IHCeasy® COA6 Ready-To-Use IHC Kit
COA6 Ready-to-use reagent kit for IHC.
Reactivity
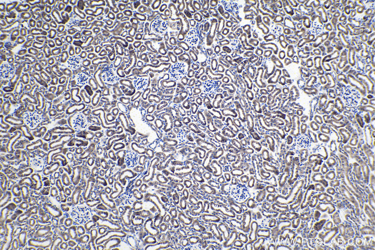
Human, Mouse
Sample Type
FFPE tissue
Cat no : KHC1023
Synonyms
C1orf31, COA6, Cytochrome c oxidase assembly factor 6 homolog
Validation Data Gallery
Product Information
KHC1023 is a ready-to-use IHC kit for staining of COA6. The kit provides all reagents, from antigen retrieval to cover slip mounting, that require little to no diluting or handling prior to use. Simply apply the reagents to your sample slide according to the protocol and you're steps away from obtaining high-quality IHC data.
| Product name | IHCeasy COA6 Ready-To-Use IHC Kit |
| Sample type | FFPE tissue |
| Assay type | Immunohistochemistry |
| Primary antibody type | Rabbit Polyclonal |
| Secondary antibody type | Polymer-HRP-Goat anti-Rabbit |
| Reactivity | Human, Mouse |
Kit components
| Component | Size | Concentration |
|---|---|---|
| Antigen Retrieval Buffer | 100 mL | 50× |
| Washing Buffer | 100 mL ×2 | 20× |
| Blocking Buffer | 5 mL | RTU |
| Primary Antibody | 5 mL | RTU |
| Secondary Antibody | 5 mL | RTU |
| Chromogen Component A | 0.2 mL | RTU |
| Chromogen Component B | 4 mL | RTU |
| Signal Enhancer | 5 mL | RTU |
| Counter Staining Reagent | 5 mL | RTU |
| Mounting Media | 5 mL | RTU |
| Datasheet | 1 Copy | |
| Manual | 1 Copy |
Background Information
C1orf31, also known as COA6, is a conserved mitochondrial protein required for respiratory complex IV biogenesis. Recently study reported that C1orf31 is required for maintenance of cytochrome c oxidase (CcO) subunit levels, and has role in the Cu delivery pathway to CcO. Defects in C1orf31 is associated with mitochondrial respiratory chain disease (MRCD).
Properties
| Storage Instructions | All the reagents are stored at 2-8°C. The kit is stable for 6 months from the date of receipt. |
| Synonyms | C1orf31, COA6, Cytochrome c oxidase assembly factor 6 homolog |





