IHCeasy® CAPG Ready-To-Use IHC Kit
CAPG Ready-to-use reagent kit for IHC.
Reactivity
Human, Mouse, Rat
Sample Type
FFPE tissue
Cat no : KHC0709
Synonyms
CAPG, CHCG, Condensin complex subunit 3, Condensin subunit CAP G, FLJ12450, HCAP G, Melanoma antigen NY MEL 3, NCAPG, NY MEL 3, NYMEL3, XCAP G homolog
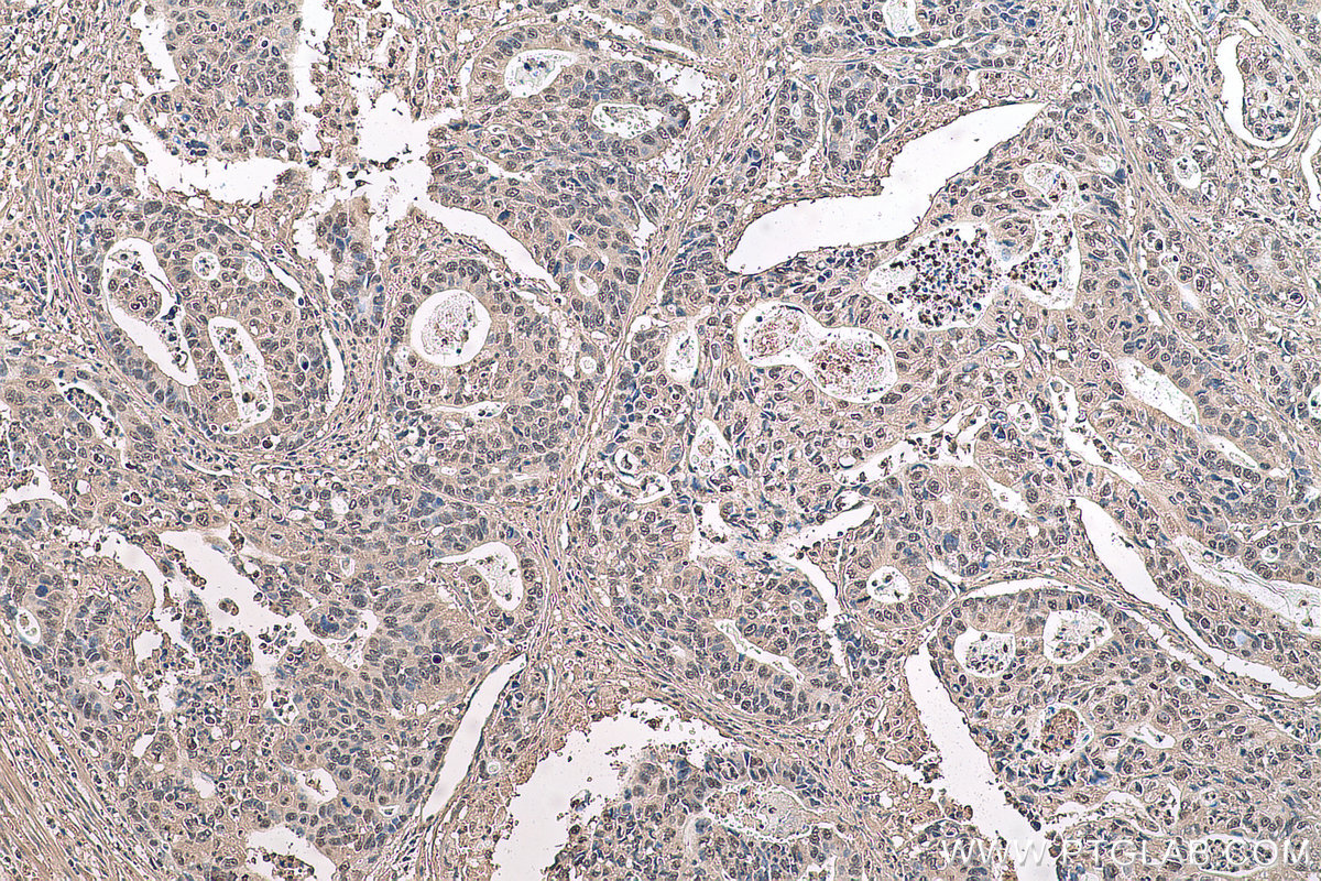
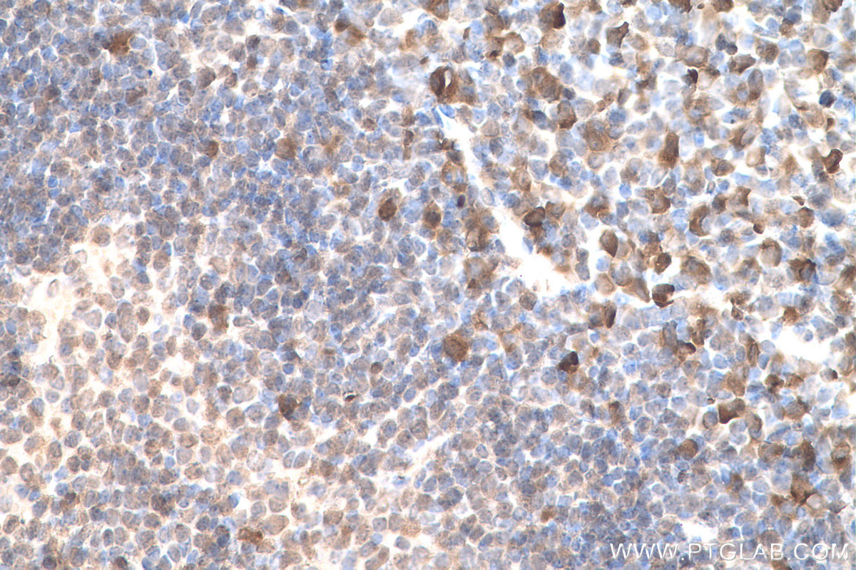
Validation Data Gallery
Product Information
KHC0709 is a ready-to-use IHC kit for staining of CAPG. The kit provides all reagents, from antigen retrieval to cover slip mounting, that require little to no diluting or handling prior to use. Simply apply the reagents to your sample slide according to the protocol and you're steps away from obtaining high-quality IHC data.
| Product name | IHCeasy CAPG Ready-To-Use IHC Kit |
| Sample type | FFPE tissue |
| Assay type | Immunohistochemistry |
| Primary antibody type | Mouse Monoclonal |
| Secondary antibody type | Polymer-HRP-Goat anti-Mouse |
| Reactivity | Human, Mouse, Rat |
Kit components
| Component | Size | Concentration |
|---|---|---|
| Antigen Retrieval Buffer | 100 mL | 50× |
| Washing Buffer | 100 mL ×2 | 20× |
| Blocking Buffer | 5 mL | RTU |
| Primary Antibody | 5 mL | RTU |
| Secondary Antibody | 5 mL | RTU |
| Chromogen Component A | 0.2 mL | RTU |
| Chromogen Component B | 4 mL | RTU |
| Signal Enhancer | 5 mL | RTU |
| Counter Staining Reagent | 5 mL | RTU |
| Mounting Media | 5 mL | RTU |
| Datasheet | 1 Copy | |
| Manual | 1 Copy |
Properties
| Storage Instructions | All the reagents are stored at 2-8°C. The kit is stable for 6 months from the date of receipt. |
| Synonyms | CAPG, CHCG, Condensin complex subunit 3, Condensin subunit CAP G, FLJ12450, HCAP G, Melanoma antigen NY MEL 3, NCAPG, NY MEL 3, NYMEL3, XCAP G homolog |








