IHCeasy® AZGP1 Ready-To-Use IHC Kit
AZGP1 Ready-to-use reagent kit for IHC.
Reactivity
Human
Sample Type
FFPE tissue
Cat no : KHC0401
Synonyms
AZGP1, ZA2G, ZAG, Zinc alpha 2 glycoprotein, Zinc-alpha-2-glycoprotein, Zn alpha 2 glycoprotein, Zn alpha 2 GP, ZNGP1
Validation Data Gallery
Product Information
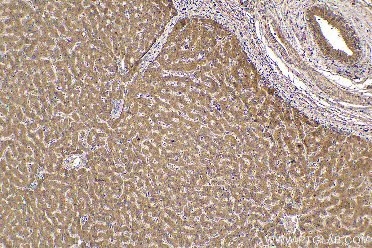
KHC0401 is a ready-to-use IHC kit for staining of AZGP1. The kit provides all reagents, from antigen retrieval to cover slip mounting, that require little to no diluting or handling prior to use. Simply apply the reagents to your sample slide according to the protocol and you're steps away from obtaining high-quality IHC data.
| Product name | IHCeasy AZGP1 Ready-To-Use IHC Kit |
| Sample type | FFPE tissue |
| Assay type | Immunohistochemistry |
| Primary antibody type | Mouse Monoclonal |
| Secondary antibody type | Polymer-HRP-Goat anti-Mouse |
| Reactivity | Human |
Kit components
| Component | Size | Concentration |
|---|---|---|
| Antigen Retrieval Buffer | 100 mL | 50× |
| Washing Buffer | 100 mL ×2 | 20× |
| Blocking Buffer | 5 mL | RTU |
| Primary Antibody | 5 mL | RTU |
| Secondary Antibody | 5 mL | RTU |
| Chromogen Component A | 0.2 mL | RTU |
| Chromogen Component B | 4 mL | RTU |
| Signal Enhancer | 5 mL | RTU |
| Counter Staining Reagent | 5 mL | RTU |
| Mounting Media | 5 mL | RTU |
| Datasheet | 1 Copy | |
| Manual | 1 Copy |
Background Information
Zinc-alpha-2-glycoprotein (AZGP1) is a soluble protein normally found in body fluids, functions as a lipid mobilizing factor. It is known to be expressed in the secretory epithelia of the liver, lung, breast, GI tract and sweat glands, sharing significant structural similarity with the class I major histocompatibility complex (MHC) antigens. AZGP1 is involved in carcinogenesis and differentiation. Altered expression of AZGP1 has been reported in breast cancer, prostate cancer and lung adenocarcinoma, hepatocellular carcinoma, pancreatic carcinoma and oral tumors.
Properties
| Storage Instructions | All the reagents are stored at 2-8°C. The kit is stable for 6 months from the date of receipt. |
| Synonyms | AZGP1, ZA2G, ZAG, Zinc alpha 2 glycoprotein, Zinc-alpha-2-glycoprotein, Zn alpha 2 glycoprotein, Zn alpha 2 GP, ZNGP1 |



