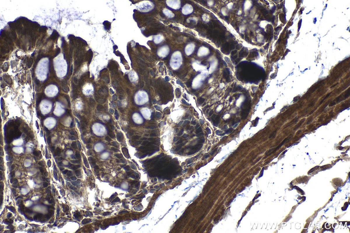
IHCeasy® CRISP3 Ready-To-Use IHC Kit
CRISP3 Ready-to-use reagent kit for IHC.
Reactivity
Human, Mouse, Rat
Sample Type
FFPE tissue
Cat no : KHC1111
Synonyms
Aeg2, CRISP 3, CRISP3, CRS3, SGP28
Validation Data Gallery
Product Information
KHC1111 is a ready-to-use IHC kit for staining of CRISP3. The kit provides all reagents, from antigen retrieval to cover slip mounting, that require little to no diluting or handling prior to use. Simply apply the reagents to your sample slide according to the protocol and you're steps away from obtaining high-quality IHC data.
| Product name | IHCeasy CRISP3 Ready-To-Use IHC Kit | 
| Sample type | FFPE tissue | 
| Assay type | Immunohistochemistry | 
| Primary antibody type | Rabbit Polyclonal | 
| Secondary antibody type | Polymer-HRP-Goat anti-Rabbit | 
| Reactivity | Human, Mouse, Rat | 
Kit components
| Component | Size | Concentration | 
|---|---|---|
| Antigen Retrieval Buffer | 100 mL | 50× | 
| Washing Buffer | 100 mL ×2 | 20× | 
| Blocking Buffer | 5 mL | RTU | 
| Primary Antibody | 5 mL | RTU | 
| Secondary Antibody | 5 mL | RTU | 
| Chromogen Component A | 0.2 mL | RTU | 
| Chromogen Component B | 4 mL | RTU | 
| Signal Enhancer | 5 mL | RTU | 
| Counter Staining Reagent | 5 mL | RTU | 
| Mounting Media | 5 mL | RTU | 
| Datasheet | 1 Copy | |
| Manual | 1 Copy | 
Background Information
CRISP3, also known as SGP28, is a glycoprotein that belongs to a family of cysteine-rich secretory proteins (CRISPs). CRISP3 was originally discovered in human neutrophils, but transcripts are widely distributed in exocrine glands (salivary glands, pancreas, and prostate) and also found at lower levels in epididymis, ovary, thymus, and colon. CRISP3 is a potential biomarker for prostate cancer. Primary antibody in this kit can recognize both CRISP2 and CRISP3.
Properties
| Storage Instructions | All the reagents are stored at 2-8°C. The kit is stable for 6 months from the date of receipt. | 
| Synonyms | Aeg2, CRISP 3, CRISP3, CRS3, SGP28 | 






