IHCeasy® ANAPC10 Ready-To-Use IHC Kit
ANAPC10 Ready-to-use reagent kit for IHC.
Reactivity
Human, Mouse, Rat
Sample Type
FFPE tissue
Cat no : KHC3040
Synonyms
ANAPC 10, Anaphase-promoting complex subunit 10, APC10, DOC1
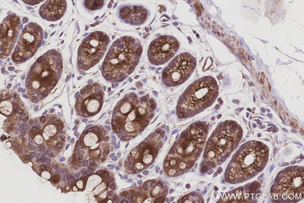
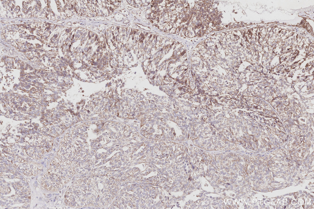
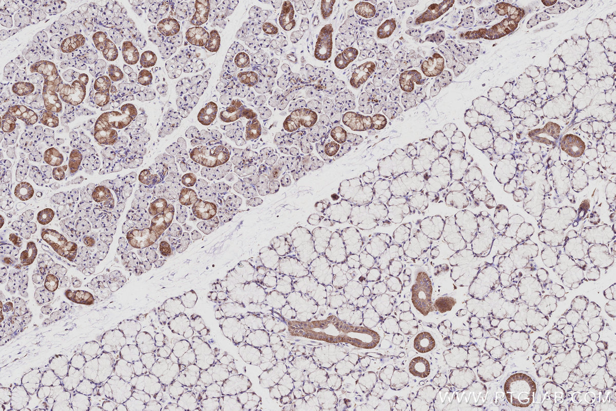
Validation Data Gallery
Product Information
KHC3040 is a ready-to-use IHC kit for staining of ANAPC10. The kit provides all reagents, from antigen retrieval to cover slip mounting, that require little to no diluting or handling prior to use. Simply apply the reagents to your sample slide according to the protocol and you're steps away from obtaining high-quality IHC data.
| Product name | IHCeasy® ANAPC10 Ready-To-Use IHC Kit |
| Sample type | FFPE tissue |
| Assay type | Immunohistochemistry |
| Primary antibody type | Rabbit Polyclonal |
| Secondary antibody type | Polymer-HRP-Goat anti-Rabbit |
| Reactivity | Human, Mouse, Rat |
Kit components
| Component | Size | Concentration |
|---|---|---|
| Antigen Retrieval Buffer | 100 mL | 50× |
| Washing Buffer | 100 mL ×2 | 20× |
| Blocking Buffer | 5 mL | RTU |
| Primary Antibody | 5 mL | RTU |
| Secondary Antibody | 5 mL | RTU |
| Chromogen Component A | 0.2 mL | RTU |
| Chromogen Component B | 4 mL | RTU |
| Signal Enhancer | 5 mL | RTU |
| Counter Staining Reagent | 5 mL | RTU |
| Mounting Media | 5 mL | RTU |
| Datasheet | 1 Copy | |
| Manual | 1 Copy |
Background Information
Anaphase-promoting complex subunit 10 (Anapc10) is a component of the promoting complex/cyclosome (APC/C), a cell cycle-regulated E3 ubiquitin ligase.Anapc10 recognizes ubiquitination-mediated degradation of substrates, and is expressed predominantly in the cytoplasm of spermatogonial and leptoblast cells.
Properties
| Storage Instructions | All the reagents are stored at 2-8°C. The kit is stable for 6 months from the date of receipt. |
| Synonyms | ANAPC 10, Anaphase-promoting complex subunit 10, APC10, DOC1 |




