IHCeasy® DDR2 Ready-To-Use IHC Kit
DDR2 Ready-to-use reagent kit for IHC.
Reactivity
Human, Mouse, Rat
Sample Type
FFPE tissue
Cat no : KHC2523
Synonyms
DDR2,Discoidin domain receptor 2,MIG20a,NTRKR3,TKT
Validation Data Gallery
Product Information
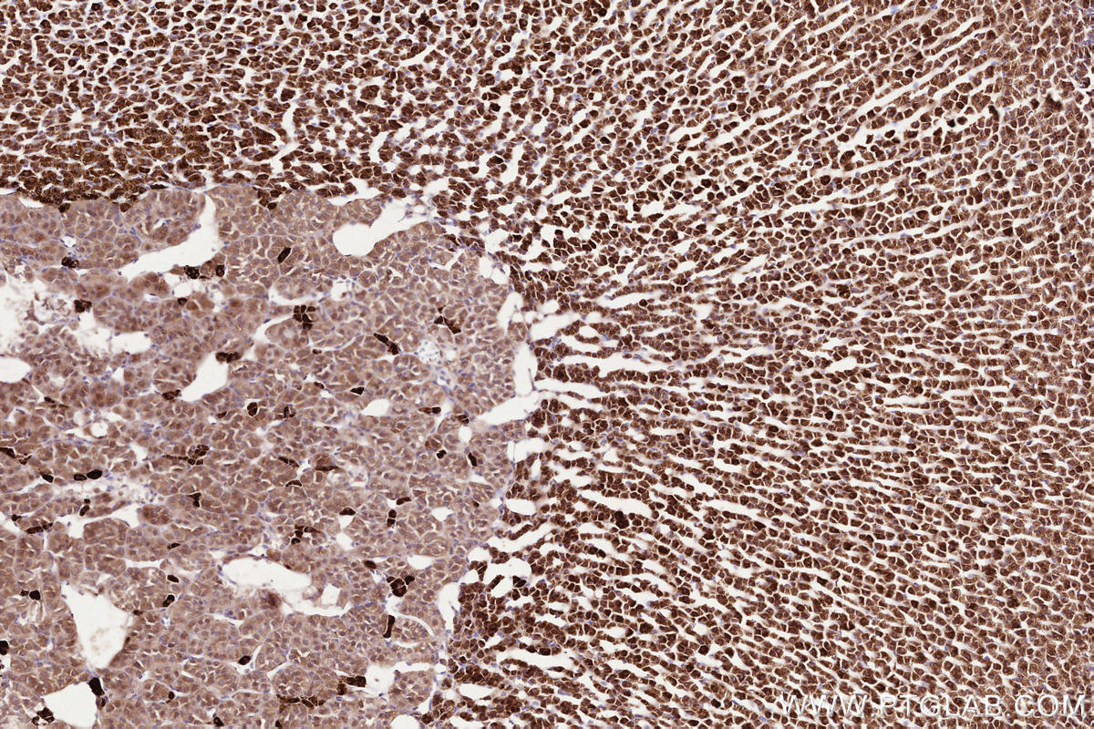
KHC2523 is a ready-to-use IHC kit for staining of DDR2. The kit provides all reagents, from antigen retrieval to cover slip mounting, that require little to no diluting or handling prior to use. Simply apply the reagents to your sample slide according to the protocol and you're steps away from obtaining high-quality IHC data.
| Product name | IHCeasy DDR2 Ready-To-Use IHC Kit |
| Sample type | FFPE tissue |
| Assay type | Immunohistochemistry |
| Primary antibody type | Mouse Monoclonal |
| Secondary antibody type | Polymer-HRP-Goat anti-Mouse |
| Reactivity | Human, Mouse, Rat |
Kit components
| Component | Size | Concentration |
|---|---|---|
| Antigen Retrieval Buffer | 100 mL | 50× |
| Washing Buffer | 100 mL ×2 | 20× |
| Blocking Buffer | 5 mL | RTU |
| Primary Antibody | 5 mL | RTU |
| Secondary Antibody | 5 mL | RTU |
| Chromogen Component A | 0.2 mL | RTU |
| Chromogen Component B | 4 mL | RTU |
| Signal Enhancer | 5 mL | RTU |
| Counter Staining Reagent | 5 mL | RTU |
| Mounting Media | 5 mL | RTU |
| Datasheet | 1 Copy | |
| Manual | 1 Copy |
Background Information
DDR2 (Discoidin domain receptor 2) belongs to the receptor tyrosine kinase (RTK) family and is activated by collagen-binding.DDR2 is implicated in several physiological and pathological processes, including wound healing, angiogenesis, ovulation, spermatogenesis, extracellular matrix (ECM) remodeling and fibrosis, and tumor progression. Moreover, DDR2 is prominently present in the fibroblasts, smooth muscle cells, myofibroblasts, and chondrocytes.
Properties
| Storage Instructions | All the reagents are stored at 2-8°C. The kit is stable for 6 months from the date of receipt. |
| Synonyms | DDR2,Discoidin domain receptor 2,MIG20a,NTRKR3,TKT |





