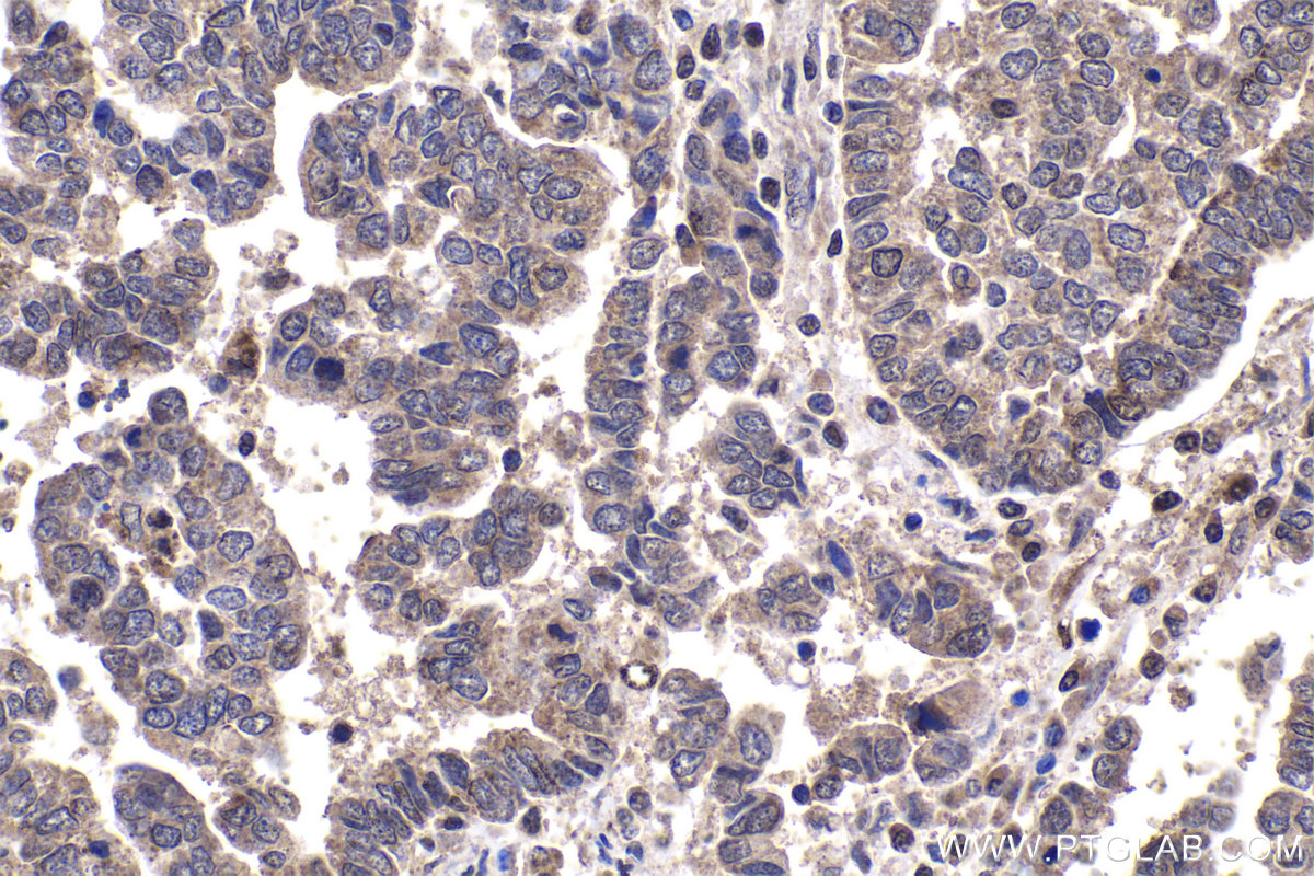
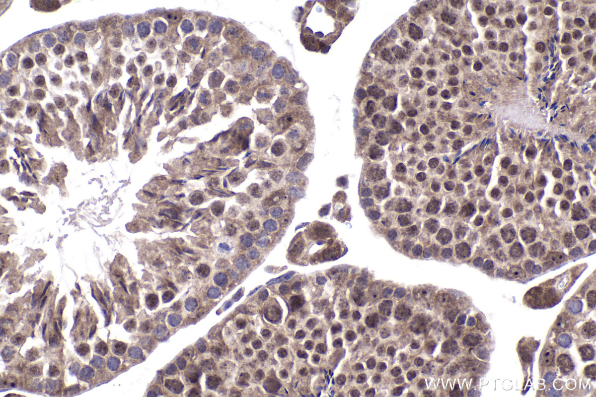
IHCeasy® DAXX Ready-To-Use IHC Kit
DAXX Ready-to-use reagent kit for IHC.
Reactivity
Human, Mouse, Rat
Sample Type
FFPE tissue
Cat no : KHC1977
Synonyms
BING2, DAP6, DAXX, EAP1, ETS1 associated protein 1, hDaxx
Validation Data Gallery
Product Information
KHC1977 is a ready-to-use IHC kit for staining of DAXX. The kit provides all reagents, from antigen retrieval to cover slip mounting, that require little to no diluting or handling prior to use. Simply apply the reagents to your sample slide according to the protocol and you're steps away from obtaining high-quality IHC data.
| Product name | IHCeasy DAXX Ready-To-Use IHC Kit |
| Sample type | FFPE tissue |
| Assay type | Immunohistochemistry |
| Primary antibody type | Rabbit Polyclonal |
| Secondary antibody type | Polymer-HRP-Goat anti-Rabbit |
| Reactivity | Human, Mouse, Rat |
Kit components
| Component | Size | Concentration |
|---|---|---|
| Antigen Retrieval Buffer | 100 mL | 50× |
| Washing Buffer | 100 mL ×2 | 20× |
| Blocking Buffer | 5 mL | RTU |
| Primary Antibody | 5 mL | RTU |
| Secondary Antibody | 5 mL | RTU |
| Chromogen Component A | 0.2 mL | RTU |
| Chromogen Component B | 4 mL | RTU |
| Signal Enhancer | 5 mL | RTU |
| Counter Staining Reagent | 5 mL | RTU |
| Mounting Media | 5 mL | RTU |
| Datasheet | 1 Copy | |
| Manual | 1 Copy |
Background Information
Death associated protein 6 (DAXX) is a ubiquitous protein implicated in various cellular processes such as apoptosis, tumorigenesis, development and transcription. It has been shown to translocate from the nucleus to the cytoplasm under conditions of stress and to activate the Jun N-terminal kinase (JNK) pathway. Somatic mutations of death associated protein (DAXX) have been found in ALT cancers, including pancreatic neuroendocrine (panNET) cancers and glioblastoma multiforme (GBM) cancers.
Properties
| Storage Instructions | All the reagents are stored at 2-8°C. The kit is stable for 6 months from the date of receipt. |
| Synonyms | BING2, DAP6, DAXX, EAP1, ETS1 associated protein 1, hDaxx |







