IHCeasy® DIS3 Ready-To-Use IHC Kit
DIS3 Ready-to-use reagent kit for IHC.
Reactivity
Human, Mouse, Rat
Sample Type
FFPE tissue
Cat no : KHC2015
Synonyms
KIAA1008, EXOSC11, EC:3.1.13.-, dis3p, Dis-3
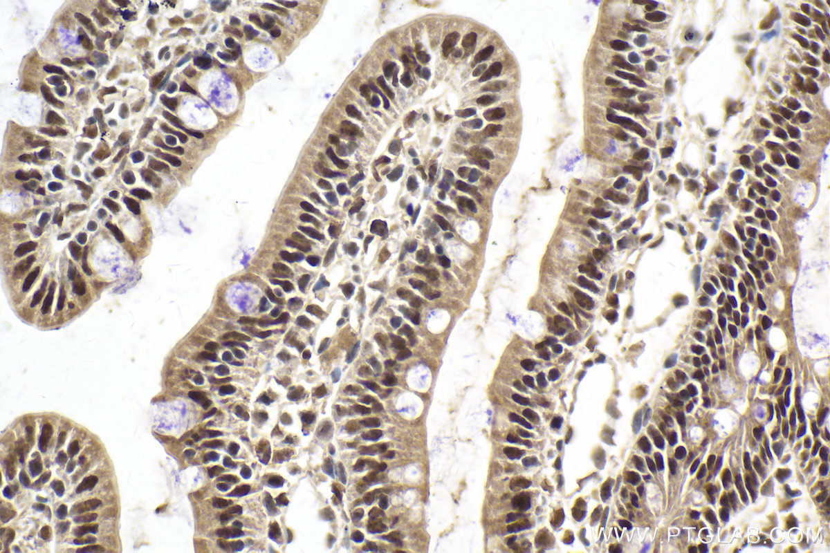
Validation Data Gallery
Product Information
KHC2015 is a ready-to-use IHC kit for staining of DIS3. The kit provides all reagents, from antigen retrieval to cover slip mounting, that require little to no diluting or handling prior to use. Simply apply the reagents to your sample slide according to the protocol and you're steps away from obtaining high-quality IHC data.
| Product name | IHCeasy DIS3 Ready-To-Use IHC Kit |
| Sample type | FFPE tissue |
| Assay type | Immunohistochemistry |
| Primary antibody type | Rabbit Polyclonal |
| Secondary antibody type | Polymer-HRP-Goat anti-Rabbit |
| Reactivity | Human, Mouse, Rat |
Kit components
| Component | Size | Concentration |
|---|---|---|
| Antigen Retrieval Buffer | 100 mL | 50× |
| Washing Buffer | 100 mL ×2 | 20× |
| Blocking Buffer | 5 mL | RTU |
| Primary Antibody | 5 mL | RTU |
| Secondary Antibody | 5 mL | RTU |
| Chromogen Component A | 0.2 mL | RTU |
| Chromogen Component B | 4 mL | RTU |
| Signal Enhancer | 5 mL | RTU |
| Counter Staining Reagent | 5 mL | RTU |
| Mounting Media | 5 mL | RTU |
| Datasheet | 1 Copy | |
| Manual | 1 Copy |
Background Information
DIS3, also named as KIAA1008 and RRP44, belongs to the ribonuclease II (RNB) family. It is a component of the exosome 3'->5' exoribonuclease complex. DIS3 is required for the 3'-processing of the 7S pre-RNA to the mature nuclear complex. It is also associated with the GTPase Ran. DIS3 has a 3'-5' exonuclease activity.
Properties
| Storage Instructions | All the reagents are stored at 2-8°C. The kit is stable for 6 months from the date of receipt. |
| Synonyms | KIAA1008, EXOSC11, EC:3.1.13.-, dis3p, Dis-3 |





