IHCeasy® CSNK1E Ready-To-Use IHC Kit
CSNK1E Ready-to-use reagent kit for IHC.
Reactivity
Human, Mouse, Rat
Sample Type
FFPE tissue
Cat no : KHC2289
Synonyms
EC:2.7.11.1, CKI-epsilon, CKIe, CKI epsilon
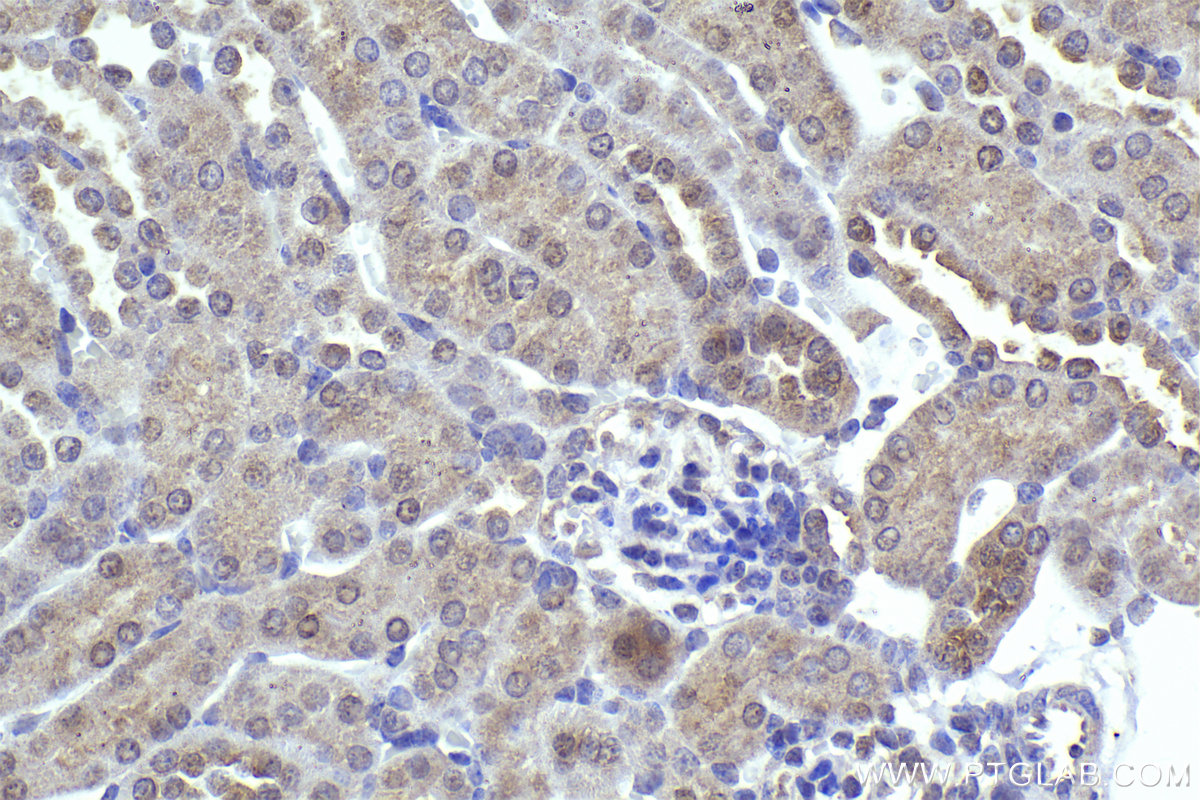
Validation Data Gallery
Product Information
KHC2289 is a ready-to-use IHC kit for staining of CSNK1E. The kit provides all reagents, from antigen retrieval to cover slip mounting, that require little to no diluting or handling prior to use. Simply apply the reagents to your sample slide according to the protocol and you're steps away from obtaining high-quality IHC data.
| Product name | IHCeasy CSNK1E Ready-To-Use IHC Kit |
| Sample type | FFPE tissue |
| Assay type | Immunohistochemistry |
| Primary antibody type | Rabbit Polyclonal |
| Secondary antibody type | Polymer-HRP-Goat anti-Rabbit |
| Reactivity | Human, Mouse, Rat |
Kit components
| Component | Size | Concentration |
|---|---|---|
| Antigen Retrieval Buffer | 100 mL | 50× |
| Washing Buffer | 100 mL ×2 | 20× |
| Blocking Buffer | 5 mL | RTU |
| Primary Antibody | 5 mL | RTU |
| Secondary Antibody | 5 mL | RTU |
| Chromogen Component A | 0.2 mL | RTU |
| Chromogen Component B | 4 mL | RTU |
| Signal Enhancer | 5 mL | RTU |
| Counter Staining Reagent | 5 mL | RTU |
| Mounting Media | 5 mL | RTU |
| Datasheet | 1 Copy | |
| Manual | 1 Copy |
Background Information
CSNK1E(Casein kinase I isoform epsilon) is also named as CKIe, CKI-epsilon and belongs to the casein kinase I subfamily. It plays a significant role in delaying the negative feedback signal within the transcription-translation-based autoregulatory loop that composes the core of the circadian mechanism and makes an ideal target for pharmaceutical compounds influencing circadian rhythms, sleep, and jet lag, as well as other physiologic and metabolic processes under circadian regulation.
Properties
| Storage Instructions | All the reagents are stored at 2-8°C. The kit is stable for 6 months from the date of receipt. |
| Synonyms | EC:2.7.11.1, CKI-epsilon, CKIe, CKI epsilon |





