IHCeasy® C5AR1 Ready-To-Use IHC Kit
C5AR1 Ready-to-use reagent kit for IHC.
Reactivity
Human, Mouse, Rat
Sample Type
FFPE tissue
Cat no : KHC1293
Synonyms
C5A, C5a R, C5aR, C5AR1, C5R1, CD88
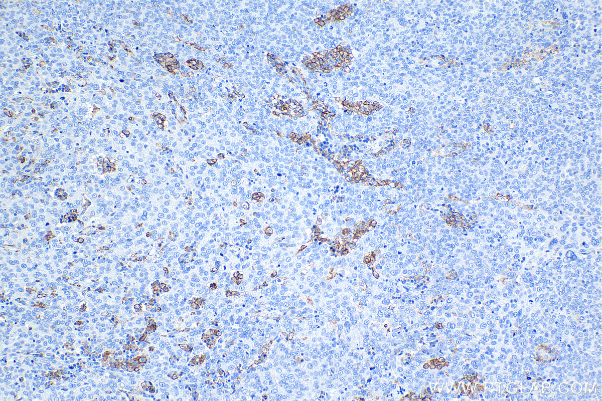
Validation Data Gallery
Product Information
KHC1293 is a ready-to-use IHC kit for staining of C5AR1. The kit provides all reagents, from antigen retrieval to cover slip mounting, that require little to no diluting or handling prior to use. Simply apply the reagents to your sample slide according to the protocol and you're steps away from obtaining high-quality IHC data.
| Product name | IHCeasy C5AR1 Ready-To-Use IHC Kit |
| Sample type | FFPE tissue |
| Assay type | Immunohistochemistry |
| Primary antibody type | Rabbit Polyclonal |
| Secondary antibody type | Polymer-HRP-Goat anti-Rabbit |
| Reactivity | Human, Mouse, Rat |
Kit components
| Component | Size | Concentration |
|---|---|---|
| Antigen Retrieval Buffer | 100 mL | 50× |
| Washing Buffer | 100 mL ×2 | 20× |
| Blocking Buffer | 5 mL | RTU |
| Primary Antibody | 5 mL | RTU |
| Secondary Antibody | 5 mL | RTU |
| Chromogen Component A | 0.2 mL | RTU |
| Chromogen Component B | 4 mL | RTU |
| Signal Enhancer | 5 mL | RTU |
| Counter Staining Reagent | 5 mL | RTU |
| Mounting Media | 5 mL | RTU |
| Datasheet | 1 Copy | |
| Manual | 1 Copy |
Background Information
C5aR, also named as CD88, is a G protein-coupled receptor for the anaphylatoxin C5a, a cleavage product of the complement cascade. The C5a ligand is a proinflammatory component of host defense. C5aR is activated upon binding of the C5a molecule. Receptor activation stimulates chemotaxis, granule enzyme release, intracellular calcium release and superoxide anion production. C5aR has an N-linked glycosylation site in the N-terminal extracellular domain.
Properties
| Storage Instructions | All the reagents are stored at 2-8°C. The kit is stable for 6 months from the date of receipt. |
| Synonyms | C5A, C5a R, C5aR, C5AR1, C5R1, CD88 |





