IHCeasy® CHST4 Ready-To-Use IHC Kit
CHST4 Ready-to-use reagent kit for IHC.
Reactivity
Human, Mouse
Sample Type
FFPE tissue
Cat no : KHC3294
Synonyms
EC:2.8.2.-, Galactose/N-acetylglucosamine/N-acetylglucosamine 6-O-sulfotransferase 3, GlcNAc6ST 2, GlcNAc6ST-2, Gn6st 2
Validation Data Gallery
Product Information
KHC3294 is a ready-to-use IHC kit for staining of CHST4. The kit provides all reagents, from antigen retrieval to cover slip mounting, that require little to no diluting or handling prior to use. Simply apply the reagents to your sample slide according to the protocol and you're steps away from obtaining high-quality IHC data.
| Product name | IHCeasy® CHST4 Ready-To-Use IHC Kit |
| Sample type | FFPE tissue |
| Assay type | Immunohistochemistry |
| Primary antibody type | Mouse Monoclonal |
| Secondary antibody type | Polymer-HRP-Goat anti-Mouse |
| Reactivity | Human, Mouse |
Kit components
| Component | Size | Concentration |
|---|---|---|
| Antigen Retrieval Buffer | 100 mL | 50× |
| Washing Buffer | 100 mL ×2 | 20× |
| Blocking Buffer | 5 mL | RTU |
| Primary Antibody | 5 mL | RTU |
| Secondary Antibody | 5 mL | RTU |
| Chromogen Component A | 0.2 mL | RTU |
| Chromogen Component B | 4 mL | RTU |
| Signal Enhancer | 5 mL | RTU |
| Counter Staining Reagent | 5 mL | RTU |
| Mounting Media | 5 mL | RTU |
| Datasheet | 1 Copy | |
| Manual | 1 Copy |
Background Information
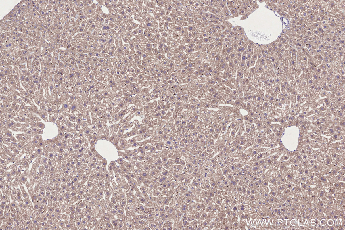
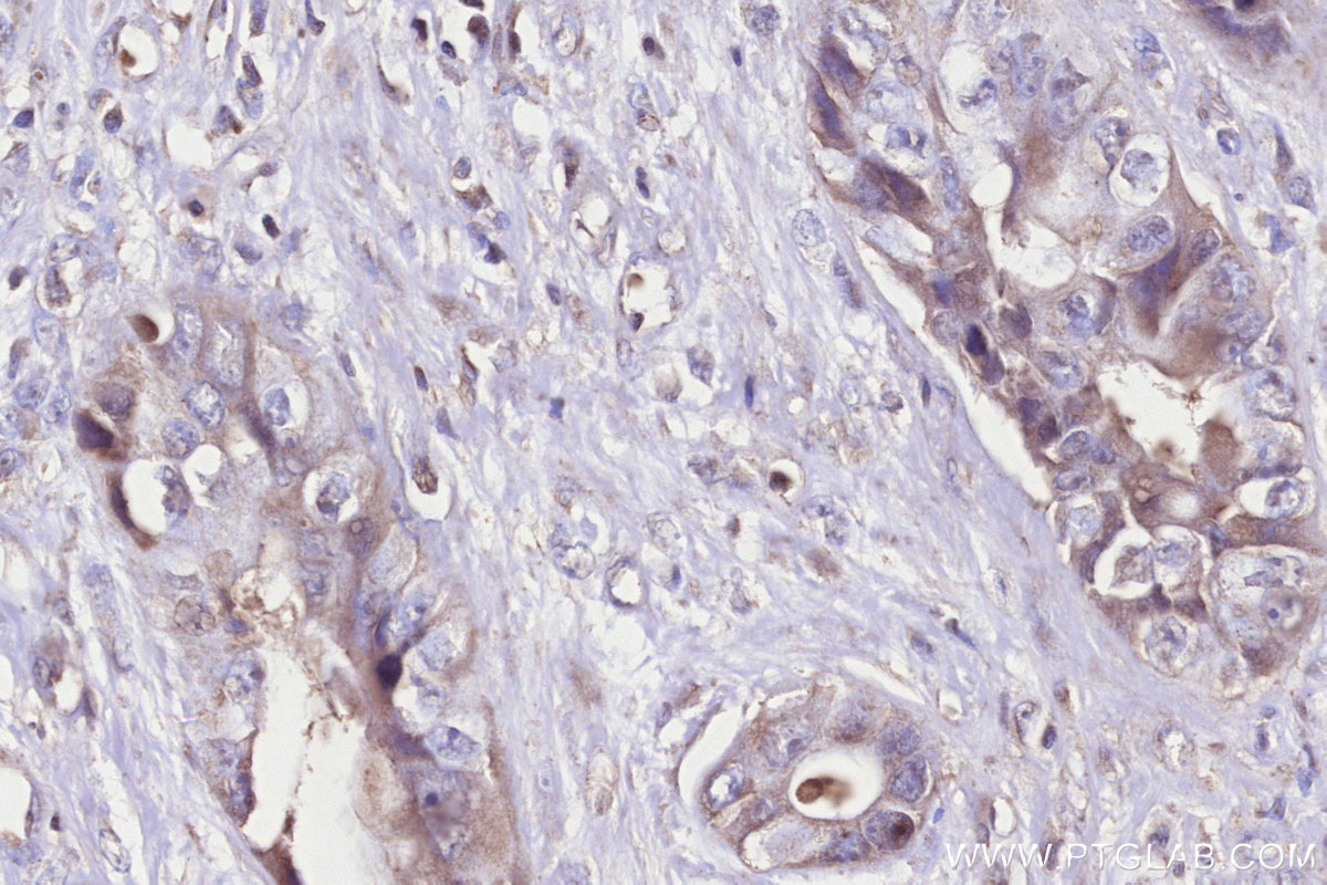
CHST4, also named as HEC GlcNAc6ST and GlcNAc6ST 2, is one of a major GlcNAc-6-O-sulfotransferases involved in synthesizing the L-selectin ligands mediating lymphocyte homing. CHST4 is associated with the expression of MECA-79 epitope on HEV. It has been reported that the transcripts of CHST4 can be detected in lymph node, liver, pancreas and high endothelial venules (HEVs) but at a low level in HUVECs. Besides, CHST4 is expressed at a high level in gastric and colorectal cancer patients compared with normal mucosa.
Properties
| Storage Instructions | All the reagents are stored at 2-8°C. The kit is stable for 6 months from the date of receipt. |
| Synonyms | EC:2.8.2.-, Galactose/N-acetylglucosamine/N-acetylglucosamine 6-O-sulfotransferase 3, GlcNAc6ST 2, GlcNAc6ST-2, Gn6st 2 |


