IHCeasy® CTDSPL2 Ready-To-Use IHC Kit
CTDSPL2 Ready-to-use reagent kit for IHC.
Reactivity
Human, Mouse, Rat
Sample Type
FFPE tissue
Cat no : KHC3100
Synonyms
CTD small phosphatase-like protein 2, CTDSP like 2, CTDSP-like 2, EC:3.1.3.-, HSPC058
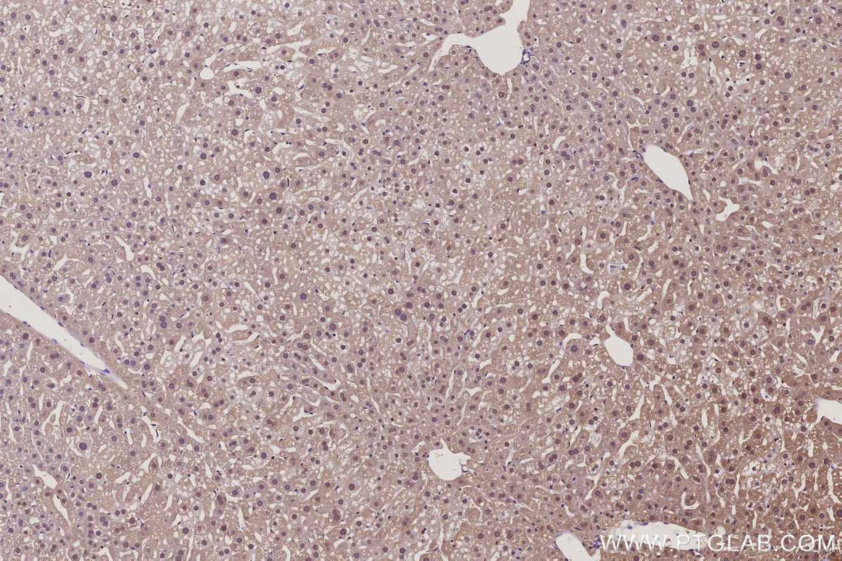
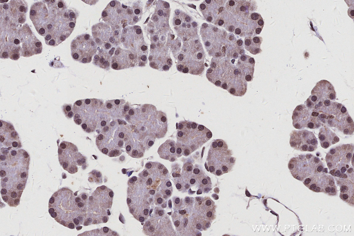
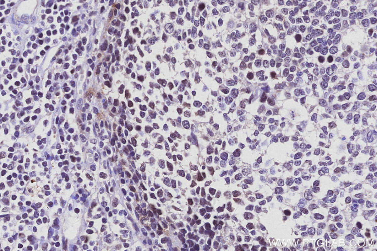
Validation Data Gallery
Product Information
KHC3100 is a ready-to-use IHC kit for staining of CTDSPL2. The kit provides all reagents, from antigen retrieval to cover slip mounting, that require little to no diluting or handling prior to use. Simply apply the reagents to your sample slide according to the protocol and you're steps away from obtaining high-quality IHC data.
| Product name | IHCeasy® CTDSPL2 Ready-To-Use IHC Kit |
| Sample type | FFPE tissue |
| Assay type | Immunohistochemistry |
| Primary antibody type | Rabbit Polyclonal |
| Secondary antibody type | Polymer-HRP-Goat anti-Rabbit |
| Reactivity | Human, Mouse, Rat |
Kit components
| Component | Size | Concentration |
|---|---|---|
| Antigen Retrieval Buffer | 100 mL | 50× |
| Washing Buffer | 100 mL ×2 | 20× |
| Blocking Buffer | 5 mL | RTU |
| Primary Antibody | 5 mL | RTU |
| Secondary Antibody | 5 mL | RTU |
| Chromogen Component A | 0.2 mL | RTU |
| Chromogen Component B | 4 mL | RTU |
| Signal Enhancer | 5 mL | RTU |
| Counter Staining Reagent | 5 mL | RTU |
| Mounting Media | 5 mL | RTU |
| Datasheet | 1 Copy | |
| Manual | 1 Copy |
Background Information
CTD small phosphatase-like protein 2 (CTDSPL2) is also named as HSPC058 and HSPC129, belongs to the CTDSPL2 family. It is a putative RNA-polymerase II carboxy-terminal domain (CTD) phosphatase, whose specific CTD phosphatase activity was verified in vitro, and may regulate the dynamic phosphorylation of RNAP II CTD. It can obviously improve the expression of ε- and γ-globin genes in K562 cells and CD34+ cells derived from UCB.
Properties
| Storage Instructions | All the reagents are stored at 2-8°C. The kit is stable for 6 months from the date of receipt. |
| Synonyms | CTD small phosphatase-like protein 2, CTDSP like 2, CTDSP-like 2, EC:3.1.3.-, HSPC058 |



