IHCeasy® DYNLT1 Ready-To-Use IHC Kit
DYNLT1 Ready-to-use reagent kit for IHC.
Reactivity
Human, Mouse
Sample Type
FFPE tissue
Cat no : KHC2359
Synonyms
TCTEL1, T-complex testis-specific protein 1 homolog, Protein CW-1, Protein CW 1, Dynein light chain Tctex-type 1
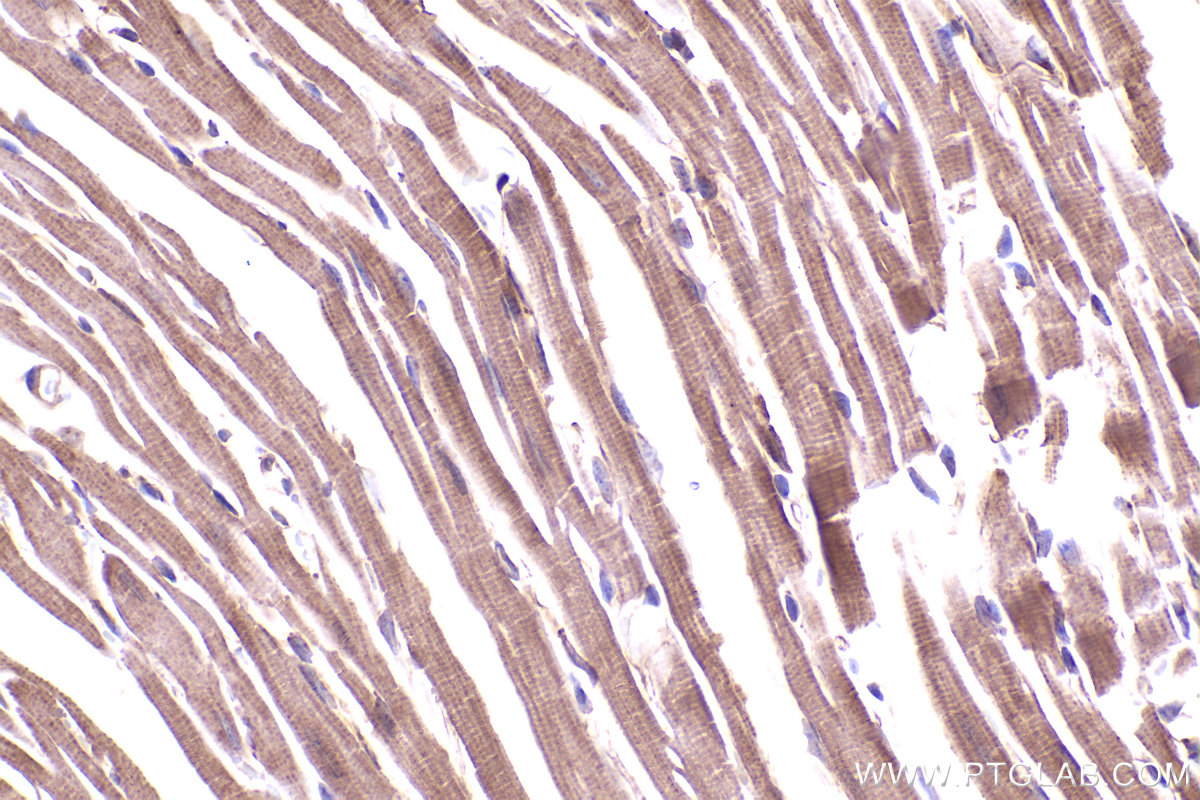
Validation Data Gallery
Product Information
KHC2359 is a ready-to-use IHC kit for staining of DYNLT1. The kit provides all reagents, from antigen retrieval to cover slip mounting, that require little to no diluting or handling prior to use. Simply apply the reagents to your sample slide according to the protocol and you're steps away from obtaining high-quality IHC data.
| Product name | IHCeasy DYNLT1 Ready-To-Use IHC Kit |
| Sample type | FFPE tissue |
| Assay type | Immunohistochemistry |
| Primary antibody type | Rabbit Polyclonal |
| Secondary antibody type | Polymer-HRP-Goat anti-Rabbit |
| Reactivity | Human, Mouse |
Kit components
| Component | Size | Concentration |
|---|---|---|
| Antigen Retrieval Buffer | 100 mL | 50× |
| Washing Buffer | 100 mL ×2 | 20× |
| Blocking Buffer | 5 mL | RTU |
| Primary Antibody | 5 mL | RTU |
| Secondary Antibody | 5 mL | RTU |
| Chromogen Component A | 0.2 mL | RTU |
| Chromogen Component B | 4 mL | RTU |
| Signal Enhancer | 5 mL | RTU |
| Counter Staining Reagent | 5 mL | RTU |
| Mounting Media | 5 mL | RTU |
| Datasheet | 1 Copy | |
| Manual | 1 Copy |
Background Information
DYNLT (or Tctex-1) was originally described as a light chain component of the dynein motor complex. Tctex-1 also has several dynein-independent functions, including roles in G protein signaling activation and neuronal growth. Tctex-1 is selectively enriched in proliferating neural progenitors of both embryonic and adult brains. Genetic knockdown of Tctex-1 in radial precursors promoted neurogenesis, indicating its implication in regulation of cortical neurogenesis.
Properties
| Storage Instructions | All the reagents are stored at 2-8°C. The kit is stable for 6 months from the date of receipt. |
| Synonyms | TCTEL1, T-complex testis-specific protein 1 homolog, Protein CW-1, Protein CW 1, Dynein light chain Tctex-type 1 |




