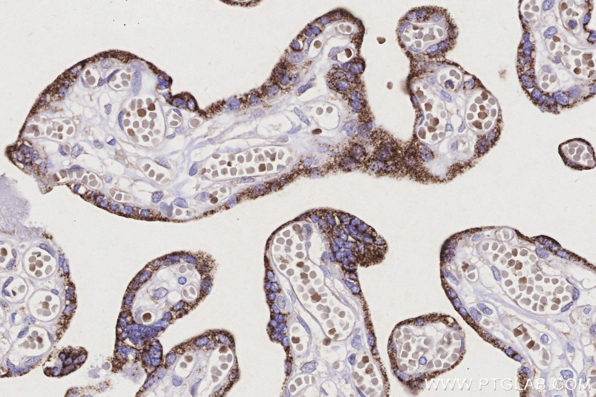
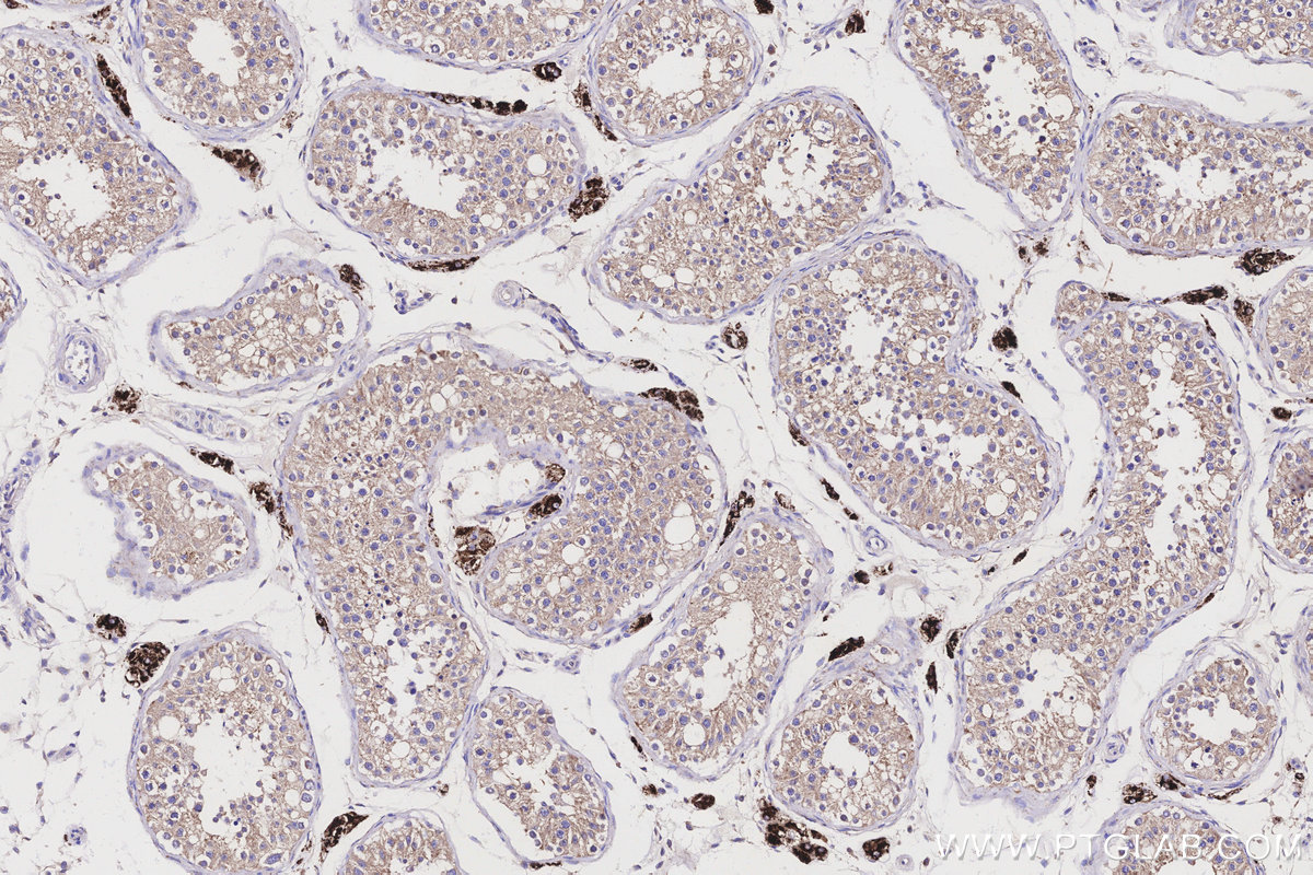
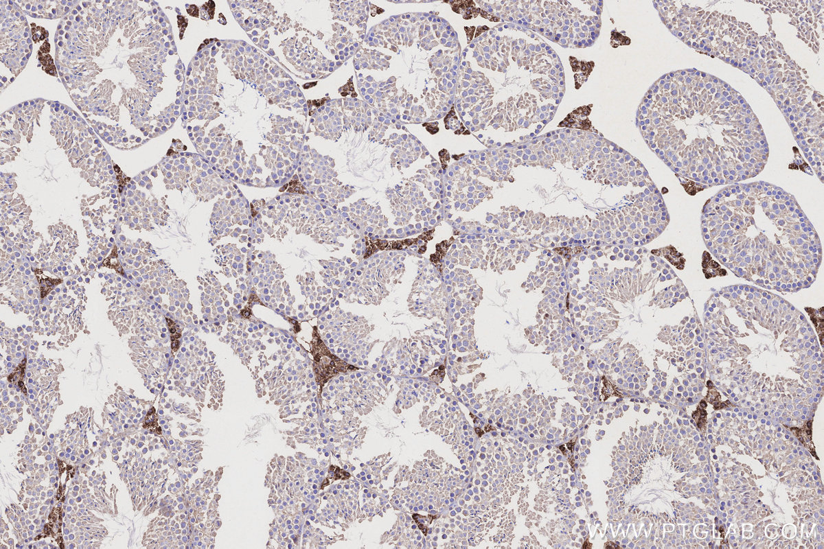
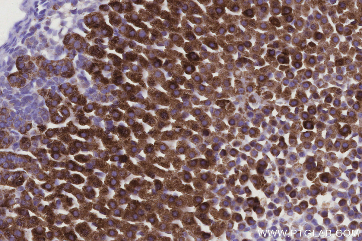
IHCeasy® CYP11A1 Ready-To-Use IHC Kit
CYP11A1 Ready-to-use reagent kit for IHC.
Reactivity
Human, Mouse, Rat
Sample Type
FFPE tissue
Cat no : KHC3170
Synonyms
Cholesterol desmolase, Cholesterol side-chain cleavage enzyme, mitochondrial, CYP11A, CYPXIA1, Cytochrome P450 11A1
Validation Data Gallery
Product Information
KHC3170 is a ready-to-use IHC kit for staining of CYP11A1. The kit provides all reagents, from antigen retrieval to cover slip mounting, that require little to no diluting or handling prior to use. Simply apply the reagents to your sample slide according to the protocol and you're steps away from obtaining high-quality IHC data.
| Product name | IHCeasy® CYP11A1 Ready-To-Use IHC Kit |
| Sample type | FFPE tissue |
| Assay type | Immunohistochemistry |
| Primary antibody type | Mouse Monoclonal |
| Secondary antibody type | Polymer-HRP-Goat anti-Mouse |
| Reactivity | Human, Mouse, Rat |
Kit components
| Component | Size | Concentration |
|---|---|---|
