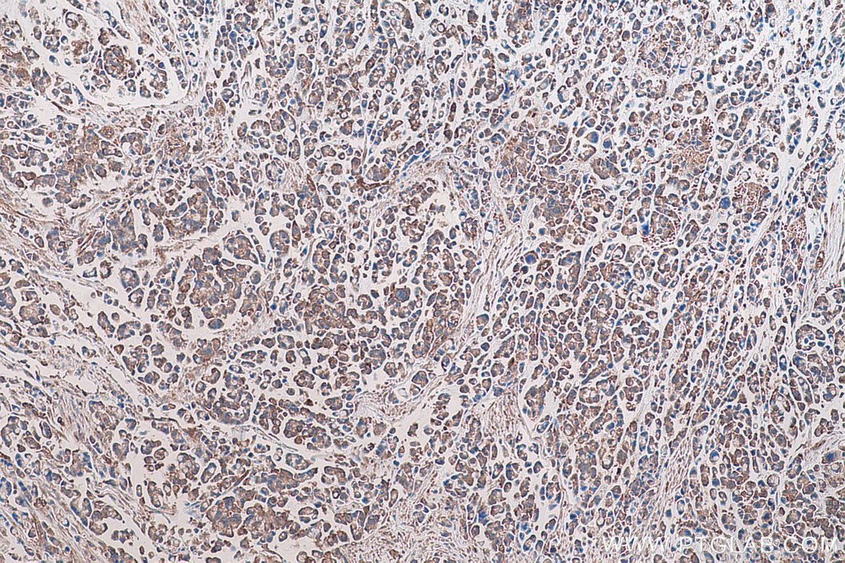
IHCeasy® CAPN2 Ready-To-Use IHC Kit
CAPN2 Ready-to-use reagent kit for IHC.
Reactivity
Human, Mouse, Rat
Sample Type
FFPE tissue
Cat no : KHC0724
Synonyms
Calpain 2 catalytic subunit, Calpain 2 large subunit, Calpain large polypeptide L2, Calpain M type, CANP 2, CANP2, CANPL2, CANPml, CAPN2, FLJ39928, M calpain, mCANP, Millimolar calpain
Validation Data Gallery
Product Information
KHC0724 is a ready-to-use IHC kit for staining of CAPN2. The kit provides all reagents, from antigen retrieval to cover slip mounting, that require little to no diluting or handling prior to use. Simply apply the reagents to your sample slide according to the protocol and you're steps away from obtaining high-quality IHC data.
| Product name | IHCeasy CAPN2 Ready-To-Use IHC Kit |
| Sample type | FFPE tissue |
| Assay type | Immunohistochemistry |
| Primary antibody type | Mouse Monoclonal |
| Secondary antibody type | Polymer-HRP-Goat anti-Mouse |
| Reactivity | Human, Mouse, Rat |
Kit components
| Component | Size | Concentration |
|---|---|---|
| Antigen Retrieval Buffer | 100 mL | 50× |
| Washing Buffer | 100 mL ×2 | 20× |
| Blocking Buffer | 5 mL | RTU |
| Primary Antibody | 5 mL | RTU |
| Secondary Antibody | 5 mL | RTU |
| Chromogen Component A | 0.2 mL | RTU |
| Chromogen Component B | 4 mL | RTU |
| Signal Enhancer | 5 mL | RTU |
| Counter Staining Reagent | 5 mL | RTU |
| Mounting Media | 5 mL | RTU |
| Datasheet | 1 Copy | |
| Manual | 1 Copy |
Background Information
Calpain 2(Calpain-2 catalytic subunit) is also named as CANPL2, CANPml, mCANP, FLJ39928 and belongs to the peptidase C2 family. It is a calcium-regulated non-lysosomal thiol-protease which catalyzes limited proteolysis of substrates involved in cytoskeletal remodelling and signal transduction.
Properties
| Storage Instructions | All the reagents are stored at 2-8°C. The kit is stable for 6 months from the date of receipt. |
| Synonyms | Calpain 2 catalytic subunit, Calpain 2 large subunit, Calpain large polypeptide L2, Calpain M type, CANP 2, CANP2, CANPL2, CANPml, CAPN2, FLJ39928, M calpain, mCANP, Millimolar calpain |







