IHCeasy® ARFGEF2 Ready-To-Use IHC Kit
ARFGEF2 Ready-to-use reagent kit for IHC.
Reactivity
Human, Mouse
Sample Type
FFPE tissue
Cat no : KHC3087
Synonyms
BIG2, ARFGEP2, Brefeldin A inhibited GEP 2
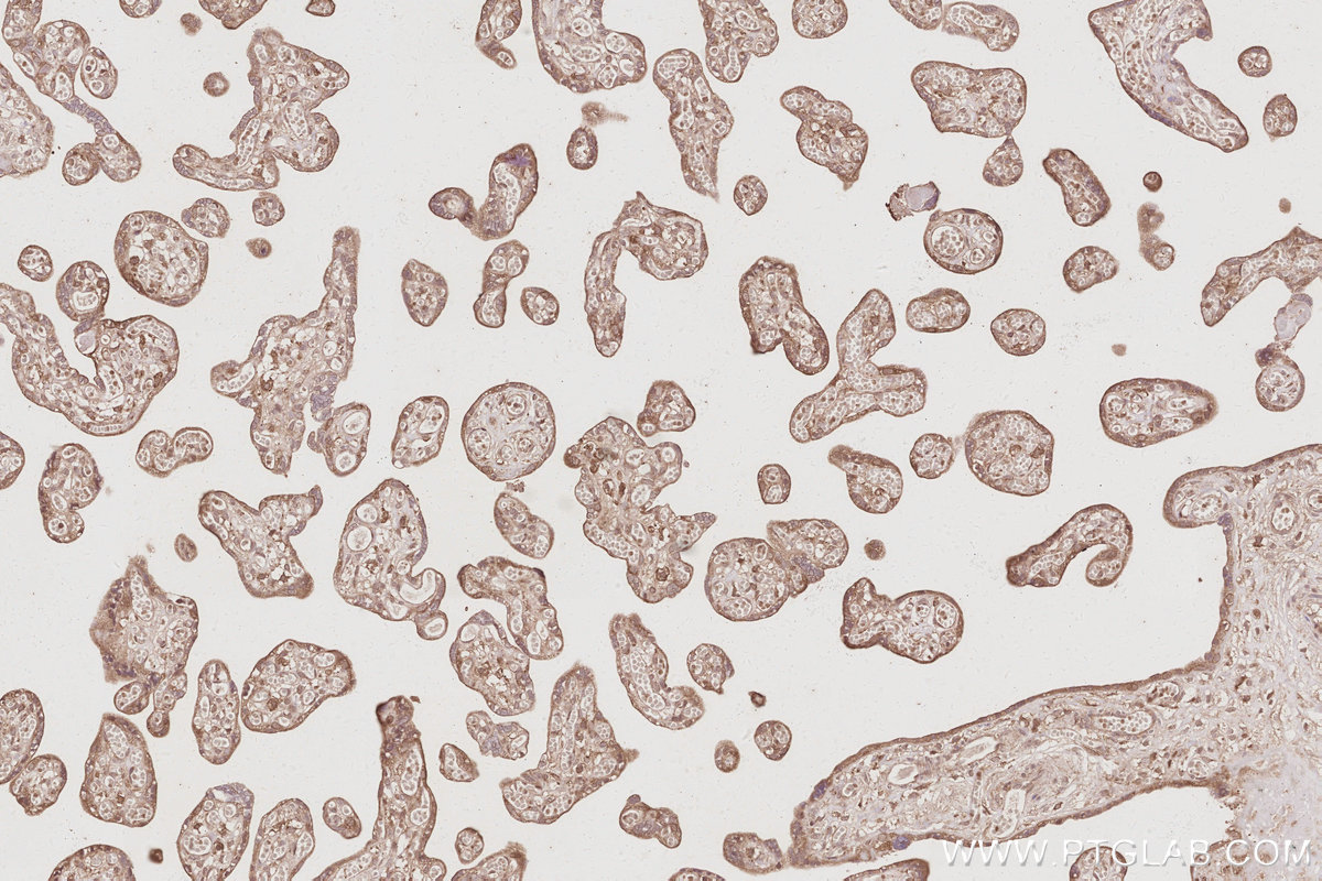
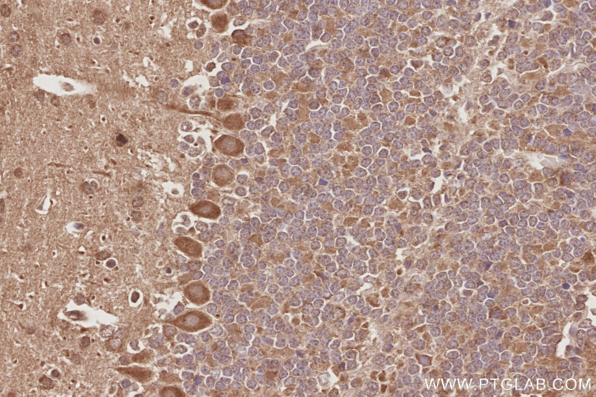
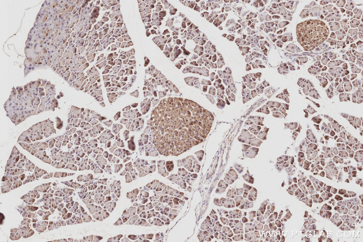
Validation Data Gallery
Product Information
KHC3087 is a ready-to-use IHC kit for staining of ARFGEF2. The kit provides all reagents, from antigen retrieval to cover slip mounting, that require little to no diluting or handling prior to use. Simply apply the reagents to your sample slide according to the protocol and you're steps away from obtaining high-quality IHC data.
| Product name | IHCeasy® ARFGEF2 Ready-To-Use IHC Kit |
| Sample type | FFPE tissue |
| Assay type | Immunohistochemistry |
| Primary antibody type | Rabbit Polyclonal |
| Secondary antibody type | Polymer-HRP-Goat anti-Rabbit |
| Reactivity | Human, Mouse |
Kit components
| Component | Size | Concentration |
|---|---|---|
| Antigen Retrieval Buffer | 100 mL | 50× |
| Washing Buffer | 100 mL ×2 | 20× |
| Blocking Buffer | 5 mL | RTU |
| Primary Antibody | 5 mL | RTU |
| Secondary Antibody | 5 mL | RTU |
| Chromogen Component A | 0.2 mL | RTU |
| Chromogen Component B | 4 mL | RTU |
| Signal Enhancer | 5 mL | RTU |
| Counter Staining Reagent | 5 mL | RTU |
| Mounting Media | 5 mL | RTU |
| Datasheet | 1 Copy | |
| Manual | 1 Copy |
Background Information
ADP-ribosylation factors (ARFs) play an important role in intracellular vesicular trafficking. ARFGEF2 is involved in the activation of ARFs by accelerating replacement of bound GDP with GTP and is involved in Golgi transport. ARFGEF2 contains a Sec7 domain, which may be responsible for its guanine-nucleotide exchange activity and also brefeldin A inhibition.
Properties
| Storage Instructions | All the reagents are stored at 2-8°C. The kit is stable for 6 months from the date of receipt. |
| Synonyms | BIG2, ARFGEP2, Brefeldin A inhibited GEP 2 |



