IHCeasy® DAG1 Ready-To-Use IHC Kit
DAG1 Ready-to-use reagent kit for IHC.
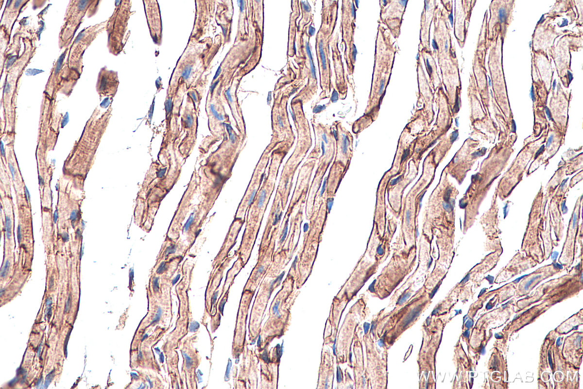
Reactivity
Human, Mouse, Rat
Sample Type
FFPE tissue
Cat no : KHC0285
Synonyms
156DAG, A3a, AGRNR, Alpha DG Beta dystroglycan, Beta DG, DAG, DAG1, Dystroglycan
Validation Data Gallery
Product Information
KHC0285 is a ready-to-use IHC kit for staining of DAG1. The kit provides all reagents, from antigen retrieval to cover slip mounting, that require little to no diluting or handling prior to use. Simply apply the reagents to your sample slide according to the protocol and you're steps away from obtaining high-quality IHC data.
| Product name | IHCeasy DAG1 Ready-To-Use IHC Kit |
| Sample type | FFPE tissue |
| Assay type | Immunohistochemistry |
| Primary antibody type | Mouse Monoclonal |
| Secondary antibody type | Polymer-HRP-Goat anti-Mouse |
| Reactivity | Human, Mouse, Rat |
Kit components
| Component | Size | Concentration |
|---|---|---|
| Antigen Retrieval Buffer | 100 mL | 50× |
| Washing Buffer | 100 mL ×2 | 20× |
| Blocking Buffer | 5 mL | RTU |
| Primary Antibody | 5 mL | RTU |
| Secondary Antibody | 5 mL | RTU |
| Chromogen Component A | 0.2 mL | RTU |
| Chromogen Component B | 4 mL | RTU |
| Signal Enhancer | 5 mL | RTU |
| Counter Staining Reagent | 5 mL | RTU |
| Mounting Media | 5 mL | RTU |
| Datasheet | 1 Copy | |
| Manual | 1 Copy |
Background Information
Dystroglycan, also known as DAG1 or DG, was originally isolated from skeletal muscle as an integral membrane component of the dystrophin-glycoprotein complex (DGC). In addition to skeletal muscle, dystroglycan is strongly expressed in heart and smooth muscle, as well as many non-muscle tissues including brain and peripheral nerve. The dystroglycan is involved in a number of processes including laminin and basement membrane assembly, sarcolemmal stability, cell survival, peripheral nerve myelination, nodal structure, cell migration, and epithelial polarization.
Properties
| Storage Instructions | All the reagents are stored at 2-8°C. The kit is stable for 6 months from the date of receipt. |
| Synonyms | 156DAG, A3a, AGRNR, Alpha DG Beta dystroglycan, Beta DG, DAG, DAG1, Dystroglycan |








