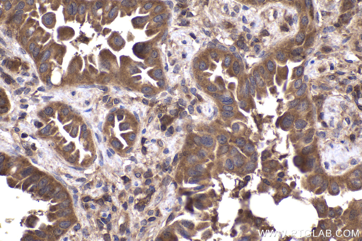
IHCeasy® CNOT8 Ready-To-Use IHC Kit
CNOT8 Ready-to-use reagent kit for IHC.
Reactivity
Human, Mouse
Sample Type
FFPE tissue
Cat no : KHC1978
Synonyms
CAF1, CAF1 like protein, CAF2, CALIF, CALIFp, CCR4 associated factor 8, CNOT8, hCAF1, POP2
Validation Data Gallery
Product Information
KHC1978 is a ready-to-use IHC kit for staining of CNOT8. The kit provides all reagents, from antigen retrieval to cover slip mounting, that require little to no diluting or handling prior to use. Simply apply the reagents to your sample slide according to the protocol and you're steps away from obtaining high-quality IHC data.
| Product name | IHCeasy CNOT8 Ready-To-Use IHC Kit |
| Sample type | FFPE tissue |
| Assay type | Immunohistochemistry |
| Primary antibody type | Rabbit Polyclonal |
| Secondary antibody type | Polymer-HRP-Goat anti-Rabbit |
| Reactivity | Human, Mouse |
Kit components
| Component | Size | Concentration |
|---|---|---|
| Antigen Retrieval Buffer | 100 mL | 50× |
| Washing Buffer | 100 mL ×2 | 20× |
| Blocking Buffer | 5 mL | RTU |
| Primary Antibody | 5 mL | RTU |
| Secondary Antibody | 5 mL | RTU |
| Chromogen Component A | 0.2 mL | RTU |
| Chromogen Component B | 4 mL | RTU |
| Signal Enhancer | 5 mL | RTU |
| Counter Staining Reagent | 5 mL | RTU |
| Mounting Media | 5 mL | RTU |
| Datasheet | 1 Copy | |
| Manual | 1 Copy |
Background Information
CCR4-NOT transcription complex subunit 8(CNOT8), is a ubiquitous transcription factor, which required for a diverse set of processes. The CCR4-NOT complex is a global regulator of RNA polymerase II, and functions as general transcription regulation complex. It consisted part by CCR4, NOT1 to NOT5, and CAF1.
Properties
| Storage Instructions | All the reagents are stored at 2-8°C. The kit is stable for 6 months from the date of receipt. |
| Synonyms | CAF1, CAF1 like protein, CAF2, CALIF, CALIFp, CCR4 associated factor 8, CNOT8, hCAF1, POP2 |




