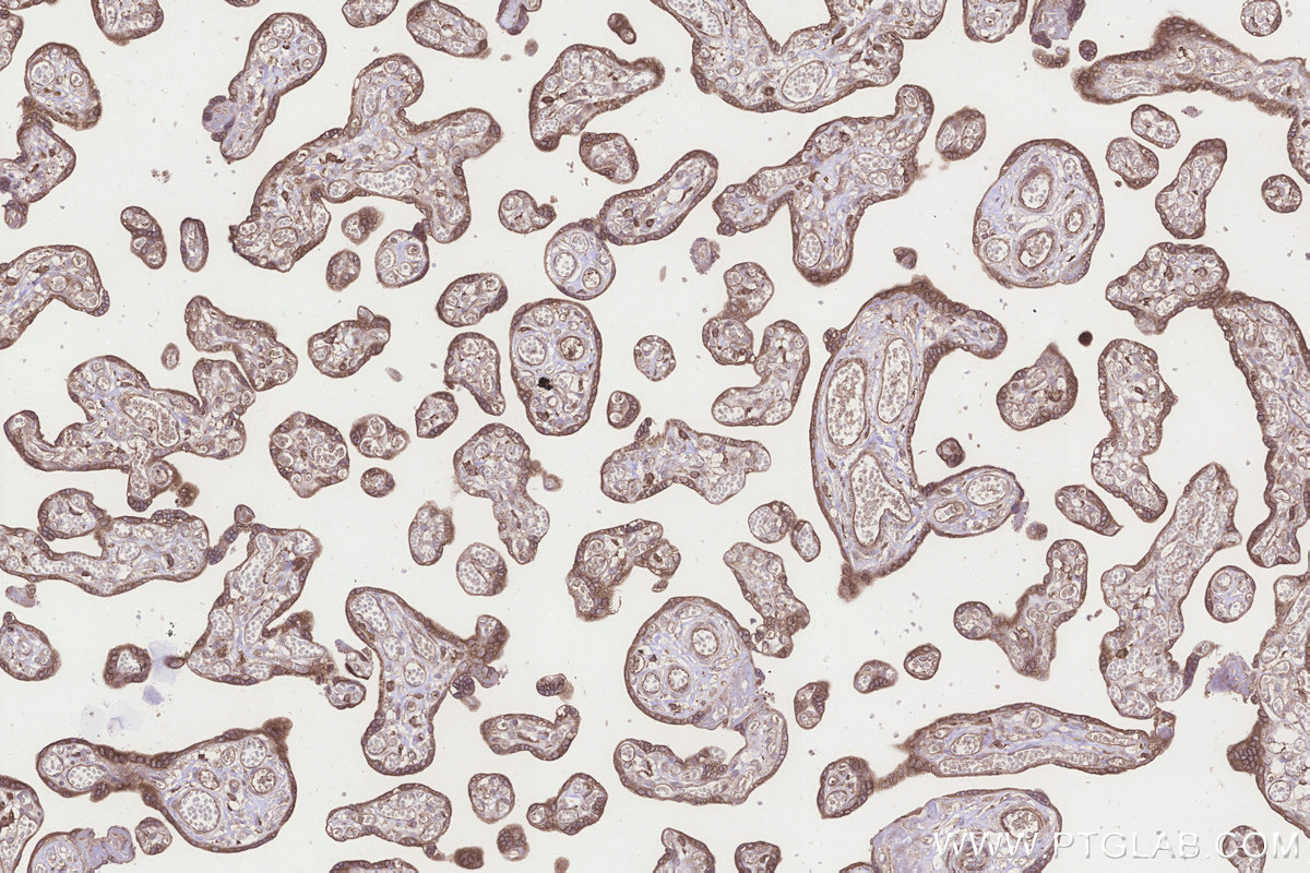
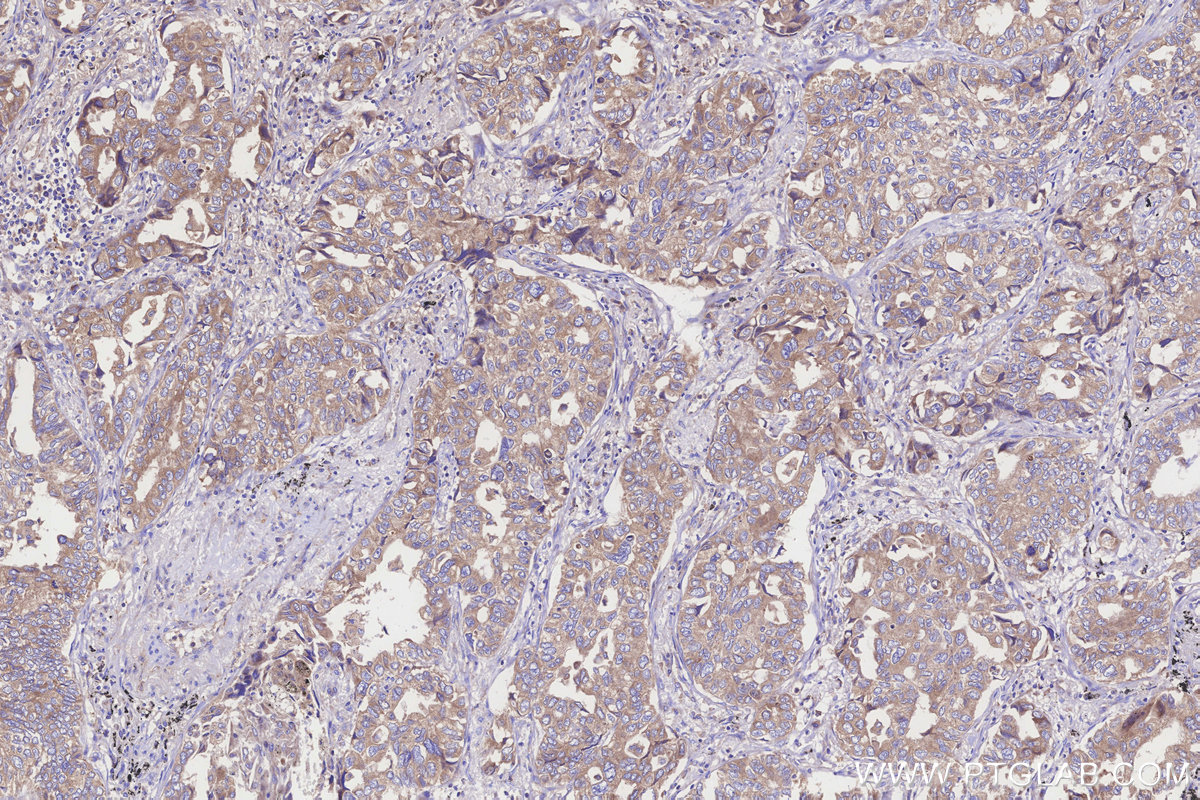
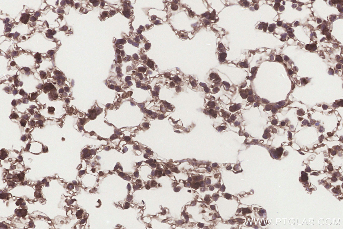
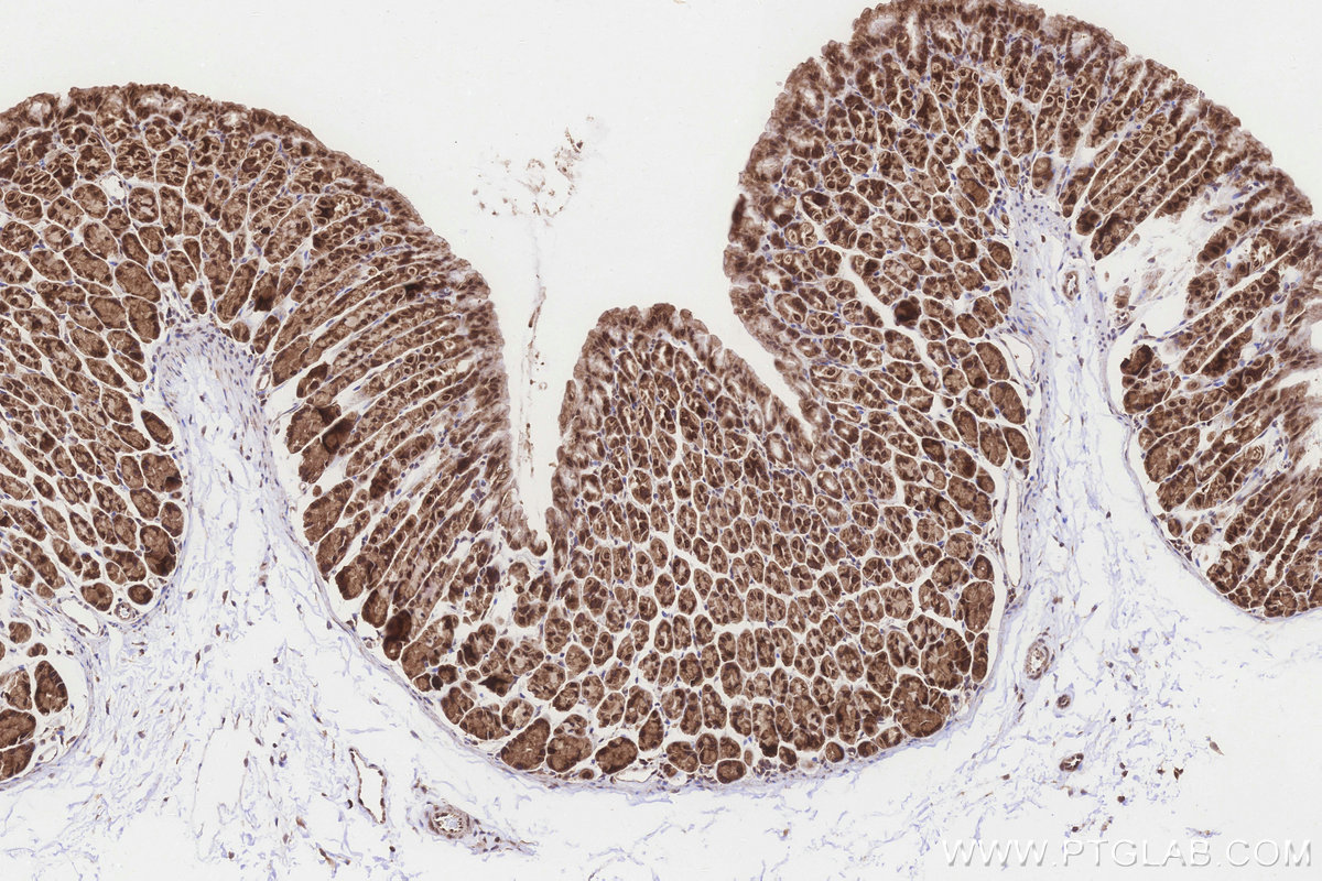
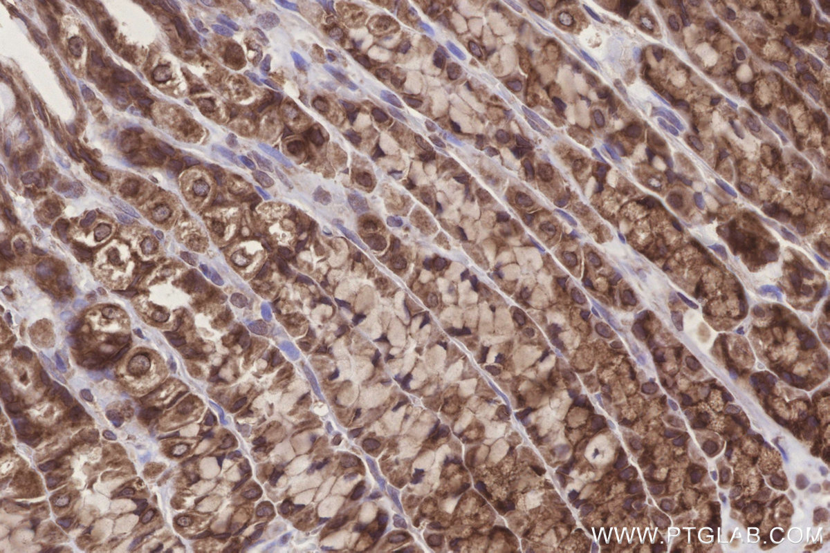
Validation Data Gallery
Product Information
KHC3254 is a ready-to-use IHC kit for staining of EMC2/TTC35. The kit provides all reagents, from antigen retrieval to cover slip mounting, that require little to no diluting or handling prior to use. Simply apply the reagents to your sample slide according to the protocol and you're steps away from obtaining high-quality IHC data.
| Product name | IHCeasy® EMC2/TTC35 Ready-To-Use IHC Kit |
