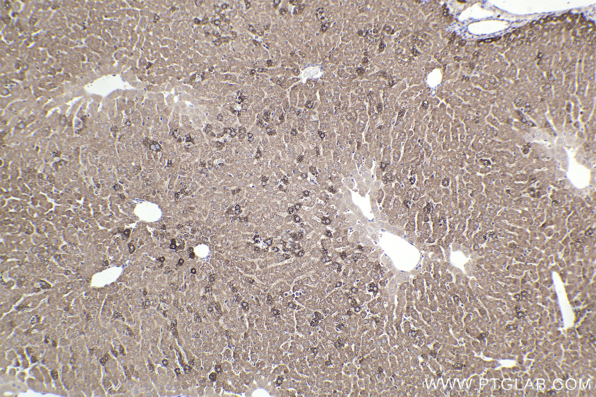
IHCeasy® CPS1 Ready-To-Use IHC Kit
CPS1 Ready-to-use reagent kit for IHC.
Reactivity
Human, Mouse, Rat
Sample Type
FFPE tissue
Cat no : KHC2268
Synonyms
EC:6.3.4.16, CPSase I, Carbamoyl-phosphate synthetase I, Carbamoyl-phosphate synthase [ammonia], mitochondrial
Validation Data Gallery
Product Information
KHC2268 is a ready-to-use IHC kit for staining of CPS1. The kit provides all reagents, from antigen retrieval to cover slip mounting, that require little to no diluting or handling prior to use. Simply apply the reagents to your sample slide according to the protocol and you're steps away from obtaining high-quality IHC data.
| Product name | IHCeasy CPS1 Ready-To-Use IHC Kit |
| Sample type | FFPE tissue |
| Assay type | Immunohistochemistry |
| Primary antibody type | Rabbit Polyclonal |
| Secondary antibody type | Polymer-HRP-Goat anti-Rabbit |
| Reactivity | Human, Mouse, Rat |
Kit components
| Component | Size | Concentration |
|---|---|---|
| Antigen Retrieval Buffer | 100 mL | 50× |
| Washing Buffer | 100 mL ×2 | 20× |
| Blocking Buffer | 5 mL | RTU |
| Primary Antibody | 5 mL | RTU |
| Secondary Antibody | 5 mL | RTU |
| Chromogen Component A | 0.2 mL | RTU |
| Chromogen Component B | 4 mL | RTU |
| Signal Enhancer | 5 mL | RTU |
| Counter Staining Reagent | 5 mL | RTU |
| Mounting Media | 5 mL | RTU |
| Datasheet | 1 Copy | |
| Manual | 1 Copy |
Background Information
Carbamoyl phosphate synthetase 1 (CPS1) is the first rate-limiting enzyme in the urea cycle, converting ammonium into carbamoyl phosphate, and plays an intricate role in arginine metabolism and pyrimidine metabolism. CPS1 expression is liver specific and suppressed in HCC cells and tumor tissues at the transcriptional level.
Properties
| Storage Instructions | All the reagents are stored at 2-8°C. The kit is stable for 6 months from the date of receipt. |
| Synonyms | EC:6.3.4.16, CPSase I, Carbamoyl-phosphate synthetase I, Carbamoyl-phosphate synthase [ammonia], mitochondrial |





