IHCeasy® BAIAP2L1 Ready-To-Use IHC Kit
BAIAP2L1 Ready-to-use reagent kit for IHC.
Reactivity
Human, Mouse, Rat
Sample Type
FFPE tissue
Cat no : KHC3010
Synonyms
BAI1-associated protein 2-like protein 1, BAR/IMD domain-containing adapter protein 2-like 1, Brain-specific angiogenesis inhibitor 1-associated protein 2-like protein 1, IRTKS
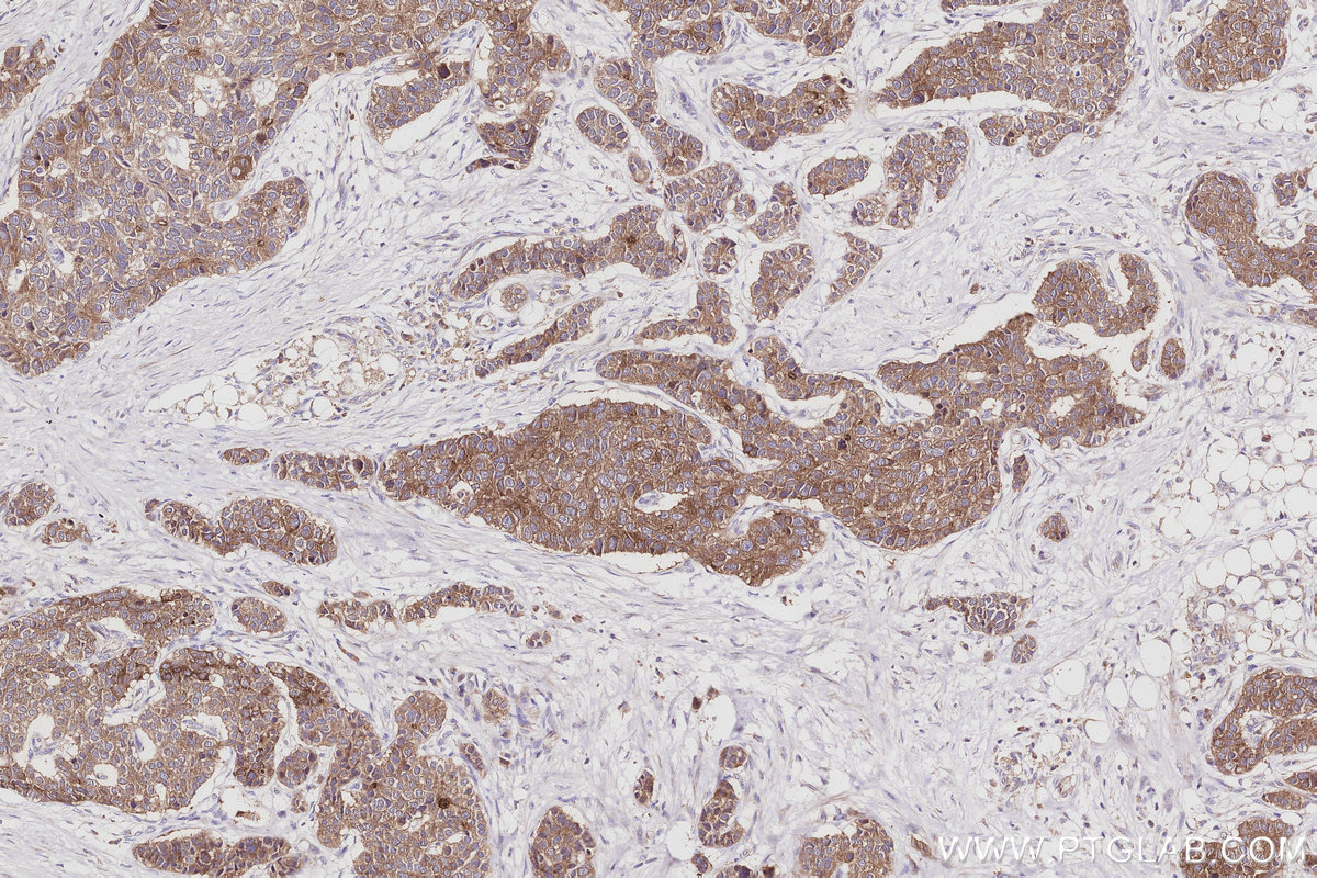
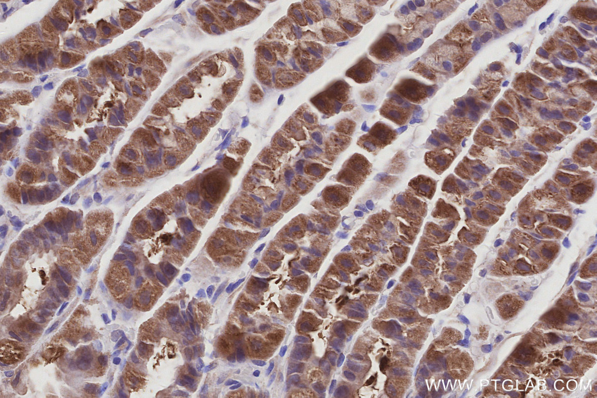
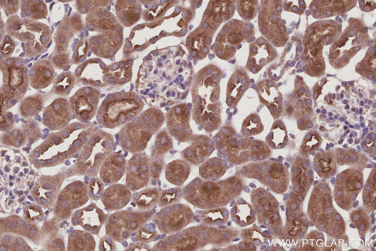
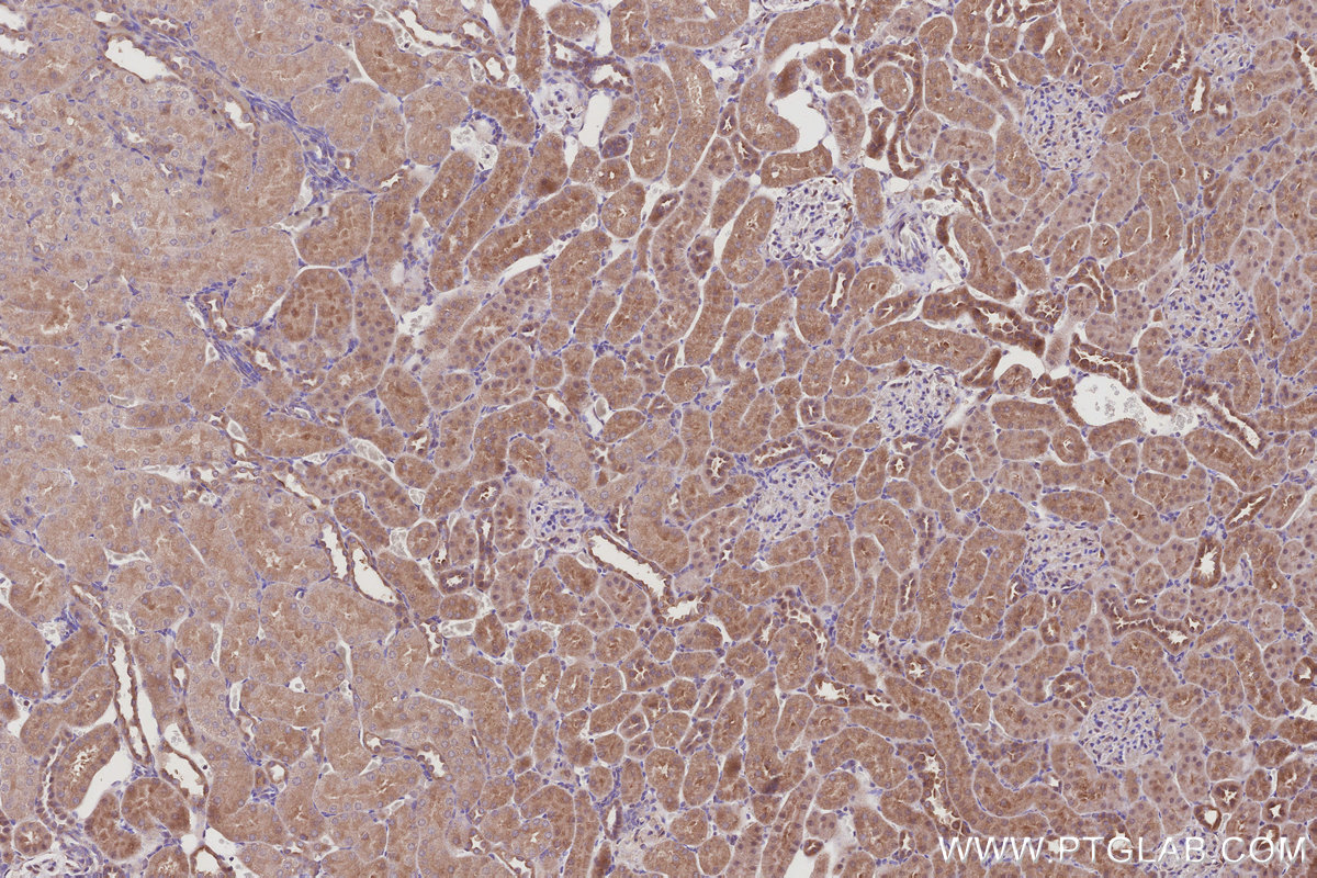
Validation Data Gallery
Product Information
KHC3010 is a ready-to-use IHC kit for staining of BAIAP2L1. The kit provides all reagents, from antigen retrieval to cover slip mounting, that require little to no diluting or handling prior to use. Simply apply the reagents to your sample slide according to the protocol and you're steps away from obtaining high-quality IHC data.
| Product name | IHCeasy® BAIAP2L1 Ready-To-Use IHC Kit |
| Sample type | FFPE tissue |
| Assay type | Immunohistochemistry |
| Primary antibody type | Rabbit Polyclonal |
| Secondary antibody type | Polymer-HRP-Goat anti-Rabbit |
| Reactivity | Human, Mouse, Rat |
Kit components
| Component | Size | Concentration |
