IHCeasy® CTBP1 Ready-To-Use IHC Kit
CTBP1 Ready-to-use reagent kit for IHC.
Reactivity
Human, Mouse, Rat
Sample Type
FFPE tissue
Cat no : KHC0945
Synonyms
BARS, C terminal binding protein 1, CTBP, CTBP1
Validation Data Gallery
Product Information
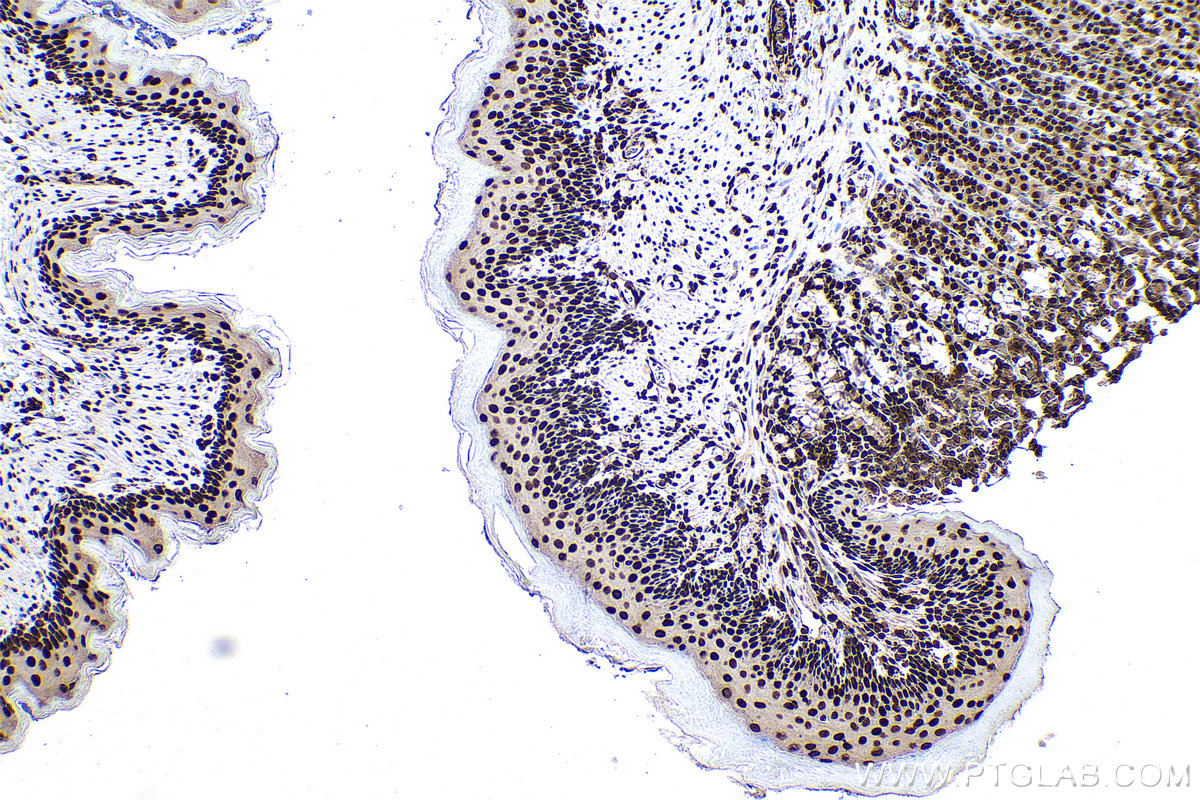
KHC0945 is a ready-to-use IHC kit for staining of CTBP1. The kit provides all reagents, from antigen retrieval to cover slip mounting, that require little to no diluting or handling prior to use. Simply apply the reagents to your sample slide according to the protocol and you're steps away from obtaining high-quality IHC data.
| Product name | IHCeasy CTBP1 Ready-To-Use IHC Kit |
| Sample type | FFPE tissue |
| Assay type | Immunohistochemistry |
| Primary antibody type | Mouse Monoclonal |
| Secondary antibody type | Polymer-HRP-Goat anti-Mouse |
| Reactivity | Human, Mouse, Rat |
Kit components
| Component | Size | Concentration |
|---|---|---|
| Antigen Retrieval Buffer | 100 mL | 50× |
| Washing Buffer | 100 mL ×2 | 20× |
| Blocking Buffer | 5 mL | RTU |
| Primary Antibody | 5 mL | RTU |
| Secondary Antibody | 5 mL | RTU |
| Chromogen Component A | 0.2 mL | RTU |
| Chromogen Component B | 4 mL | RTU |
| Signal Enhancer | 5 mL | RTU |
| Counter Staining Reagent | 5 mL | RTU |
| Mounting Media | 5 mL | RTU |
| Datasheet | 1 Copy | |
| Manual | 1 Copy |
Background Information
CTBP1, also named as C-terminal-binding protein 1, is a 440 amino acid protein, which belongs to the D-isomer specific 2-hydroxyacid dehydrogenase family. CTBP1 is a cellular phosphoprotein that associates with various proteins and functions as a corepressor of transcription. CTBP1 and the related protein CTBP2 are characterized as C-terminal binding protein of adenovirus E1A, and they preferentially associate with the E1A via a 5-amino acid motif, PLDLS, to repress E1A induced oncogenesis and cellular transformation. CTBP1 is expressed from embryo to adult, but CTBP2 is mainly expressed during embryogenesis.
Properties
| Storage Instructions | All the reagents are stored at 2-8°C. The kit is stable for 6 months from the date of receipt. |
| Synonyms | BARS, C terminal binding protein 1, CTBP, CTBP1 |








