IHCeasy® CCT6B Ready-To-Use IHC Kit
CCT6B Ready-to-use reagent kit for IHC.
Reactivity
Human, Mouse, Rat
Sample Type
FFPE tissue
Cat no : KHC3304
Synonyms
CCT zeta 2, CCTZ 2, Cctz2, CCT-zeta-2, CCT-zeta-like
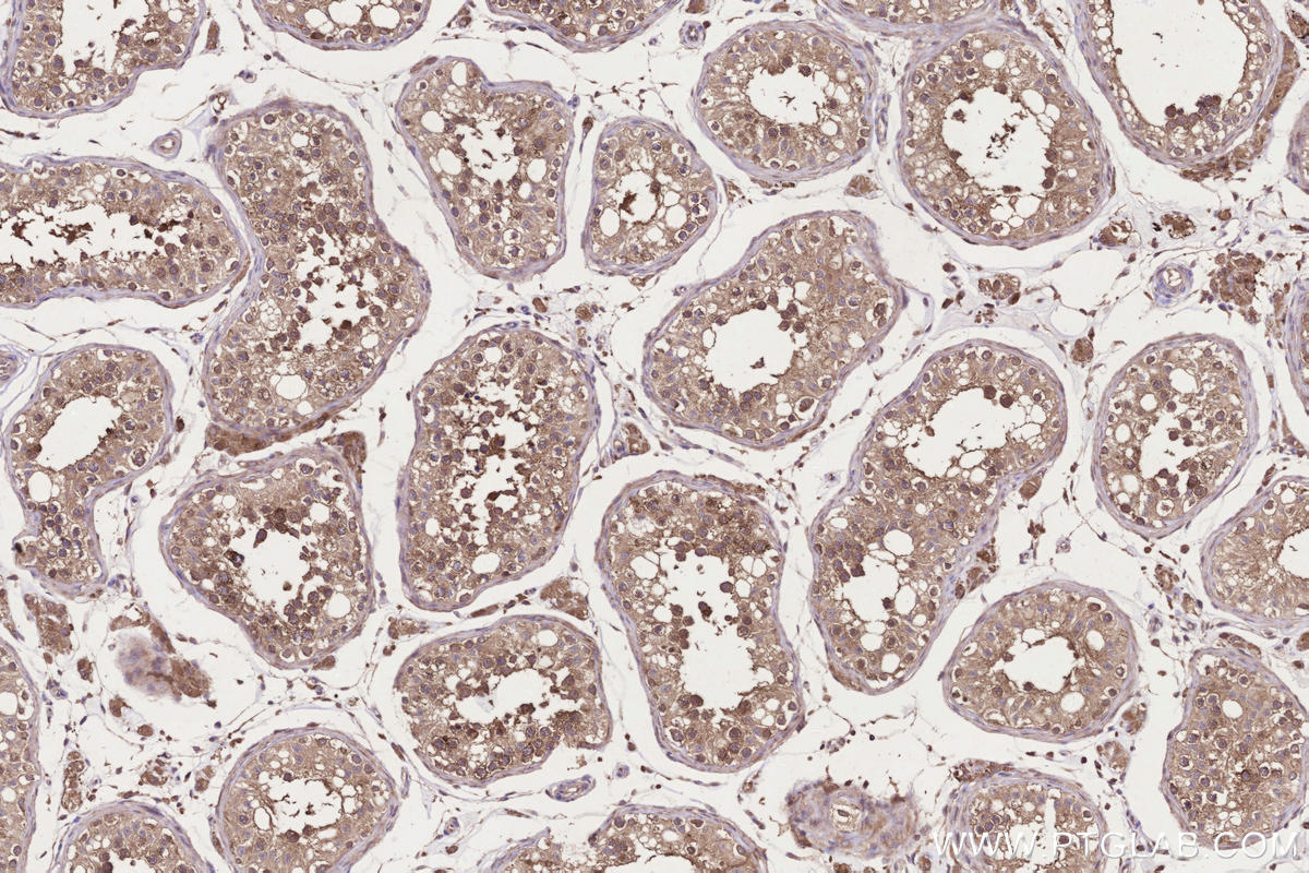
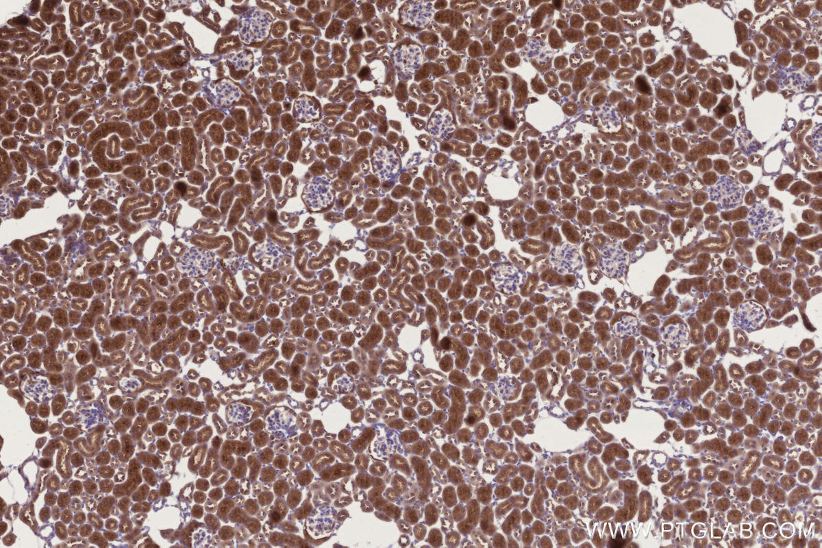
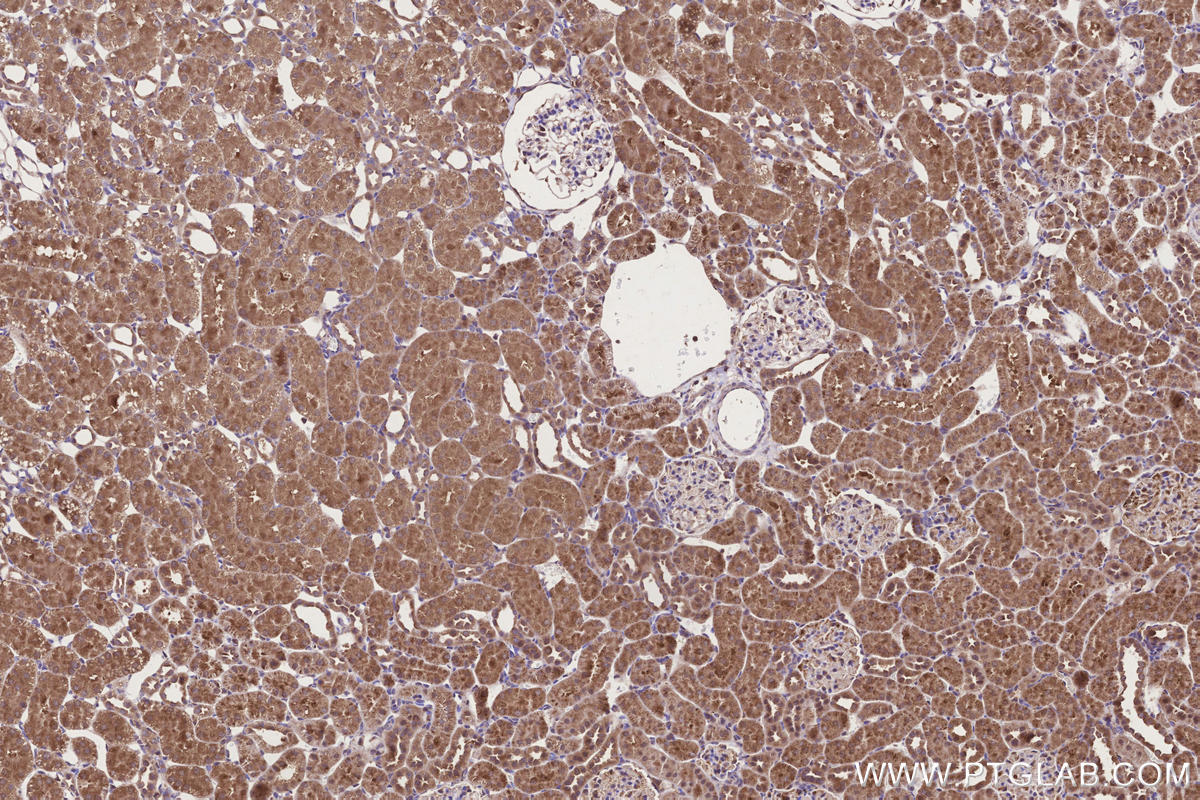
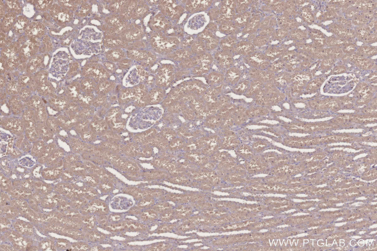
Validation Data Gallery
Product Information
KHC3304 is a ready-to-use IHC kit for staining of CCT6B. The kit provides all reagents, from antigen retrieval to cover slip mounting, that require little to no diluting or handling prior to use. Simply apply the reagents to your sample slide according to the protocol and you're steps away from obtaining high-quality IHC data.
| Product name | IHCeasy® CCT6B Ready-To-Use IHC Kit |
| Sample type | FFPE tissue |
| Assay type | Immunohistochemistry |
| Primary antibody type | Mouse Monoclonal |
| Secondary antibody type | Polymer-HRP-Goat anti-Mouse |
| Reactivity | Human, Mouse, Rat |
Kit components