|---|---|---|
| Antigen Retrieval Buffer | 100 mL | 50× |
| Washing Buffer | 100 mL ×2 | 20× |
| Blocking Buffer | 5 mL | RTU |
| Primary Antibody | 5 mL | RTU |
| Secondary Antibody | 5 mL | RTU |
| Chromogen Component A | 0.2 mL | RTU |
| Chromogen Component B | 4 mL | RTU |
| Signal Enhancer | 5 mL | RTU |
| Counter Staining Reagent | 5 mL | RTU |
| Mounting Media | 5 mL | RTU |
| Datasheet | 1 Copy | |
| Manual | 1 Copy |
Background Information
BAIAP2L1, also known as IRTKS, is a 511-amino acid protein containing an IRSp53/MIM homology domain (IMD) that bundles actin filaments and interacts with the small GTPase Rac. In addition to the IMD domain, BAIAP2L1 also contains an SH3 domain and WW domain interaction motif. BAIAP2L1 is widely distributed and is an INS receptor substrate. It has a role in actin remodeling and membrane protrusion.
Properties
| Storage Instructions | All the reagents are stored at 2-8°C. The kit is stable for 6 months from the date of receipt. |
| Synonyms | BAI1-associated protein 2-like protein 1, BAR/IMD domain-containing adapter protein 2-like 1, Brain-specific angiogenesis inhibitor 1-associated protein 2-like protein 1, IRTKS |




