IHCeasy® ARHGAP28 Ready-To-Use IHC Kit
ARHGAP28 Ready-to-use reagent kit for IHC.
Reactivity
Human, Mouse, Rat
Sample Type
FFPE tissue
Cat no : KHC2994
Synonyms
cDNA FLJ58638, highly similar to Homo sapiens Rho GTPase activating protein 28, KIAA1314
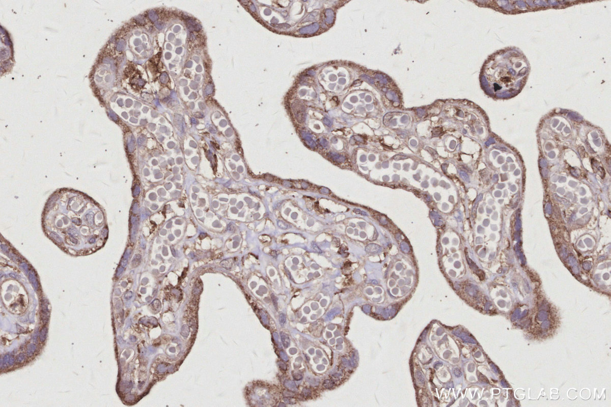
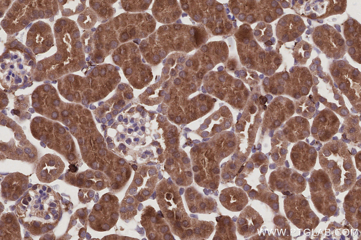
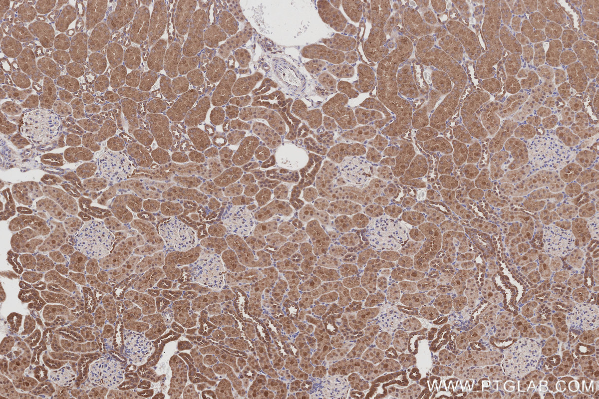
Validation Data Gallery
Product Information
KHC2994 is a ready-to-use IHC kit for staining of ARHGAP28. The kit provides all reagents, from antigen retrieval to cover slip mounting, that require little to no diluting or handling prior to use. Simply apply the reagents to your sample slide according to the protocol and you're steps away from obtaining high-quality IHC data.
| Product name | IHCeasy® ARHGAP28 Ready-To-Use IHC Kit |
| Sample type | FFPE tissue |
| Assay type | Immunohistochemistry |
| Primary antibody type | Rabbit Polyclonal |
| Secondary antibody type | Polymer-HRP-Goat anti-Rabbit |
| Reactivity | Human, Mouse, Rat |
Kit components
| Component | Size | Concentration |
|---|---|---|
| Antigen Retrieval Buffer | 100 mL | 50× |
| Washing Buffer | 100 mL ×2 | 20× |
| Blocking Buffer | 5 mL | RTU |
| Primary Antibody | 5 mL | RTU |
| Secondary Antibody | 5 mL | RTU |
| Chromogen Component A | 0.2 mL | RTU |
| Chromogen Component B | 4 mL | RTU |
| Signal Enhancer | 5 mL | RTU |
| Counter Staining Reagent | 5 mL | RTU |
| Mounting Media | 5 mL | RTU |
| Datasheet | 1 Copy | |
| Manual | 1 Copy |
Background Information
ARHGAP28 (Rho GTPase Activating Protein 28), also known as FLJ10312 and KIAA1314, is a Rho GTPase activating protein (RhoGAP) that switches RhoA to its inactive form. It is reported that high expression of ARHGAP28 in osteosarcoma cell lines can inhibit the proliferation, migration, and invasion of osteosarcoma.
Properties
| Storage Instructions | All the reagents are stored at 2-8°C. The kit is stable for 6 months from the date of receipt. |
| Synonyms | cDNA FLJ58638, highly similar to Homo sapiens Rho GTPase activating protein 28, KIAA1314 |





