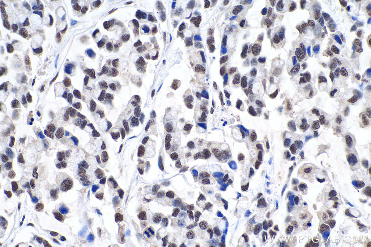
IHCeasy® CBX1 Ready-To-Use IHC Kit
CBX1 Ready-to-use reagent kit for IHC.
Reactivity
Human, Mouse, Rat
Sample Type
FFPE tissue
Cat no : KHC0920
Synonyms
CBX, CBX1, Chromobox protein homolog 1, Heterochromatin protein p25, HP1 BETA, HP1Hs beta, HP1Hsbeta, M31, MOD1, Modifier 1 protein, p25beta
Validation Data Gallery
Product Information
KHC0920 is a ready-to-use IHC kit for staining of CBX1. The kit provides all reagents, from antigen retrieval to cover slip mounting, that require little to no diluting or handling prior to use. Simply apply the reagents to your sample slide according to the protocol and you're steps away from obtaining high-quality IHC data.
| Product name | IHCeasy CBX1 Ready-To-Use IHC Kit |
| Sample type | FFPE tissue |
| Assay type | Immunohistochemistry |
| Primary antibody type | Rabbit Polyclonal |
| Secondary antibody type | Polymer-HRP-Goat anti-Rabbit |
| Reactivity | Human, Mouse, Rat |
Kit components
| Component | Size | Concentration |
|---|---|---|
| Antigen Retrieval Buffer | 100 mL | 50× |
| Washing Buffer | 100 mL ×2 | 20× |
| Blocking Buffer | 5 mL | RTU |
| Primary Antibody | 5 mL | RTU |
| Secondary Antibody | 5 mL | RTU |
| Chromogen Component A | 0.2 mL | RTU |
| Chromogen Component B | 4 mL | RTU |
| Signal Enhancer | 5 mL | RTU |
| Counter Staining Reagent | 5 mL | RTU |
| Mounting Media | 5 mL | RTU |
| Datasheet | 1 Copy | |
| Manual | 1 Copy |
Background Information
One function of heterochromatin is the epigenetic silencing by sequestration of genes into transcriptionally repressed nuclear neighborhoods. Heterochromatin protein 1 (HP1) is a major component of heterochromatin and is a candidate for establishing and mediating gene silencing. This protein is expressed in all adult and embryonic tissues, as a homodimer.
Properties
| Storage Instructions | All the reagents are stored at 2-8°C. The kit is stable for 6 months from the date of receipt. |
| Synonyms | CBX, CBX1, Chromobox protein homolog 1, Heterochromatin protein p25, HP1 BETA, HP1Hs beta, HP1Hsbeta, M31, MOD1, Modifier 1 protein, p25beta |






