IHCeasy® ARHGAP24 Ready-To-Use IHC Kit
ARHGAP24 Ready-to-use reagent kit for IHC.
Reactivity
Human, Mouse, Rat
Sample Type
FFPE tissue
Cat no : KHC2669
Synonyms
ARHGAP24,Filamin-A-associated RhoGAP,FilGAP,RAC1-
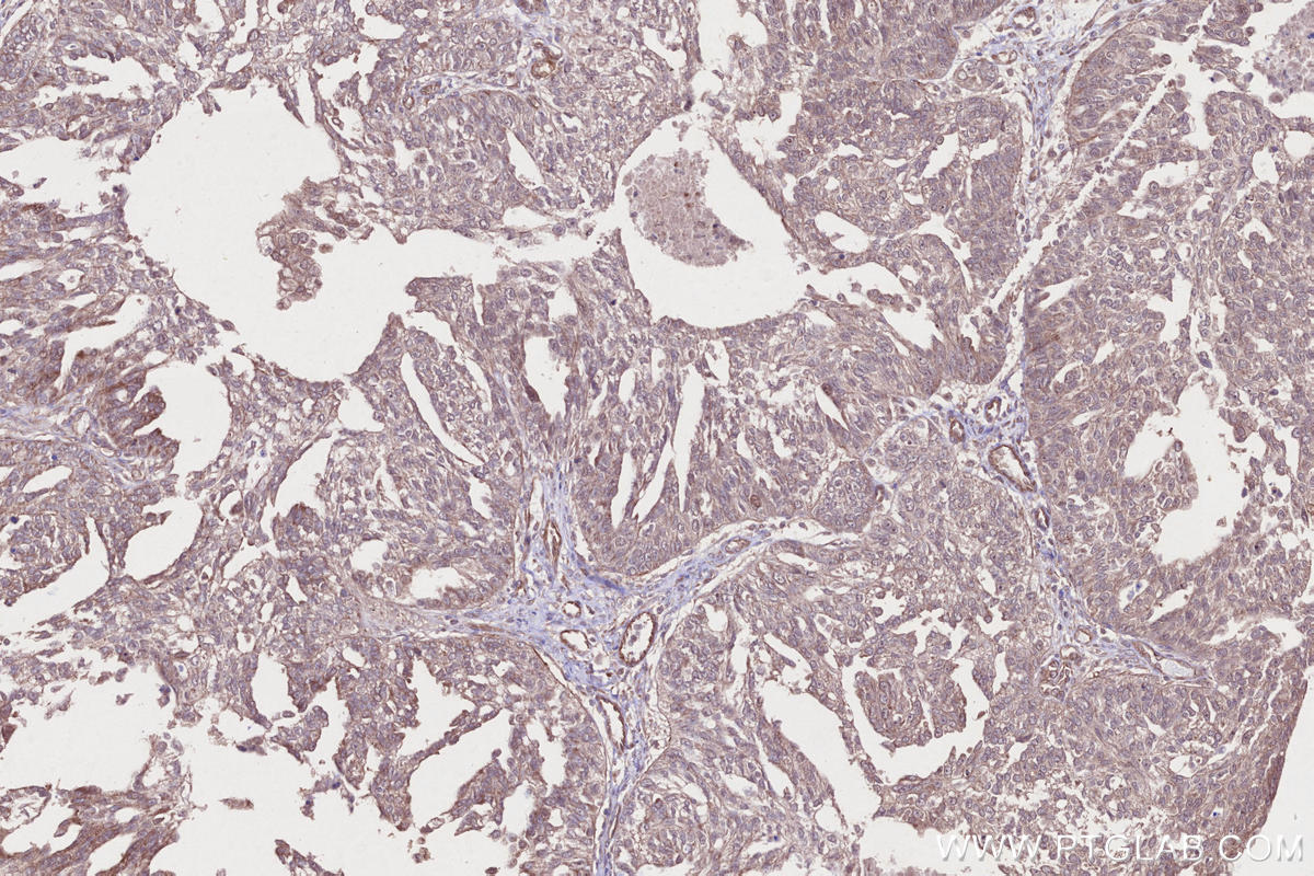
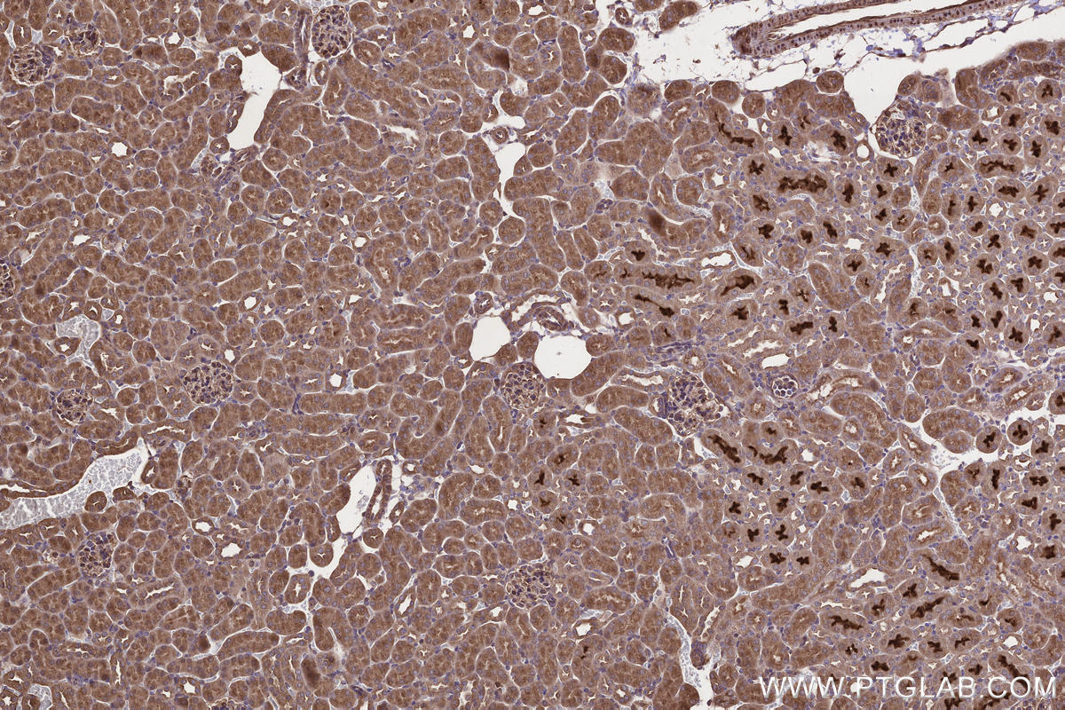
Validation Data Gallery
Product Information
KHC2669 is a ready-to-use IHC kit for staining of ARHGAP24. The kit provides all reagents, from antigen retrieval to cover slip mounting, that require little to no diluting or handling prior to use. Simply apply the reagents to your sample slide according to the protocol and you're steps away from obtaining high-quality IHC data.
| Product name | IHCeasy ARHGAP24 Ready-To-Use IHC Kit |
| Sample type | FFPE tissue |
| Assay type | Immunohistochemistry |
| Primary antibody type | Rabbit Polyclonal |
| Secondary antibody type | Polymer-HRP-Goat anti-Rabbit |
| Reactivity | Human, Mouse, Rat |
Kit components
| Component | Size | Concentration |
|---|---|---|
| Antigen Retrieval Buffer | 100 mL | 50× |
| Washing Buffer | 100 mL ×2 | 20× |
| Blocking Buffer | 5 mL | RTU |
| Primary Antibody | 5 mL | RTU |
| Secondary Antibody | 5 mL | RTU |
| Chromogen Component A | 0.2 mL | RTU |
