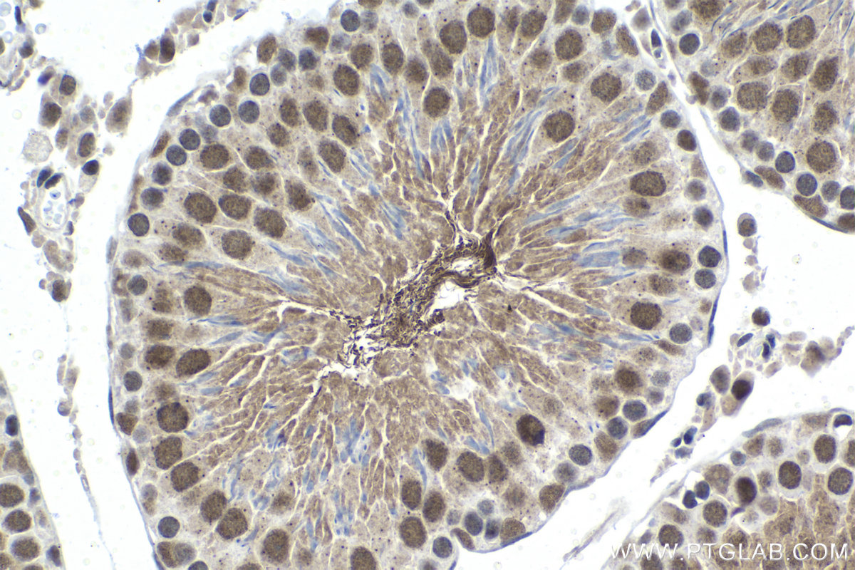
IHCeasy® CCNK Ready-To-Use IHC Kit
CCNK Ready-to-use reagent kit for IHC.
Reactivity
Human, Mouse, Rat
Sample Type
FFPE tissue
Cat no : KHC1479
Synonyms
CCNK, CPR4, cyclin K
Validation Data Gallery
Product Information
KHC1479 is a ready-to-use IHC kit for staining of CCNK. The kit provides all reagents, from antigen retrieval to cover slip mounting, that require little to no diluting or handling prior to use. Simply apply the reagents to your sample slide according to the protocol and you're steps away from obtaining high-quality IHC data.
| Product name | IHCeasy CCNK Ready-To-Use IHC Kit |
| Sample type | FFPE tissue |
| Assay type | Immunohistochemistry |
| Primary antibody type | Rabbit Polyclonal |
| Secondary antibody type | Polymer-HRP-Goat anti-Rabbit |
| Reactivity | Human, Mouse, Rat |
Kit components
| Component | Size | Concentration |
|---|---|---|
| Antigen Retrieval Buffer | 100 mL | 50× |
| Washing Buffer | 100 mL ×2 | 20× |
| Blocking Buffer | 5 mL | RTU |
| Primary Antibody | 5 mL | RTU |
| Secondary Antibody | 5 mL | RTU |
| Chromogen Component A | 0.2 mL | RTU |
| Chromogen Component B | 4 mL | RTU |
| Signal Enhancer | 5 mL | RTU |
| Counter Staining Reagent | 5 mL | RTU |
| Mounting Media | 5 mL | RTU |
| Datasheet | 1 Copy | |
| Manual | 1 Copy |
Background Information
Cyclin-K (CCNK) is also named as CPR4 and belongs to the cyclin family. CCNK is a regulatory subunit of cyclin-dependent kinases that mediates activation of target kinases. It plays a role in transcriptional regulation via its role in regulating the phosphorylation of the C-terminal domain (CTD) of the large subunit of RNA polymerase II (POLR2A). The Cyclin K/Cdk12 complex maintains genomic stability via regulation of expression of DNA damage response genes.
Properties
| Storage Instructions | All the reagents are stored at 2-8°C. The kit is stable for 6 months from the date of receipt. |
| Synonyms | CCNK, CPR4, cyclin K |







