IHCeasy® DMAP1 Ready-To-Use IHC Kit
DMAP1 Ready-to-use reagent kit for IHC.
Reactivity
Human, Mouse, Rat
Sample Type
FFPE tissue
Cat no : KHC1953
Synonyms
DMAP1, DNMAP1, DNMT1 associated protein 1, DNMTAP1, EAF2, KIAA1425, SWC4
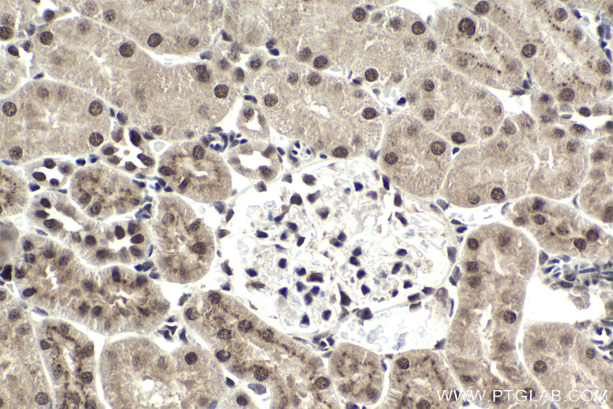
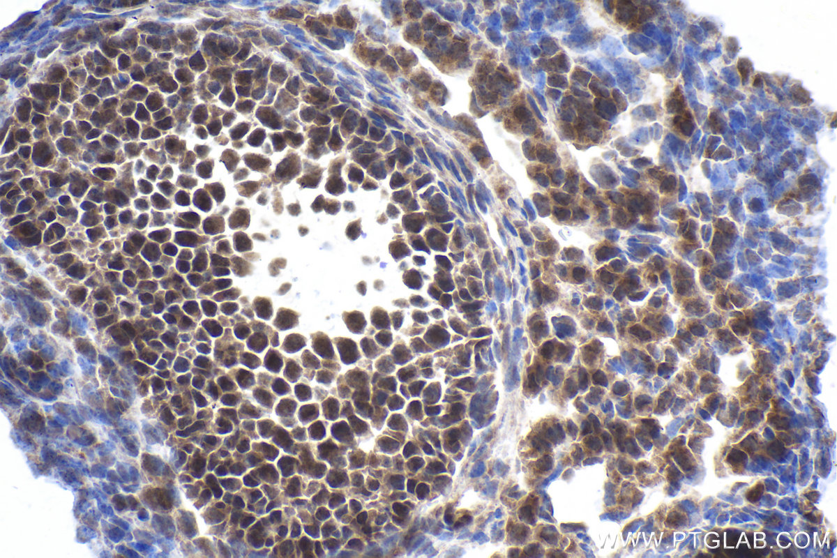
Validation Data Gallery
Product Information
KHC1953 is a ready-to-use IHC kit for staining of DMAP1. The kit provides all reagents, from antigen retrieval to cover slip mounting, that require little to no diluting or handling prior to use. Simply apply the reagents to your sample slide according to the protocol and you're steps away from obtaining high-quality IHC data.
| Product name | IHCeasy DMAP1 Ready-To-Use IHC Kit |
| Sample type | FFPE tissue |
| Assay type | Immunohistochemistry |
| Primary antibody type | Rabbit Polyclonal |
| Secondary antibody type | Polymer-HRP-Goat anti-Rabbit |
| Reactivity | Human, Mouse, Rat |
Kit components
| Component | Size | Concentration |
|---|---|---|
| Antigen Retrieval Buffer | 100 mL | 50× |
| Washing Buffer | 100 mL ×2 | 20× |
| Blocking Buffer | 5 mL | RTU |
| Primary Antibody | 5 mL | RTU |
| Secondary Antibody | 5 mL | RTU |
| Chromogen Component A | 0.2 mL | RTU |
| Chromogen Component B | 4 mL | RTU |
| Signal Enhancer | 5 mL | RTU |
| Counter Staining Reagent | 5 mL | RTU |
| Mounting Media | 5 mL | RTU |
| Datasheet | 1 Copy | |
| Manual | 1 Copy |
Background Information
DMAP1 (DNA methyltransferase 1-associated protein 1) a component of the NuA4 histone acetyltransferase complex, was originally identified as an interacting molecule with DNA methyltransferase 1 (DNMT1) which co-localizes with PCNA at DNA replication foci. DMAP1 is required for DNA repair and acts against genomic instability. DMAP1 is widely implicated in transcription repression and activation via its interaction with multiple targets including histone deacetylase2 (HDAC2).
Properties
| Storage Instructions | All the reagents are stored at 2-8°C. The kit is stable for 6 months from the date of receipt. |
| Synonyms | DMAP1, DNMAP1, DNMT1 associated protein 1, DNMTAP1, EAF2, KIAA1425, SWC4 |








