IHCeasy® DYNLT3 Ready-To-Use IHC Kit
DYNLT3 Ready-to-use reagent kit for IHC.
Reactivity
Human, Mouse, Rat
Sample Type
FFPE tissue
Cat no : KHC2306
Synonyms
TCTEX1L, TCTE1XL, TCTE1L, T-complex-associated testis-expressed 1-like, RP3
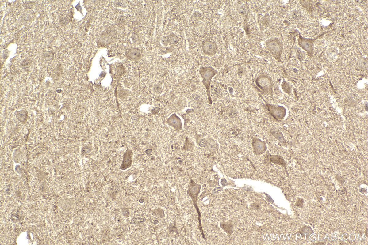
Validation Data Gallery
Product Information
KHC2306 is a ready-to-use IHC kit for staining of DYNLT3. The kit provides all reagents, from antigen retrieval to cover slip mounting, that require little to no diluting or handling prior to use. Simply apply the reagents to your sample slide according to the protocol and you're steps away from obtaining high-quality IHC data.
| Product name | IHCeasy DYNLT3 Ready-To-Use IHC Kit |
| Sample type | FFPE tissue |
| Assay type | Immunohistochemistry |
| Primary antibody type | Rabbit Polyclonal |
| Secondary antibody type | Polymer-HRP-Goat anti-Rabbit |
| Reactivity | Human, Mouse, Rat |
Kit components
| Component | Size | Concentration |
|---|---|---|
| Antigen Retrieval Buffer | 100 mL | 50× |
| Washing Buffer | 100 mL ×2 | 20× |
| Blocking Buffer | 5 mL | RTU |
| Primary Antibody | 5 mL | RTU |
| Secondary Antibody | 5 mL | RTU |
| Chromogen Component A | 0.2 mL | RTU |
| Chromogen Component B | 4 mL | RTU |
| Signal Enhancer | 5 mL | RTU |
| Counter Staining Reagent | 5 mL | RTU |
| Mounting Media | 5 mL | RTU |
| Datasheet | 1 Copy | |
| Manual | 1 Copy |
Background Information
Dynein light chain Tctex-type 3 (DYNLT3) is a member of the cytoplasmic dynamic protein light chain Tctex family. DYNLT3 mainly plays a regulatory role in mitosis and meiosis, as well as chromosome binding. DYNLT3 is expressed in all cells and tissues.
Properties
| Storage Instructions | All the reagents are stored at 2-8°C. The kit is stable for 6 months from the date of receipt. |
| Synonyms | TCTEX1L, TCTE1XL, TCTE1L, T-complex-associated testis-expressed 1-like, RP3 |






