IHCeasy® ANKRD54 Ready-To-Use IHC Kit
ANKRD54 Ready-to-use reagent kit for IHC.
Reactivity
Human, Mouse, Rat
Sample Type
FFPE tissue
Cat no : KHC3104
Synonyms
ANKRD 54, Ankyrin repeat domain-containing protein 54, LIAR, Lyn-interacting ankyrin repeat protein
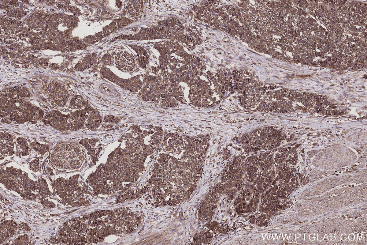
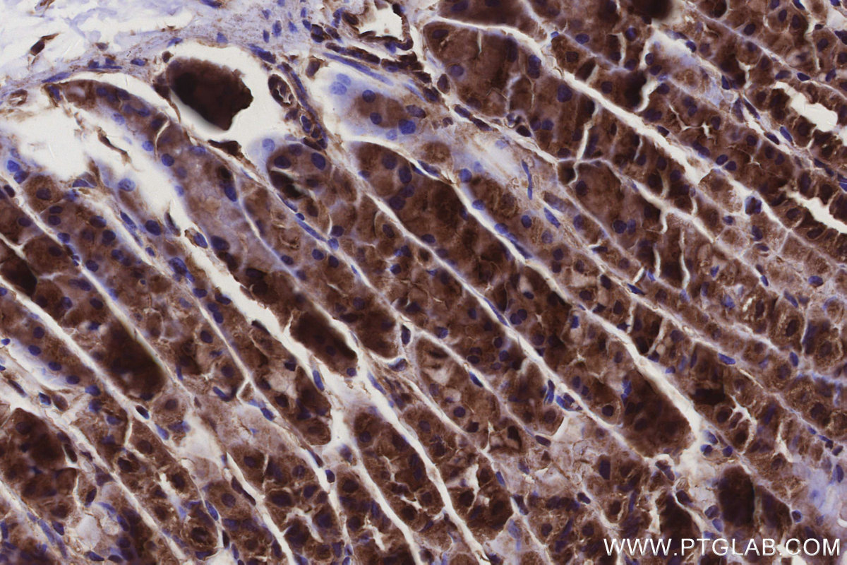
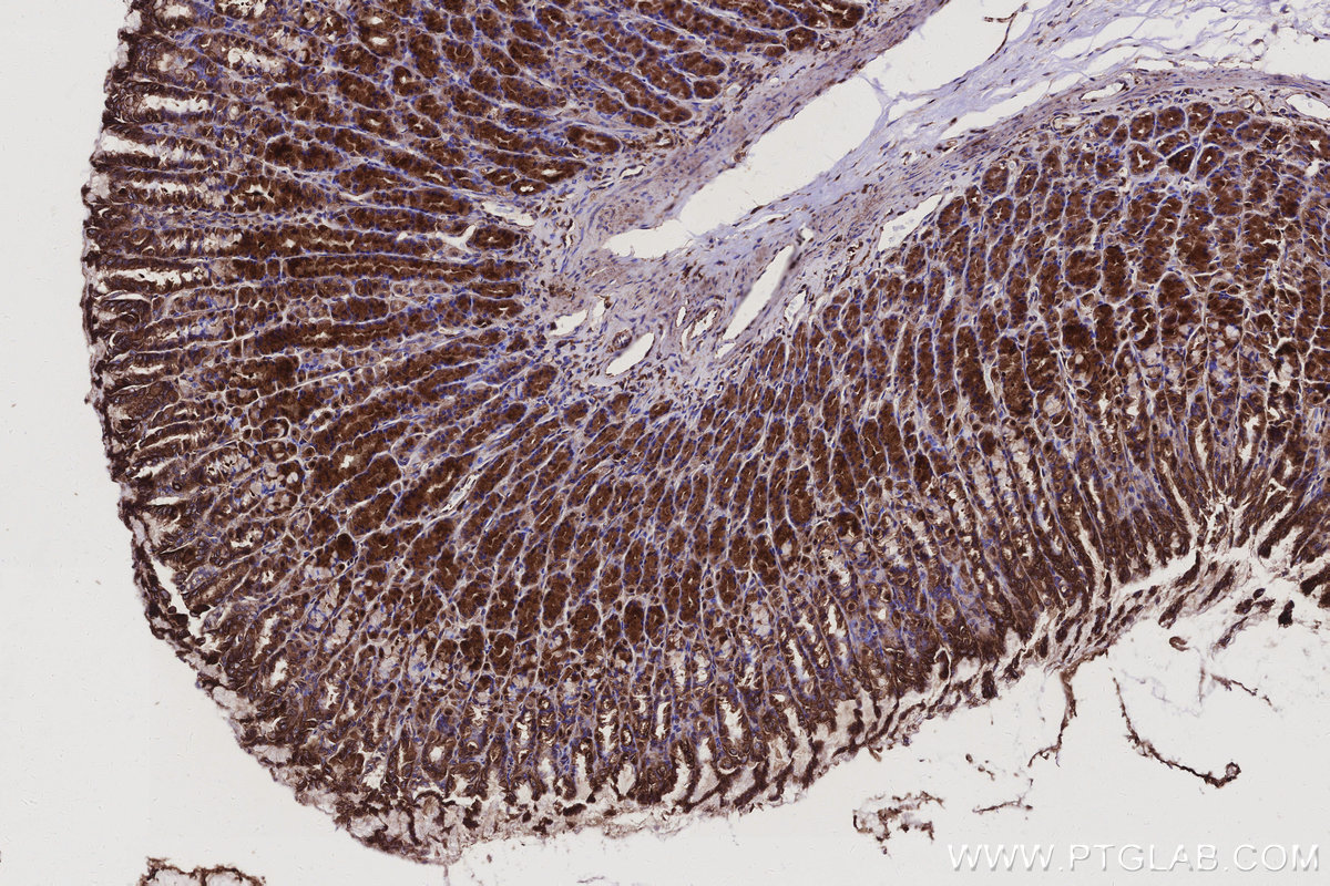
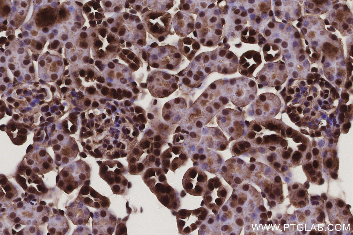
Validation Data Gallery
Product Information
KHC3104 is a ready-to-use IHC kit for staining of ANKRD54. The kit provides all reagents, from antigen retrieval to cover slip mounting, that require little to no diluting or handling prior to use. Simply apply the reagents to your sample slide according to the protocol and you're steps away from obtaining high-quality IHC data.
| Product name | IHCeasy® ANKRD54 Ready-To-Use IHC Kit |
| Sample type | FFPE tissue |
| Assay type | Immunohistochemistry |
| Primary antibody type | Rabbit Polyclonal |
| Secondary antibody type | Polymer-HRP-Goat anti-Rabbit |
| Reactivity | Human, Mouse, Rat |
