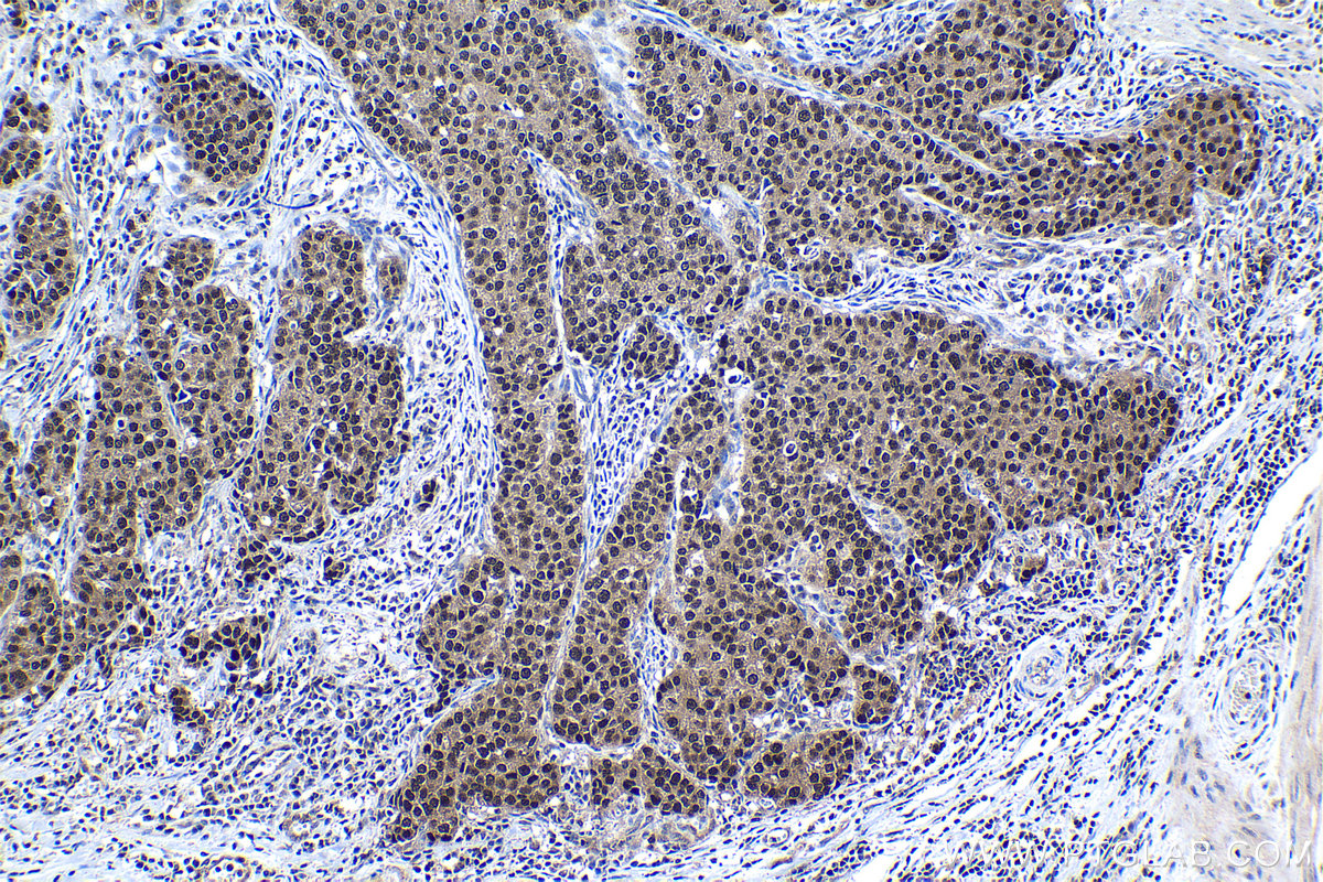
IHCeasy® DNAJB1 Ready-To-Use IHC Kit
DNAJB1 Ready-to-use reagent kit for IHC.
Reactivity
Human, Mouse, Rat
Sample Type
FFPE tissue
Cat no : KHC1128
Synonyms
DnaJ protein homolog 1, DNAJ1, DNAJB1, hDj 1, Hdj1, Heat shock 40 kDa protein 1, Heat shock protein 40, Hsp40, HSPF1, Human DnaJ protein 1, Sis1
Validation Data Gallery
Product Information
KHC1128 is a ready-to-use IHC kit for staining of DNAJB1. The kit provides all reagents, from antigen retrieval to cover slip mounting, that require little to no diluting or handling prior to use. Simply apply the reagents to your sample slide according to the protocol and you're steps away from obtaining high-quality IHC data.
| Product name | IHCeasy DNAJB1 Ready-To-Use IHC Kit | 
| Sample type | FFPE tissue | 
| Assay type | Immunohistochemistry | 
| Primary antibody type | Rabbit Polyclonal | 
| Secondary antibody type | Polymer-HRP-Goat anti-Rabbit | 
| Reactivity | Human, Mouse, Rat | 
Kit components
| Component | Size | Concentration | 
|---|---|---|
| Antigen Retrieval Buffer | 100 mL | 50× | 
| Washing Buffer | 100 mL ×2 | 20× | 
| Blocking Buffer | 5 mL | RTU | 
| Primary Antibody | 5 mL | RTU | 
| Secondary Antibody | 5 mL | RTU | 
| Chromogen Component A | 0.2 mL | RTU | 
| Chromogen Component B | 4 mL | RTU | 
| Signal Enhancer | 5 mL | RTU | 
| Counter Staining Reagent | 5 mL | RTU | 
| Mounting Media | 5 mL | RTU | 
| Datasheet | 1 Copy | |
| Manual | 1 Copy | 
Background Information
DNAJB1 is a member of the heat shock 40 protein family and has been involved in a variety of cellular processes, including the proteasome pathway, endoplasmic reticulum stress and viral infection. DNAJB1-PRKACA gene fusions have been considered diagnostic for fibrolamellar hepatocellular carcinoma.
Properties
| Storage Instructions | All the reagents are stored at 2-8°C. The kit is stable for 6 months from the date of receipt. | 
| Synonyms | DnaJ protein homolog 1, DNAJ1, DNAJB1, hDj 1, Hdj1, Heat shock 40 kDa protein 1, Heat shock protein 40, Hsp40, HSPF1, Human DnaJ protein 1, Sis1 | 