| Antigen Retrieval Buffer | 100 mL | 50× |
| Washing Buffer | 100 mL ×2 | 20× |
| Blocking Buffer | 5 mL | RTU |
| Primary Antibody | 5 mL | RTU |
| Secondary Antibody | 5 mL | RTU |
| Chromogen Component A | 0.2 mL | RTU |
| Chromogen Component B | 4 mL | RTU |
| Signal Enhancer | 5 mL | RTU |
| Counter Staining Reagent | 5 mL | RTU |
| Mounting Media | 5 mL | RTU |
| Datasheet | 1 Copy | |
| Manual | 1 Copy |
Background Information
CYP11A1 is also known as cytochrome P450C11A1, cytochrome P450scc and cytochrome P450, subfamily XIA. It is the first enzyme of all steroidogenic pathways, its elimination results in syndromes of steroid deficiency, including electrolyte imbalance, aberrant gene regulation, and suppression of male sex organ development. Expression of CYP11A1 has been a useful tool for monitoring the differentiation state of cells from varius endocrine tissues.
Properties
| Storage Instructions | All the reagents are stored at 2-8°C. The kit is stable for 6 months from the date of receipt. |
| Synonyms | Cholesterol desmolase, Cholesterol side-chain cleavage enzyme, mitochondrial, CYP11A, CYPXIA1, Cytochrome P450 11A1 |





