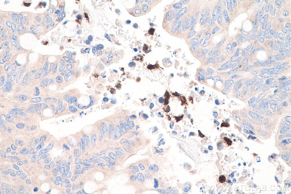
IHCeasy® CXCL8/IL-8 Ready-To-Use IHC Kit
CXCL8/IL-8 Ready-to-use reagent kit for IHC.
Reactivity
Human
Sample Type
FFPE tissue
Cat no : KHC0801
Synonyms
C X C motif chemokine 8, CXCL8, CXCL8/IL-8, Emoctakin, GCP 1, GCP1, IL 8, IL8, IL-8, interleukin 8, LECT, LUCT, LYNAP, MDNCF, MDNCF c, MONAP, NAF, NAP 1, NAP1, Neutrophil activating factor, T cell chemotactic factor
Validation Data Gallery
Product Information
KHC0801 is a ready-to-use IHC kit for staining of CXCL8/IL-8. The kit provides all reagents, from antigen retrieval to cover slip mounting, that require little to no diluting or handling prior to use. Simply apply the reagents to your sample slide according to the protocol and you're steps away from obtaining high-quality IHC data.
| Product name | IHCeasy CXCL8/IL-8 Ready-To-Use IHC Kit |
| Sample type | FFPE tissue |
| Assay type | Immunohistochemistry |
| Primary antibody type | Rabbit Polyclonal |
| Secondary antibody type | Polymer-HRP-Goat anti-Rabbit |
| Reactivity | Human |
Kit components
| Component | Size | Concentration |
|---|---|---|
| Antigen Retrieval Buffer | 100 mL | 50× |
| Washing Buffer | 100 mL ×2 | 20× |
| Blocking Buffer | 5 mL | RTU |
| Primary Antibody | 5 mL | RTU |
| Secondary Antibody | 5 mL | RTU |
| Chromogen Component A | 0.2 mL | RTU |
| Chromogen Component B | 4 mL | RTU |
| Signal Enhancer | 5 mL | RTU |
| Counter Staining Reagent | 5 mL | RTU |
| Mounting Media | 5 mL | RTU |
| Datasheet | 1 Copy | |
| Manual | 1 Copy |
Background Information
Interleukin 8 (IL-8), also known as CXCL8, which is a member of the CXC chemokine family. This chemokine is secreted by a variety of cell types including monocyte/macrophages, T cells, neutrophils, fibroblasts, endothelial cells, and various tumor cell lines in response to inflammatory stimuli. IL-8 has two primary functions. It induces chemotaxis in target cells, primarily neutrophils but also other granulocytes, causing them to migrate toward the site of infection. IL-8 also induces phagocytosis once they have arrived. This gene is believed to play a role in the pathogenesis of bronchiolitis, a common respiratory tract disease caused by viral infection. IL-8 is also known to be a potent promoter of angiogenesis. IL-8 has been associated with tumor angiogenesis, metastasis, and poor prognosis in breast cancer. IL-8 may present a novel therapeutic target for estrogen driven breast carcinogenesis and tumor progression.
Properties
| Storage Instructions | All the reagents are stored at 2-8°C. The kit is stable for 6 months from the date of receipt. |
| Synonyms | C X C motif chemokine 8, CXCL8, CXCL8/IL-8, Emoctakin, GCP 1, GCP1, IL 8, IL8, IL-8, interleukin 8, LECT, LUCT, LYNAP, MDNCF, MDNCF c, MONAP, NAF, NAP 1, NAP1, Neutrophil activating factor, T cell chemotactic factor |



