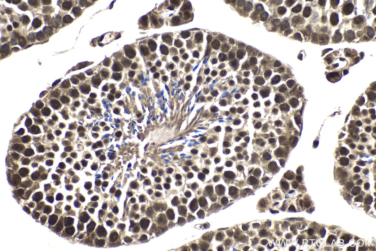
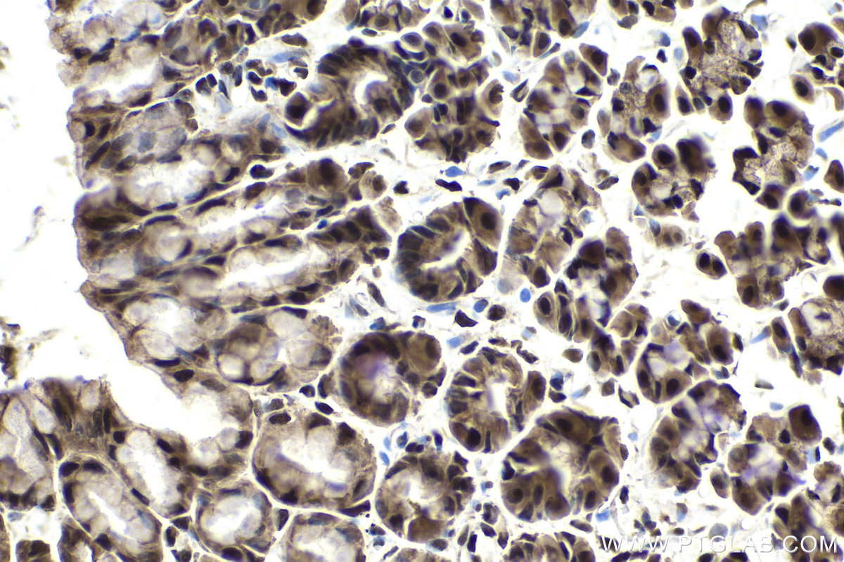
IHCeasy® DDX17 Ready-To-Use IHC Kit
DDX17 Ready-to-use reagent kit for IHC.
Reactivity
Human, Mouse, Rat
Sample Type
FFPE tissue
Cat no : KHC1859
Synonyms
DDX17, DEAD box protein 17, DEAD box protein p72, P72, RH70, RNA dependent helicase p72
Validation Data Gallery
Product Information
KHC1859 is a ready-to-use IHC kit for staining of DDX17. The kit provides all reagents, from antigen retrieval to cover slip mounting, that require little to no diluting or handling prior to use. Simply apply the reagents to your sample slide according to the protocol and you're steps away from obtaining high-quality IHC data.
| Product name | IHCeasy DDX17 Ready-To-Use IHC Kit |
| Sample type | FFPE tissue |
| Assay type | Immunohistochemistry |
| Primary antibody type | Rabbit Polyclonal |
| Secondary antibody type | Polymer-HRP-Goat anti-Rabbit |
| Reactivity | Human, Mouse, Rat |
Kit components
| Component | Size | Concentration |
|---|---|---|
| Antigen Retrieval Buffer | 100 mL | 50× |
| Washing Buffer | 100 mL ×2 | 20× |
| Blocking Buffer | 5 mL | RTU |
| Primary Antibody | 5 mL | RTU |
| Secondary Antibody | 5 mL | RTU |
| Chromogen Component A | 0.2 mL | RTU |
| Chromogen Component B | 4 mL | RTU |
| Signal Enhancer | 5 mL | RTU |
| Counter Staining Reagent | 5 mL | RTU |
| Mounting Media | 5 mL | RTU |
| Datasheet | 1 Copy | |
| Manual | 1 Copy |
Background Information
DDX17, also named as DEAD box protein p72 and DEAD box protein p82, is a 729 amino acid protein, which belongs to the DEAD box helicase family. DDX5/DBP2 subfamily. DDX17 is widely expressed. Levels tend to increase during colon cancer progression, from very low in benign hyperplastic polyps to very high in tubular and villous adenomas. DDX17 as an RNA helicase unwinds RNA and alters RNA structures through ATP binding and hydrolysis. DDX17 is involved in multiple cellular processes, including pre-mRNA splicing, alternative splicing, ribosomal RNA processing and miRNA processing, as well as transcription regulation. It Regulates the alternative splicing of exons exhibiting specific features. identification and characterisation of p72, a novel human nuclear DEAD box protein, which shows a striking homology to p68.
Properties
| Storage Instructions | All the reagents are stored at 2-8°C. The kit is stable for 6 months from the date of receipt. |
| Synonyms | DDX17, DEAD box protein 17, DEAD box protein p72, P72, RH70, RNA dependent helicase p72 |