| Component | Size | Concentration |
|---|---|---|
| Antigen Retrieval Buffer | 100 mL | 50× |
| Washing Buffer | 100 mL ×2 | 20× |
| Blocking Buffer | 5 mL | RTU |
| Primary Antibody | 5 mL | RTU |
| Secondary Antibody | 5 mL | RTU |
| Chromogen Component A | 0.2 mL | RTU |
| Chromogen Component B | 4 mL | RTU |
| Signal Enhancer | 5 mL | RTU |
| Counter Staining Reagent | 5 mL | RTU |
| Mounting Media | 5 mL | RTU |
| Datasheet | 1 Copy | |
| Manual | 1 Copy |
Background Information
CCT6B, also named as CCT-zeta-2, TCP-1-zeta-like, CCT-zeta-like, Testis-specific Tcp20 and Testis-specific protein TSA303, belongs to the TCP-1 chaperonin family. CCT6B is a molecular chaperone which assists the folding of proteins upon ATP hydrolysis. It is known to play a role, in vitro, in the folding of actin and tubulin.
Properties
| Storage Instructions | All the reagents are stored at 2-8°C. The kit is stable for 6 months from the date of receipt. |
| Synonyms | CCT zeta 2, CCTZ 2, Cctz2, CCT-zeta-2, CCT-zeta-like |






