IHCeasy® C1S Ready-To-Use IHC Kit
C1S Ready-to-use reagent kit for IHC.
Reactivity
Human
Sample Type
FFPE tissue
Cat no : KHC0405
Synonyms
C1 esterase, C1S, Complement C1s subcomponent
Validation Data Gallery
Product Information
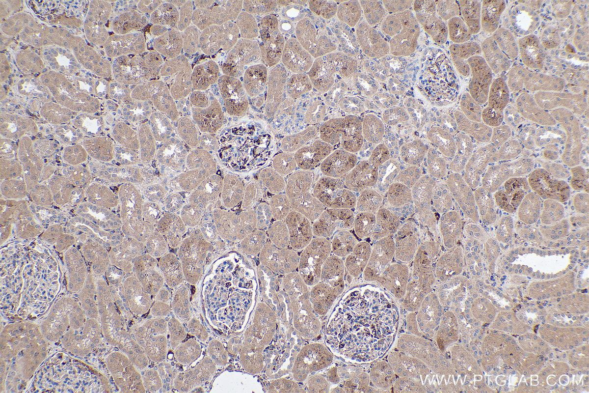
KHC0405 is a ready-to-use IHC kit for staining of C1S. The kit provides all reagents, from antigen retrieval to cover slip mounting, that require little to no diluting or handling prior to use. Simply apply the reagents to your sample slide according to the protocol and you're steps away from obtaining high-quality IHC data.
| Product name | IHCeasy C1S Ready-To-Use IHC Kit |
| Sample type | FFPE tissue |
| Assay type | Immunohistochemistry |
| Primary antibody type | Rabbit Polyclonal |
| Secondary antibody type | Polymer-HRP-Goat anti-Rabbit |
| Reactivity | Human |
Kit components
| Component | Size | Concentration |
|---|---|---|
| Antigen Retrieval Buffer | 100 mL | 50× |
| Washing Buffer | 100 mL ×2 | 20× |
| Blocking Buffer | 5 mL | RTU |
| Primary Antibody | 5 mL | RTU |
| Secondary Antibody | 5 mL | RTU |
| Chromogen Component A | 0.2 mL | RTU |
| Chromogen Component B | 4 mL | RTU |
| Signal Enhancer | 5 mL | RTU |
| Counter Staining Reagent | 5 mL | RTU |
| Mounting Media | 5 mL | RTU |
| Datasheet | 1 Copy | |
| Manual | 1 Copy |
Background Information
The first component of complement is a calcium-dependent complex of the 3 subcomponents C1q, C1r, and C1s. The serine protease subunits C1r and C1s form a Ca(2+)-dependent C1s-C1r-C1r-C1s tetramer. C1r activates C1s so that it can, in turn, activate C2 and C4. C1s is a glycoprotein of approximately 88 kDa, which is activated by cleavage into an A chain and a B chain.
Properties
| Storage Instructions | All the reagents are stored at 2-8°C. The kit is stable for 6 months from the date of receipt. |
| Synonyms | C1 esterase, C1S, Complement C1s subcomponent |