Kit components
| Component | Size | Concentration |
|---|---|---|
| Antigen Retrieval Buffer | 100 mL | 50× |
| Washing Buffer | 100 mL ×2 | 20× |
| Blocking Buffer | 5 mL | RTU |
| Primary Antibody | 5 mL | RTU |
| Secondary Antibody | 5 mL | RTU |
| Chromogen Component A | 0.2 mL | RTU |
| Chromogen Component B | 4 mL | RTU |
| Signal Enhancer | 5 mL | RTU |
| Counter Staining Reagent | 5 mL | RTU |
| Mounting Media | 5 mL | RTU |
| Datasheet | 1 Copy | |
| Manual | 1 Copy |
Background Information
Ankyrin repeat domain 54 (ANKRD54)/Liar is a nuclear-cytoplasmic shuttling adaptor that interacts with Lyn, Btk, Txk, and HCLS1. Activation of PKC kinases promoted nuclear export and phosphorylation of Ankrd54, and increased interaction and cytoplasmic co-localization with Lyn.
Properties
| Storage Instructions | All the reagents are stored at 2-8°C. The kit is stable for 6 months from the date of receipt. |
| Synonyms | ANKRD 54, Ankyrin repeat domain-containing protein 54, LIAR, Lyn-interacting ankyrin repeat protein |






