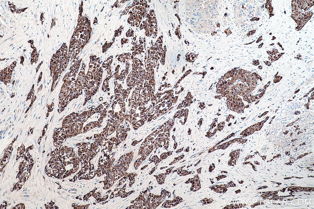
IHCeasy® DHRS2 Ready-To-Use IHC Kit
DHRS2 Ready-to-use reagent kit for IHC.
Reactivity
Human
Sample Type
FFPE tissue
Cat no : KHC0193
Synonyms
DHRS2, Dicarbonyl reductase HEP27, HEP27, Protein D, SDR25C1
Validation Data Gallery
Product Information
KHC0193 is a ready-to-use IHC kit for staining of DHRS2. The kit provides all reagents, from antigen retrieval to cover slip mounting, that require little to no diluting or handling prior to use. Simply apply the reagents to your sample slide according to the protocol and you're steps away from obtaining high-quality IHC data.
| Product name | IHCeasy DHRS2 Ready-To-Use IHC Kit |
| Sample type | FFPE tissue |
| Assay type | Immunohistochemistry |
| Primary antibody type | Rabbit Polyclonal |
| Secondary antibody type | Polymer-HRP-Goat anti-Rabbit |
| Reactivity | Human |
Kit components
| Component | Size | Concentration |
|---|---|---|
| Antigen Retrieval Buffer | 100 mL | 50× |
| Washing Buffer | 100 mL ×2 | 20× |
| Blocking Buffer | 5 mL | RTU |
| Primary Antibody | 5 mL | RTU |
| Secondary Antibody | 5 mL | RTU |
| Chromogen Component A | 0.2 mL | RTU |
| Chromogen Component B | 4 mL | RTU |
| Signal Enhancer | 5 mL | RTU |
| Counter Staining Reagent | 5 mL | RTU |
| Mounting Media | 5 mL | RTU |
| Datasheet | 1 Copy | |
| Manual | 1 Copy |
Background Information
DHRS2 (Dehydrogenase/reductase SDR family member 2) is also named as dicarbonyl reductase HEP27, Protein D and belongs to the short-chain dehydrogenases/reductases (SDR) family. It displays NADPH-dependent dicarbonyl reductase activity in vitro with 3,4-Hexanedione, 2,3-Heptanedione and 1-Phenyl-1,2-propanedione as substrates and there is no reductase activity displayed in vitro with steroids, retinoids and sugars as substrates.
Properties
| Storage Instructions | All the reagents are stored at 2-8°C. The kit is stable for 6 months from the date of receipt. |
| Synonyms | DHRS2, Dicarbonyl reductase HEP27, HEP27, Protein D, SDR25C1 |