| Chromogen Component B | 4 mL | RTU |
| Signal Enhancer | 5 mL | RTU |
| Counter Staining Reagent | 5 mL | RTU |
| Mounting Media | 5 mL | RTU |
| Datasheet | 1 Copy | |
| Manual | 1 Copy |
Background Information
ARHGAP24, also named as FILGAP, is involved in cell polarity, cell morphology and cytoskeletal organization. ARHGAP24 acts as a GTPase activator for the Rac-type GTPase by converting it to an inactive GDP-bound state. ARHGAP24 controls actin remodeling by inactivating Rac downstream of Rho leading to suppress leading edge protrusion and promotes cell retraction to achieve cellular polarity. ARHGAP24 can suppress the activity of RAC1 and CDC42 in vitro. Its overexpression induces cell rounding with partial or complete disruption of actin stress fibers and formation of membrane ruffles, lamellipodia, and filopodia. Isoform 2 is a vascular cell-specific GAP involved in modulation of angiogenesis. Primary antibody in this kit may recognize all the isoforms of ARHGAP24 except isoform 5.
Properties
| Storage Instructions | All the reagents are stored at 2-8°C. The kit is stable for 6 months from the date of receipt. |
| Synonyms | ARHGAP24,Filamin-A-associated RhoGAP,FilGAP,RAC1- |




