IHCeasy® CRNN Ready-To-Use IHC Kit
CRNN Ready-to-use reagent kit for IHC.
Reactivity
Human
Sample Type
FFPE tissue
Cat no : KHC2999
Synonyms
53 kDa putative calcium-binding protein, 53 kDa squamous epithelial-induced stress protein, 58 kDa heat shock protein, C1orf10, Cornulin
Validation Data Gallery
Product Information
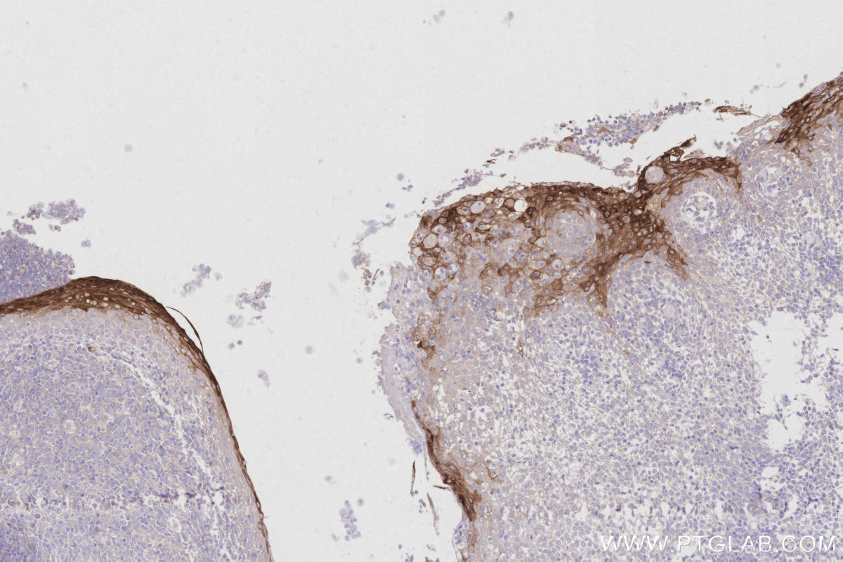
KHC2999 is a ready-to-use IHC kit for staining of CRNN. The kit provides all reagents, from antigen retrieval to cover slip mounting, that require little to no diluting or handling prior to use. Simply apply the reagents to your sample slide according to the protocol and you're steps away from obtaining high-quality IHC data.
| Product name | IHCeasy® CRNN Ready-To-Use IHC Kit |
| Sample type | FFPE tissue |
| Assay type | Immunohistochemistry |
| Primary antibody type | Rabbit Polyclonal |
| Secondary antibody type | Polymer-HRP-Goat anti-Rabbit |
| Reactivity | Human |
Kit components
| Component | Size | Concentration |
|---|---|---|
| Antigen Retrieval Buffer | 100 mL | 50× |
| Washing Buffer | 100 mL ×2 | 20× |
| Blocking Buffer | 5 mL | RTU |
| Primary Antibody | 5 mL | RTU |
| Secondary Antibody | 5 mL | RTU |
| Chromogen Component A | 0.2 mL | RTU |
| Chromogen Component B | 4 mL | RTU |
| Signal Enhancer | 5 mL | RTU |
| Counter Staining Reagent | 5 mL | RTU |
| Mounting Media | 5 mL | RTU |
| Datasheet | 1 Copy | |
| Manual | 1 Copy |
Background Information
Cornulin, also known as C1orf10, is a member of the "fused gene" family of proteins, which contain N-terminus EF-hand domains and multiple tandem peptide repeats. It may play a role in the mucosal/epithelial immune response and epidermal differentiation. Specific to squamous epithelia cells, cornulin is expressed in esophagus, primary keratinocytes, scalp skin, foreskin, cervix, larynx, and fetal bladder. It may be a marker of late epidermal differentiation, and is down-regulated in eczema.
Properties
| Storage Instructions | All the reagents are stored at 2-8°C. The kit is stable for 6 months from the date of receipt. |
| Synonyms | 53 kDa putative calcium-binding protein, 53 kDa squamous epithelial-induced stress protein, 58 kDa heat shock protein, C1orf10, Cornulin |

