IHCeasy® ARFGEF1 Ready-To-Use IHC Kit
ARFGEF1 Ready-to-use reagent kit for IHC.
Reactivity
Human, Mouse, Rat
Sample Type
FFPE tissue
Cat no : KHC3088
Synonyms
ARFGEP1, BIG1, Brefeldin A inhibited GEP 1, P200, p200 ARF GEP1
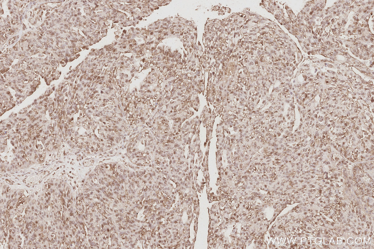
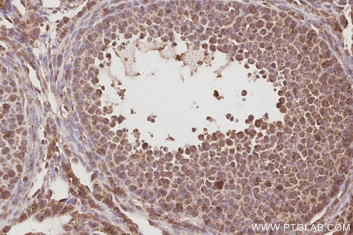
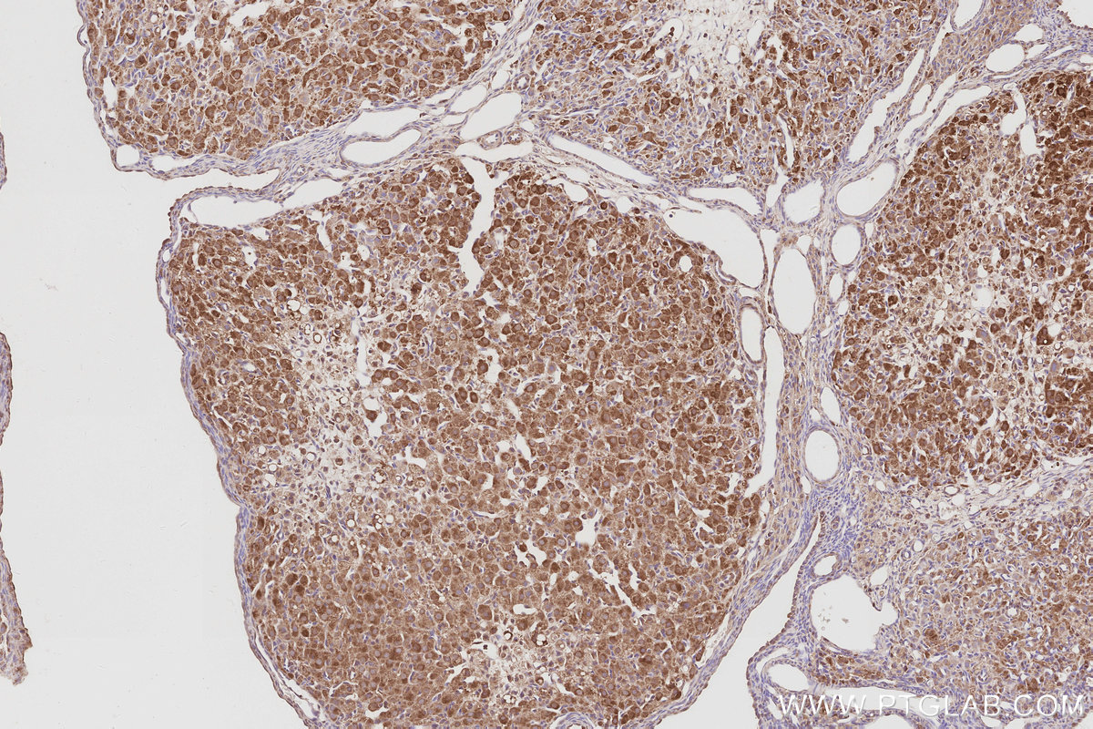
Validation Data Gallery
Product Information
KHC3088 is a ready-to-use IHC kit for staining of ARFGEF1. The kit provides all reagents, from antigen retrieval to cover slip mounting, that require little to no diluting or handling prior to use. Simply apply the reagents to your sample slide according to the protocol and you're steps away from obtaining high-quality IHC data.
| Product name | IHCeasy® ARFGEF1 Ready-To-Use IHC Kit |
| Sample type | FFPE tissue |
| Assay type | Immunohistochemistry |
| Primary antibody type | Rabbit Polyclonal |
| Secondary antibody type | Polymer-HRP-Goat anti-Rabbit |
| Reactivity | Human, Mouse, Rat |
Kit components
| Component | Size | Concentration |
|---|---|---|
| Antigen Retrieval Buffer | 100 mL | 50× |
| Washing Buffer | 100 mL ×2 | 20× |
| Blocking Buffer | 5 mL | RTU |
| Primary Antibody | 5 mL | RTU |
| Secondary Antibody | 5 mL | RTU |
| Chromogen Component A | 0.2 mL | RTU |
| Chromogen Component B | 4 mL | RTU |
| Signal Enhancer | 5 mL | RTU |
| Counter Staining Reagent | 5 mL | RTU |
| Mounting Media | 5 mL | RTU |
| Datasheet | 1 Copy | |
| Manual | 1 Copy |
Background Information
ARFGEF1 (ADP ribosylation factor guanine nucleotide exchange factor 1), also known as BIG1 (Brefeldin A-inhibited guanine nucleotide exchange protein 1), is one of the ADP ribosylation factor (ARF) guanine nucleotide exchange factor (GEF) with a conserved catalytic sec7 domain.ARFGEF1 is connected with trafficking regulation through the trans-Golgi network and endosomes.
Properties
| Storage Instructions | All the reagents are stored at 2-8°C. The kit is stable for 6 months from the date of receipt. |
| Synonyms | ARFGEP1, BIG1, Brefeldin A inhibited GEP 1, P200, p200 ARF GEP1 |





