IHCeasy® CREB3L2 Ready-To-Use IHC Kit
CREB3L2 Ready-to-use reagent kit for IHC.
Reactivity
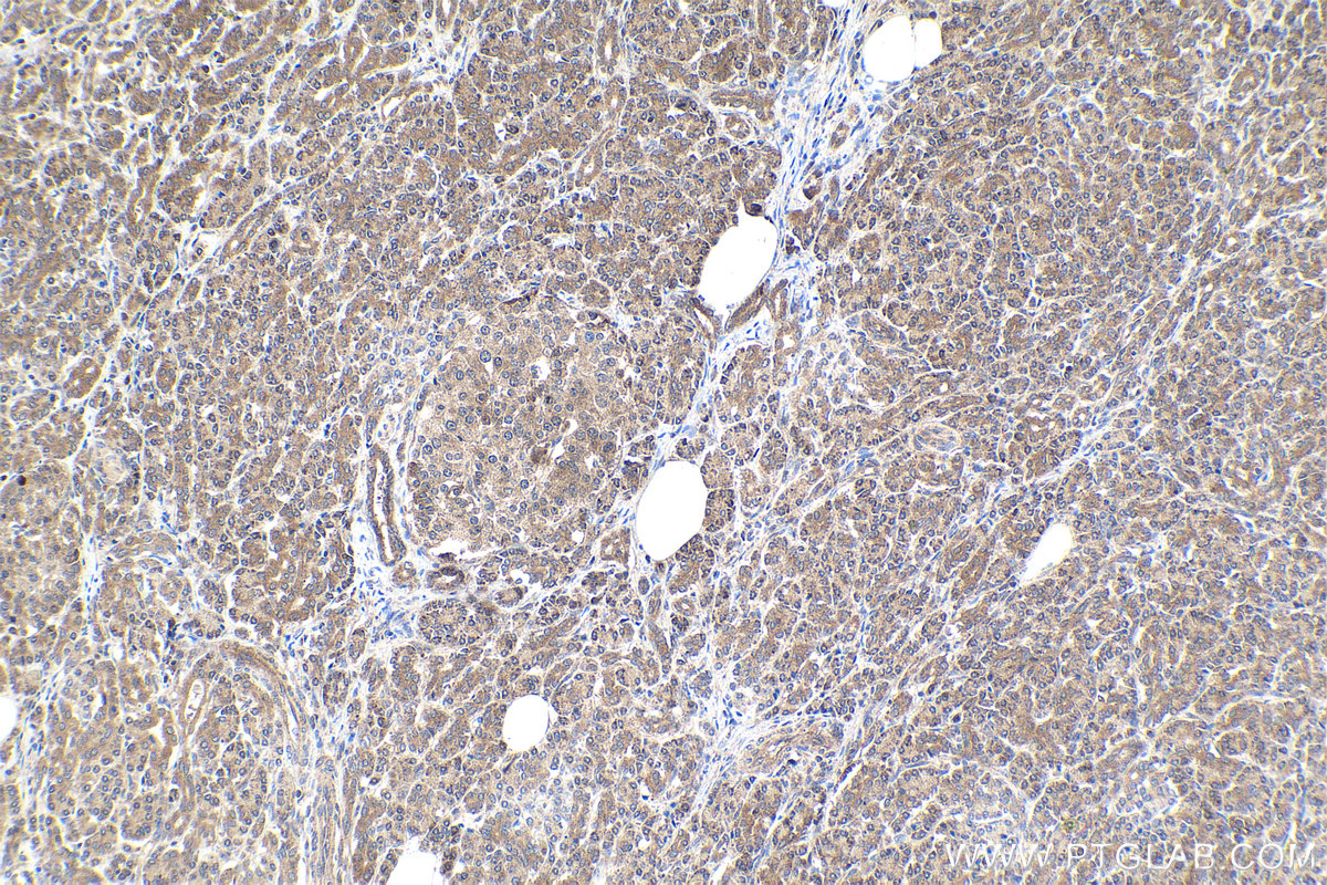
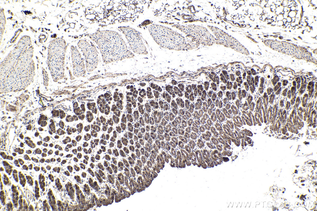
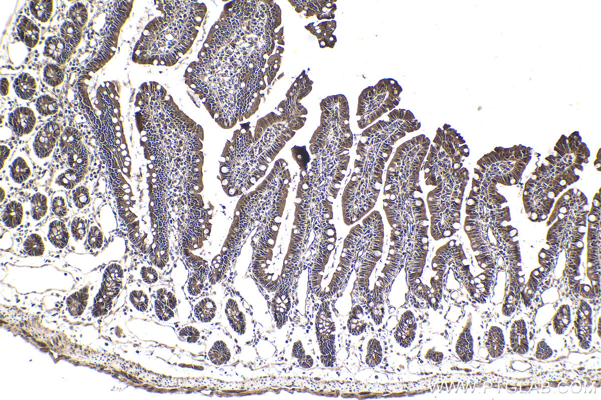
Human, Mouse, Rat
Sample Type
FFPE tissue
Cat no : KHC1795
Synonyms
BBF2H7, CREB3L2
Validation Data Gallery
Product Information
KHC1795 is a ready-to-use IHC kit for staining of CREB3L2. The kit provides all reagents, from antigen retrieval to cover slip mounting, that require little to no diluting or handling prior to use. Simply apply the reagents to your sample slide according to the protocol and you're steps away from obtaining high-quality IHC data.
| Product name | IHCeasy CREB3L2 Ready-To-Use IHC Kit |
| Sample type | FFPE tissue |
| Assay type | Immunohistochemistry |
| Primary antibody type | Rabbit Polyclonal |
| Secondary antibody type | Polymer-HRP-Goat anti-Rabbit |
| Reactivity | Human, Mouse, Rat |
Kit components
| Component | Size | Concentration |
|---|---|---|
| Antigen Retrieval Buffer | 100 mL | 50× |
| Washing Buffer | 100 mL ×2 | 20× |
| Blocking Buffer | 5 mL | RTU |
| Primary Antibody | 5 mL | RTU |
| Secondary Antibody | 5 mL | RTU |
| Chromogen Component A | 0.2 mL | RTU |
| Chromogen Component B | 4 mL | RTU |
| Signal Enhancer | 5 mL | RTU |
| Counter Staining Reagent | 5 mL | RTU |
| Mounting Media | 5 mL | RTU |
| Datasheet | 1 Copy | |
| Manual | 1 Copy |
Background Information
Cyclic AMP-responsive element-binding protein 3-like protein 2 (CREB3L2), also named BBF2H7, is a transcriptional activator which is activated during endoplasmic reticulum (ER) stress late phase. It has 3 isoforms produced by alternative splicing. CREB3L2 exerts protective effect in neurons by regulation of unfolded protein response (UPR)-dependent gene transcriptions. N-terminal cytoplamic domain of CREB3L2 is cleaved under ER stress and then translocates to the nucleus.
Properties
| Storage Instructions | All the reagents are stored at 2-8°C. The kit is stable for 6 months from the date of receipt. |
| Synonyms | BBF2H7, CREB3L2 |








