IHCeasy® CRLS1 Ready-To-Use IHC Kit
CRLS1 Ready-to-use reagent kit for IHC.
Reactivity
Human, Mouse, Rat
Sample Type
FFPE tissue
Cat no : KHC1360
Synonyms
C20orf155, Cardiolipin synthase, cardiolipin synthase 1, CLS, CLS1, CRLS1, CRLS1-Specific, GCD10, Protein GCD10 homolog
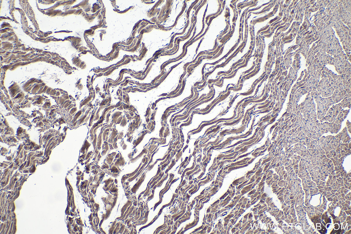
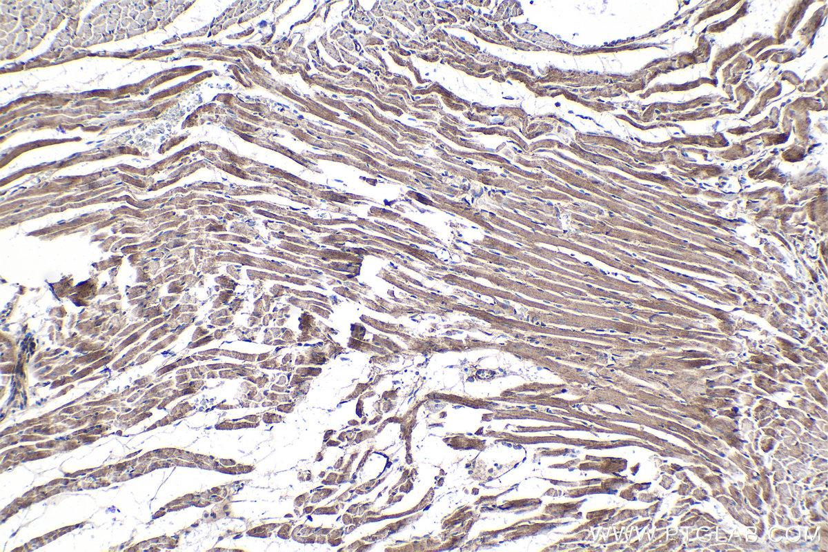
Validation Data Gallery
Product Information
KHC1360 is a ready-to-use IHC kit for staining of CRLS1. The kit provides all reagents, from antigen retrieval to cover slip mounting, that require little to no diluting or handling prior to use. Simply apply the reagents to your sample slide according to the protocol and you're steps away from obtaining high-quality IHC data.
| Product name | IHCeasy CRLS1 Ready-To-Use IHC Kit | 
| Sample type | FFPE tissue | 
| Assay type | Immunohistochemistry | 
| Primary antibody type | Rabbit Polyclonal | 
| Secondary antibody type | Polymer-HRP-Goat anti-Rabbit | 
| Reactivity | Human, Mouse, Rat | 
Kit components
| Component | Size | Concentration | 
|---|---|---|
| Antigen Retrieval Buffer | 100 mL | 50× | 
| Washing Buffer | 100 mL ×2 | 20× | 
| Blocking Buffer | 5 mL | RTU | 
| Primary Antibody | 5 mL | RTU | 
| Secondary Antibody | 5 mL | RTU | 
| Chromogen Component A | 0.2 mL | RTU | 
| Chromogen Component B | 4 mL | RTU | 
| Signal Enhancer | 5 mL | RTU | 
| Counter Staining Reagent | 5 mL | RTU | 
| Mounting Media | 5 mL | RTU | 
| Datasheet | 1 Copy | |
| Manual | 1 Copy | 
Background Information
Cardiolipin (CL) is a mitochondrial-specific double negatively charged phospholipid which is intricately involved in regulating bioenergetic efficiency. In eukaryotes, CL is synthesized by cardiolipin synthase (CRLS1 or CLS1) which catalyzes the reversible phosphatidyl group transfer from one phosphatidylglycerol molecule to another to form CL and glycerol. Recently it has been reported that transgenic expression of CRLS1 accelerates cardiolipin remodeling, improves mitochondrial function, modulates mitochondrial signaling, and attenuates mitochondrial dysfunction during diabetes, thereby identifying CRLS1 as a novel therapeutic target to attenuate mitochondrial dysfunction in diabetic myocardium.
Properties
| Storage Instructions | All the reagents are stored at 2-8°C. The kit is stable for 6 months from the date of receipt. | 
| Synonyms | C20orf155, Cardiolipin synthase, cardiolipin synthase 1, CLS, CLS1, CRLS1, CRLS1-Specific, GCD10, Protein GCD10 homolog | 






