IHCeasy® CCNDBP1 Ready-To-Use IHC Kit
CCNDBP1 Ready-to-use reagent kit for IHC.
Reactivity
Human, Mouse, Rat
Sample Type
FFPE tissue
Cat no : KHC2138
Synonyms
CCNDBP1, Cyclin D1 binding protein 1, DIP1, GCIP, HHM, Human homolog of Maid
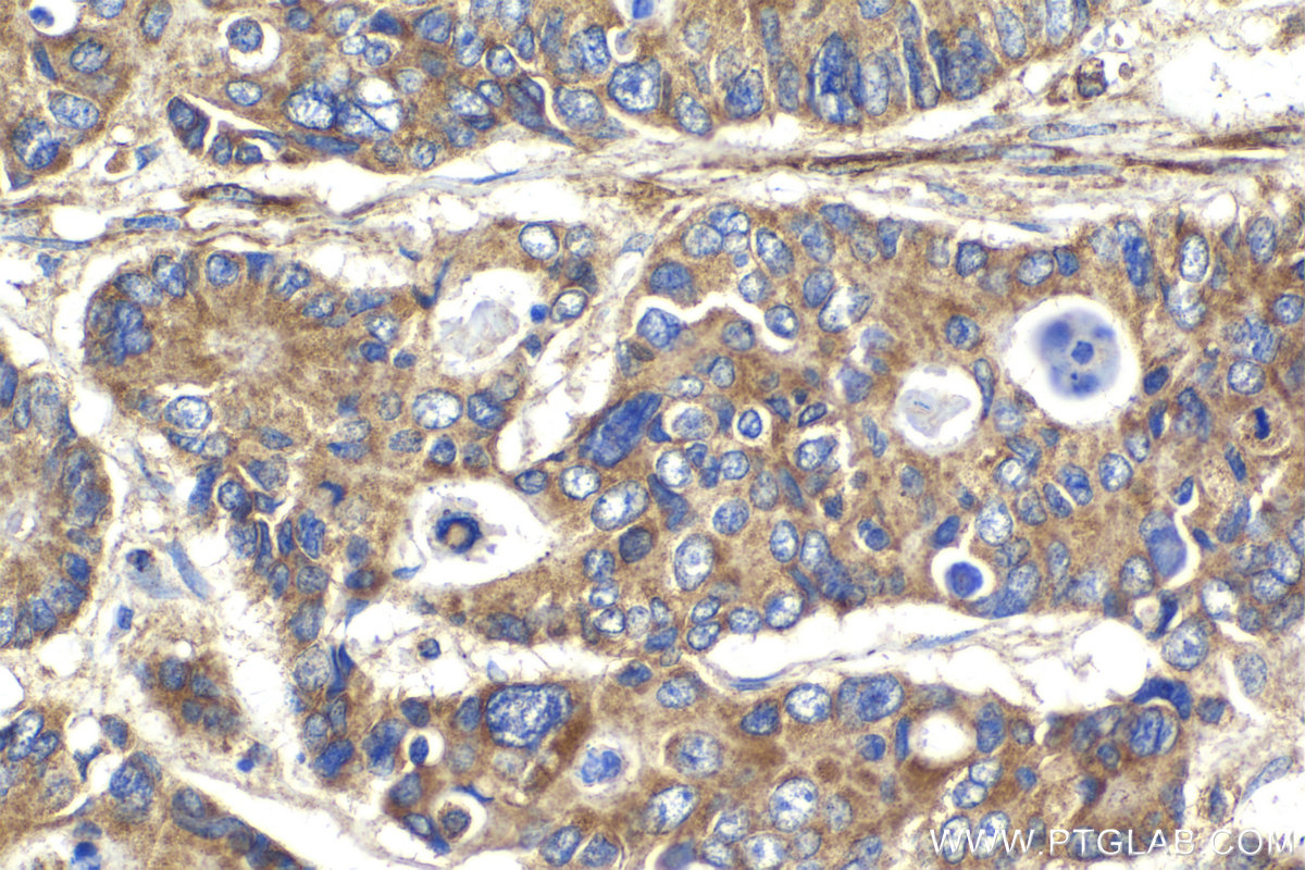
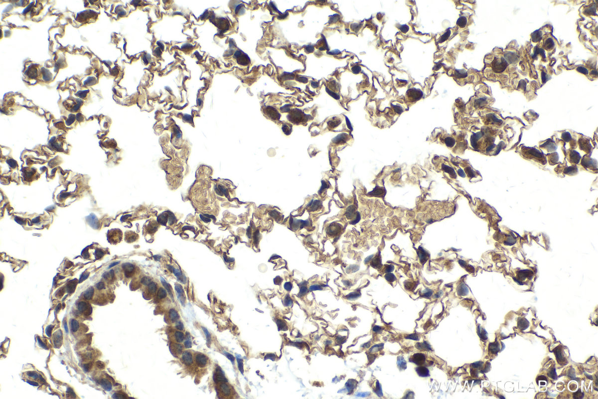
Validation Data Gallery
Product Information
KHC2138 is a ready-to-use IHC kit for staining of CCNDBP1. The kit provides all reagents, from antigen retrieval to cover slip mounting, that require little to no diluting or handling prior to use. Simply apply the reagents to your sample slide according to the protocol and you're steps away from obtaining high-quality IHC data.
| Product name | IHCeasy CCNDBP1 Ready-To-Use IHC Kit |
| Sample type | FFPE tissue |
| Assay type | Immunohistochemistry |
| Primary antibody type | Rabbit Polyclonal |
| Secondary antibody type | Polymer-HRP-Goat anti-Rabbit |
| Reactivity | Human, Mouse, Rat |
Kit components
| Component | Size | Concentration |
|---|---|---|
| Antigen Retrieval Buffer | 100 mL | 50× |
| Washing Buffer | 100 mL ×2 | 20× |
| Blocking Buffer | 5 mL | RTU |
| Primary Antibody | 5 mL | RTU |
| Secondary Antibody | 5 mL | RTU |
| Chromogen Component A | 0.2 mL | RTU |
| Chromogen Component B | 4 mL | RTU |
| Signal Enhancer | 5 mL | RTU |
| Counter Staining Reagent | 5 mL | RTU |
| Mounting Media | 5 mL | RTU |
| Datasheet | 1 Copy | |
| Manual | 1 Copy |
Background Information
CCNDBP1, also named as DIP1, GCIP and HHM, is a helix-loop-helix protein which suppresses tumorigenesis. CCNDBP1 specifically interacts with one of the class III HDAC proteins, SirT6, which is important for maintaining genome stability. CCNDBP1 may negatively regulate cell cycle progression.
Properties
| Storage Instructions | All the reagents are stored at 2-8°C. The kit is stable for 6 months from the date of receipt. |
| Synonyms | CCNDBP1, Cyclin D1 binding protein 1, DIP1, GCIP, HHM, Human homolog of Maid |






