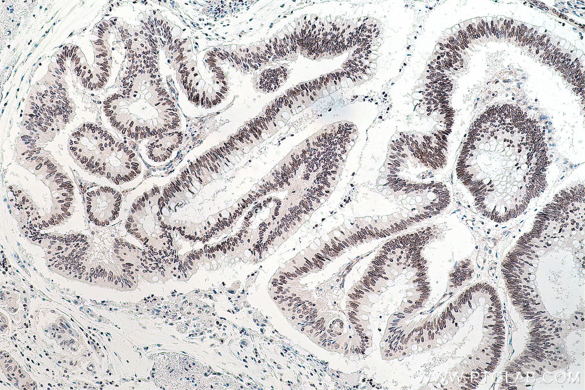
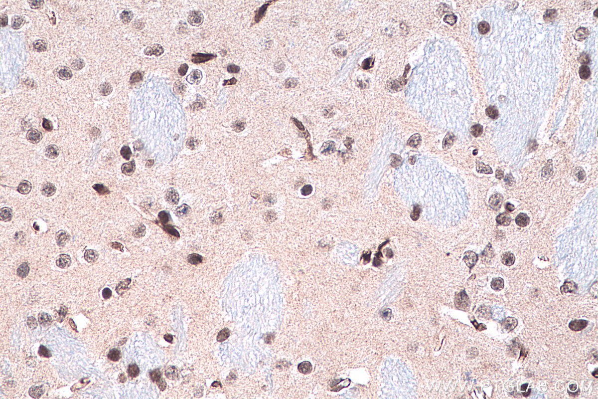
IHCeasy® BMI1 Ready-To-Use IHC Kit
BMI1 Ready-to-use reagent kit for IHC.
Reactivity
Human, Mouse, Rat
Sample Type
FFPE tissue
Cat no : KHC0296
Synonyms
BMI1, PCGF4, Polycomb complex protein BMI 1, RING finger protein 51, RNF51
Validation Data Gallery
Product Information
KHC0296 is a ready-to-use IHC kit for staining of BMI1. The kit provides all reagents, from antigen retrieval to cover slip mounting, that require little to no diluting or handling prior to use. Simply apply the reagents to your sample slide according to the protocol and you're steps away from obtaining high-quality IHC data.
| Product name | IHCeasy BMI1 Ready-To-Use IHC Kit |
| Sample type | FFPE tissue |
| Assay type | Immunohistochemistry |
| Primary antibody type | Mouse Monoclonal |
| Secondary antibody type | Polymer-HRP-Goat anti-Mouse |
| Reactivity | Human, Mouse, Rat |
Kit components
| Component | Size | Concentration |
|---|---|---|
| Antigen Retrieval Buffer | 100 mL | 50× |
| Washing Buffer | 100 mL ×2 | 20× |
| Blocking Buffer | 5 mL | RTU |
| Primary Antibody | 5 mL | RTU |
| Secondary Antibody | 5 mL | RTU |
| Chromogen Component A | 0.2 mL | RTU |
| Chromogen Component B | 4 mL | RTU |
| Signal Enhancer | 5 mL | RTU |
| Counter Staining Reagent | 5 mL | RTU |
| Mounting Media | 5 mL | RTU |
| Datasheet | 1 Copy | |
| Manual | 1 Copy |
Background Information
BMI- 1 is one of polycomb group genes, which together with Ring1 strongly enhances the E3 ubiquitin ligase activity of the Ring2 catalytic subunit. Bmi1 plays an important role in the regulation of cell proliferation and senescence through repression of the p16Ink4a and p19Arf genes and is required for maintenance of adult hematopoietic and neural stem cells.
Properties
| Storage Instructions | All the reagents are stored at 2-8°C. The kit is stable for 6 months from the date of receipt. |
| Synonyms | BMI1, PCGF4, Polycomb complex protein BMI 1, RING finger protein 51, RNF51 |