| Sample type | FFPE tissue |
| Assay type | Immunohistochemistry |
| Primary antibody type | Rabbit Polyclonal |
| Secondary antibody type | Polymer-HRP-Goat anti-Rabbit |
| Reactivity | Human, Mouse, Rat |
Kit components
| Component | Size | Concentration |
|---|---|---|
| Antigen Retrieval Buffer | 100 mL | 50× |
| Washing Buffer | 100 mL ×2 | 20× |
| Blocking Buffer | 5 mL | RTU |
| Primary Antibody | 5 mL | RTU |
| Secondary Antibody | 5 mL | RTU |
| Chromogen Component A | 0.2 mL | RTU |
| Chromogen Component B | 4 mL | RTU |
| Signal Enhancer | 5 mL | RTU |
| Counter Staining Reagent | 5 mL | RTU |
| Mounting Media | 5 mL | RTU |
| Datasheet | 1 Copy | |
| Manual | 1 Copy |
Background Information
TPR repeat protein 35 (TTC35), also named as tetratricopeptide repeat domain 35, is a 297 amino acid protein, which contains three TPR repeats and belongs to the EMC2 family. TTC35 localizes in the nucleus and cytoplasm. TTC35 is a component of the ER membrane protein complex and may be a putative O-linked glycosyl transferase.
Properties
| Storage Instructions | All the reagents are stored at 2-8°C. The kit is stable for 6 months from the date of receipt. |
| Synonyms | TTC35, EMC2, ER membrane protein complex subunit 2, KIAA0103, TPR repeat protein 35 |







