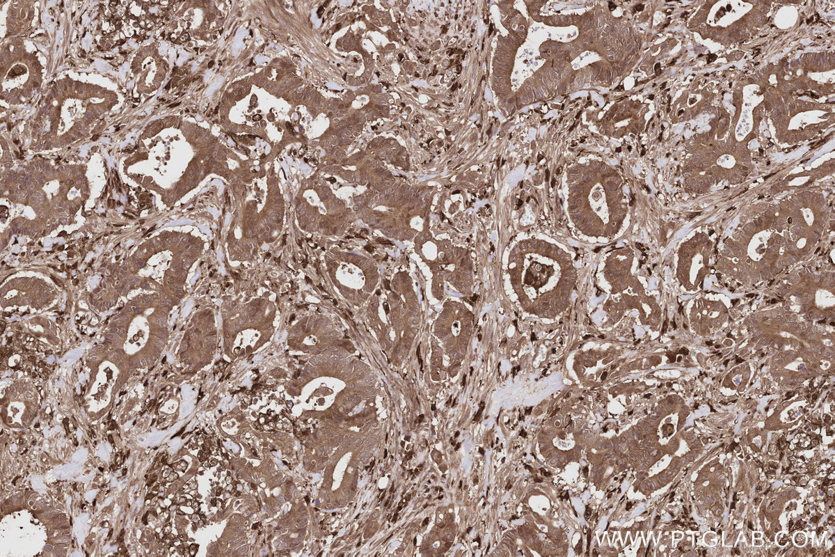
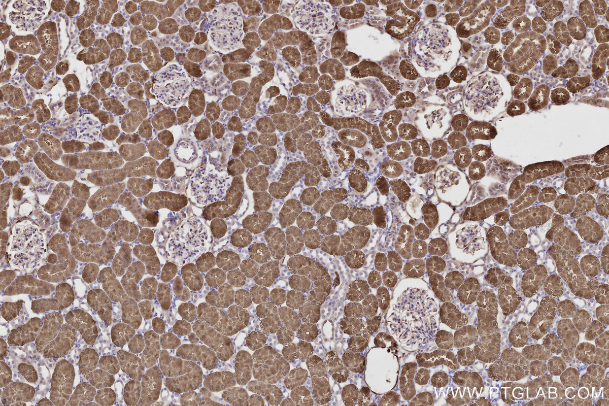
IHCeasy® CNDP2 Ready-To-Use IHC Kit
CNDP2 Ready-to-use reagent kit for IHC.
Reactivity
Human, Mouse, Rat
Sample Type
FFPE tissue
Cat no : KHC2804
Synonyms
CNDP dipeptidase 2, CPGL, Cytosolic non-specific dipeptidase, EC:3.4.13.18, Glutamate carboxypeptidase-like protein 1
Validation Data Gallery
Product Information
KHC2804 is a ready-to-use IHC kit for staining of CNDP2. The kit provides all reagents, from antigen retrieval to cover slip mounting, that require little to no diluting or handling prior to use. Simply apply the reagents to your sample slide according to the protocol and you're steps away from obtaining high-quality IHC data.
| Product name | IHCeasy CNDP2 Ready-To-Use IHC Kit |
| Sample type | FFPE tissue |
| Assay type | Immunohistochemistry |
| Primary antibody type | Rabbit Recombinant |
| Secondary antibody type | Polymer-HRP-Goat anti-Rabbit |
| Reactivity | Human, Mouse, Rat |
Kit components
| Component | Size | Concentration |
|---|---|---|
| Antigen Retrieval Buffer | 100 mL | 50× |
| Washing Buffer | 100 mL ×2 | 20× |
| Blocking Buffer | 5 mL | RTU |
| Primary Antibody | 5 mL | RTU |
| Secondary Antibody | 5 mL | RTU |
| Chromogen Component A | 0.2 mL | RTU |
| Chromogen Component B | 4 mL | RTU |
| Signal Enhancer | 5 mL | RTU |
| Counter Staining Reagent | 5 mL | RTU |
| Mounting Media | 5 mL | RTU |
| Datasheet | 1 Copy | |
| Manual | 1 Copy |
Background Information
Carnosine dipeptidase II (CNDP2) catalyzes the peptide bond hydrolysis in dipeptides, displaying a non-redundant activity toward threonyl dipeptides. It has high dipeptidase activity toward cysteinyl glycine, an intermediate metabolite in glutathione metabolism. Metabolizes N-lactoyl-amino acids, both through hydrolysis to form lactic acid and amino acids, as well as through their formation by reverse proteolysis. CNDP2 has 2 isoforms. The isoform 1 is ubiquitously expressed with higher levels in the kidney and liver (at protein level) and expressed in peripheral blood leukocytes. It is also expressed in gastric mucosa and down-regulated in gastric cancer mucosal tissues (at the protein level) . Isoform 2 is broadly expressed in fetal tissues and expressed in the adult liver and placenta.
Properties
| Storage Instructions | All the reagents are stored at 2-8°C. The kit is stable for 6 months from the date of receipt. |
| Synonyms | CNDP dipeptidase 2, CPGL, Cytosolic non-specific dipeptidase, EC:3.4.13.18, Glutamate carboxypeptidase-like protein 1 |





