IHCeasy® AMFR/GP78 Ready-To-Use IHC Kit
AMFR/GP78 Ready-to-use reagent kit for IHC.
Reactivity
Human, Mouse, Rat
Sample Type
FFPE tissue
Cat no : KHC3030
Synonyms
AMFR, E3 ubiquitin-protein ligase AMFR, EC:2.3.2.36, GP78, RNF 45
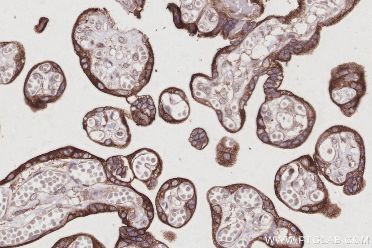
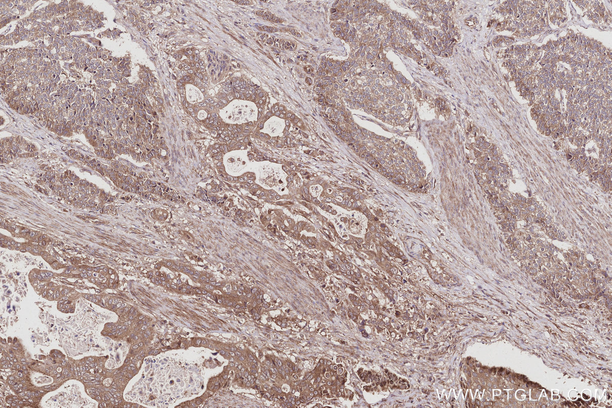
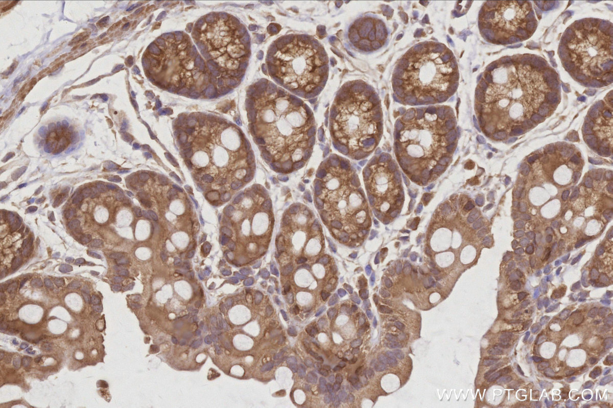
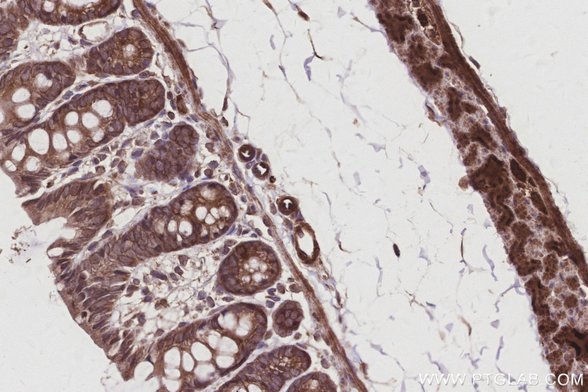
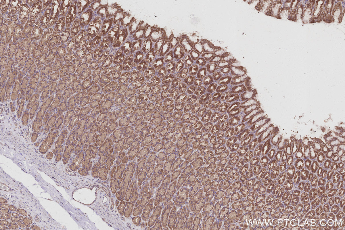
Validation Data Gallery
Product Information
KHC3030 is a ready-to-use IHC kit for staining of AMFR/GP78. The kit provides all reagents, from antigen retrieval to cover slip mounting, that require little to no diluting or handling prior to use. Simply apply the reagents to your sample slide according to the protocol and you're steps away from obtaining high-quality IHC data.
| Product name | IHCeasy® AMFR/GP78 Ready-To-Use IHC Kit |
| Sample type | FFPE tissue |
| Assay type | Immunohistochemistry |
| Primary antibody type | Rabbit Polyclonal |
| Secondary antibody type | Polymer-HRP-Goat anti-Rabbit |
| Reactivity | Human, Mouse, Rat |
Kit components
| Component | Size | Concentration |
|---|---|---|
| Antigen Retrieval Buffer | 100 mL | 50× |
| Washing Buffer | 100 mL ×2 | 20× |
| Blocking Buffer | 5 mL | RTU |
| Primary Antibody | 5 mL | RTU |
| Secondary Antibody | 5 mL | RTU |
| Chromogen Component A | 0.2 mL | RTU |
| Chromogen Component B | 4 mL | RTU |
| Signal Enhancer | 5 mL | RTU |
| Counter Staining Reagent | 5 mL | RTU |
| Mounting Media | 5 mL | RTU |
| Datasheet | 1 Copy | |
| Manual | 1 Copy |
Background Information
AMFR(Autocrine motility factor receptor) is also named as RNF45,gp78.It is the receptor of Autocrine motility factor(AMF),which is a protein secreted by tumor cells that stimulates tumor motility. AMFR has a potential N-glycosylation site, and several potential O-glycosylation sites.In normal fibroblasts,the expression of AMFR appeared to be regulated by cell-cell contact.
Properties
| Storage Instructions | All the reagents are stored at 2-8°C. The kit is stable for 6 months from the date of receipt. |
| Synonyms | AMFR, E3 ubiquitin-protein ligase AMFR, EC:2.3.2.36, GP78, RNF 45 |






