IHCeasy® CBX5 Ready-To-Use IHC Kit
CBX5 Ready-to-use reagent kit for IHC.
Reactivity
Human, Mouse, Rat
Sample Type
FFPE tissue
Cat no : KHC2266
Synonyms
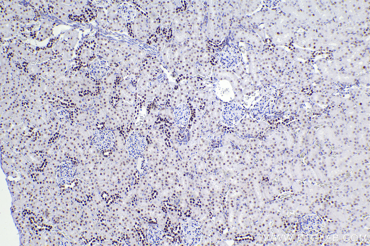
Validation Data Gallery
Product Information
KHC2266 is a ready-to-use IHC kit for staining of CBX5. The kit provides all reagents, from antigen retrieval to cover slip mounting, that require little to no diluting or handling prior to use. Simply apply the reagents to your sample slide according to the protocol and you're steps away from obtaining high-quality IHC data.
| Product name | IHCeasy CBX5 Ready-To-Use IHC Kit |
| Sample type | FFPE tissue |
| Assay type | Immunohistochemistry |
| Primary antibody type | Rabbit Recombinant |
| Secondary antibody type | Polymer-HRP-Goat anti-Rabbit |
| Reactivity | Human, Mouse, Rat |
Kit components
| Component | Size | Concentration |
|---|---|---|
| Antigen Retrieval Buffer | 100 mL | 50× |
| Washing Buffer | 100 mL ×2 | 20× |
| Blocking Buffer | 5 mL | RTU |
| Primary Antibody | 5 mL | RTU |
| Secondary Antibody | 5 mL | RTU |
| Chromogen Component A | 0.2 mL | RTU |
| Chromogen Component B | 4 mL | RTU |
| Signal Enhancer | 5 mL | RTU |
| Counter Staining Reagent | 5 mL | RTU |
| Mounting Media | 5 mL | RTU |
| Datasheet | 1 Copy | |
| Manual | 1 Copy |
Background Information
Chromobox protein homolog 5 (CBX5), also named heterochromatin protein 1 alpha (HP1a), is a highly conserved nonhistone protein involved in heterochromatin formation and gene silencing in different species including humans. HP1a is a Component of heterochromatin that recognizes and binds histone H3 tails methylated at 'Lys-9' (H3K9me), leading to epigenetic repression. In contrast, it is excluded from chromatin when 'Tyr-41' of histone H3 is phosphorylated (H3Y41ph). It may interact with lamin-Breceptor. HP1a is involved in the formation of functional kinetochore through interaction with MIS12complex proteins. Phosphorylation of HP1 and LBR during interphase mitosis may be responsible for some of the alterations in chromatin organization and nuclear structure which occur at various times during the cell cycle. The HP1a was expressed in nucleus and associates specifically with chromatin during metaphase and anaphase. Recent studies have shown that HP1a is present at many euchromatic sites and positively regulates euchromatic gene expression through RNA transcript association and interaction with hnRNPs in Drosophila.
Properties
| Storage Instructions | All the reagents are stored at 2-8°C. The kit is stable for 6 months from the date of receipt. |
| Synonyms |






