IHCeasy® ANXA11 Ready-To-Use IHC Kit
ANXA11 Ready-to-use reagent kit for IHC.
Reactivity
Human, Mouse, Rat
Sample Type
FFPE tissue
Cat no : KHC0708
Synonyms
56 kDa autoantigen, Annexin 11, annexin A11, Annexin XI, ANX11, ANXA11, CAP 50, CAP50
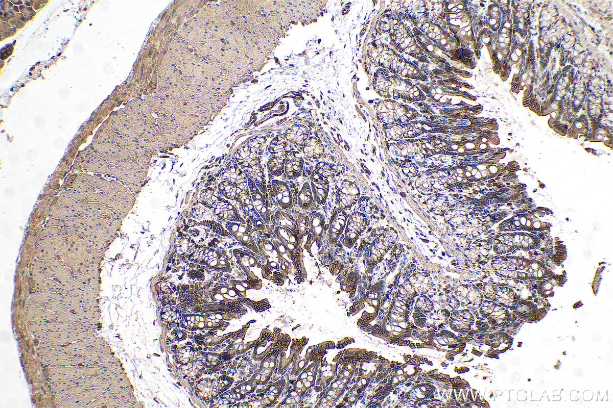
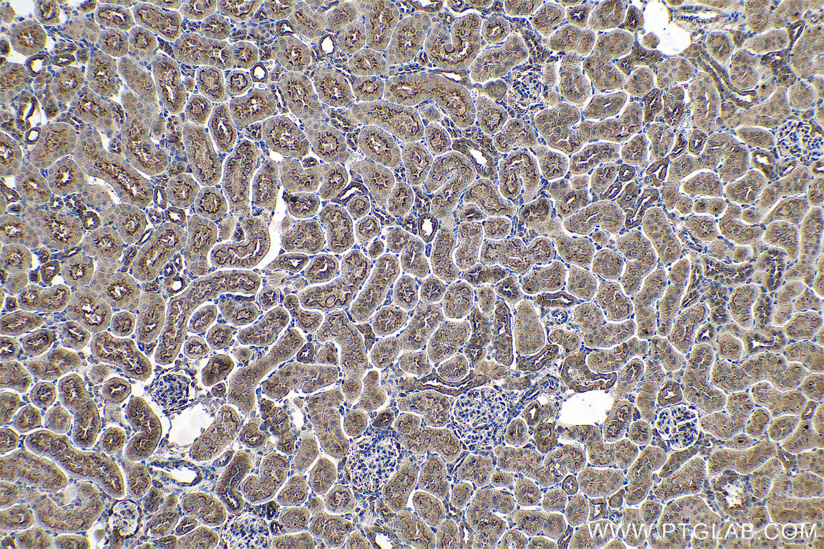
Validation Data Gallery
Product Information
KHC0708 is a ready-to-use IHC kit for staining of ANXA11. The kit provides all reagents, from antigen retrieval to cover slip mounting, that require little to no diluting or handling prior to use. Simply apply the reagents to your sample slide according to the protocol and you're steps away from obtaining high-quality IHC data.
| Product name | IHCeasy ANXA11 Ready-To-Use IHC Kit |
| Sample type | FFPE tissue |
| Assay type | Immunohistochemistry |
| Primary antibody type | Mouse Monoclonal |
| Secondary antibody type | Polymer-HRP-Goat anti-Mouse |
| Reactivity | Human, Mouse, Rat |
Kit components
| Component | Size | Concentration |
|---|---|---|
| Antigen Retrieval Buffer | 100 mL | 50× |
| Washing Buffer | 100 mL ×2 | 20× |
| Blocking Buffer | 5 mL | RTU |
| Primary Antibody | 5 mL | RTU |
| Secondary Antibody | 5 mL | RTU |
| Chromogen Component A | 0.2 mL | RTU |
| Chromogen Component B | 4 mL | RTU |
| Signal Enhancer | 5 mL | RTU |
| Counter Staining Reagent | 5 mL | RTU |
| Mounting Media | 5 mL | RTU |
| Datasheet | 1 Copy | |
| Manual | 1 Copy |
Background Information
Annexin A11 (Anxa11) is one member of annexins that are Ca2+-regulated phospholipid-binding proteins. Annexin A11 plays an important role in cell division, differentiation, apoptosis, vesicle trafficking and Ca2+ signaling. Annexin A11 dysregulation is involved in the progression, drug-resistance, recurrence of systemic autoimmune disease and cancer.
Properties
| Storage Instructions | All the reagents are stored at 2-8°C. The kit is stable for 6 months from the date of receipt. |
| Synonyms | 56 kDa autoantigen, Annexin 11, annexin A11, Annexin XI, ANX11, ANXA11, CAP 50, CAP50 |







