IHCeasy® ALR Ready-To-Use IHC Kit
ALR Ready-to-use reagent kit for IHC.
Reactivity
Human, Mouse, Rat
Sample Type
FFPE tissue
Cat no : KHC3231
Synonyms
GFER, EC:1.8.3.2, ERV1, FAD-linked sulfhydryl oxidase ALR, Hepatopoietin
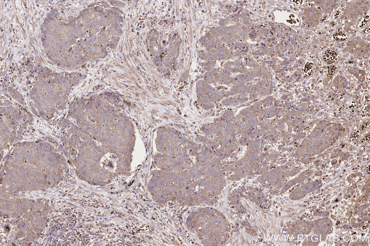
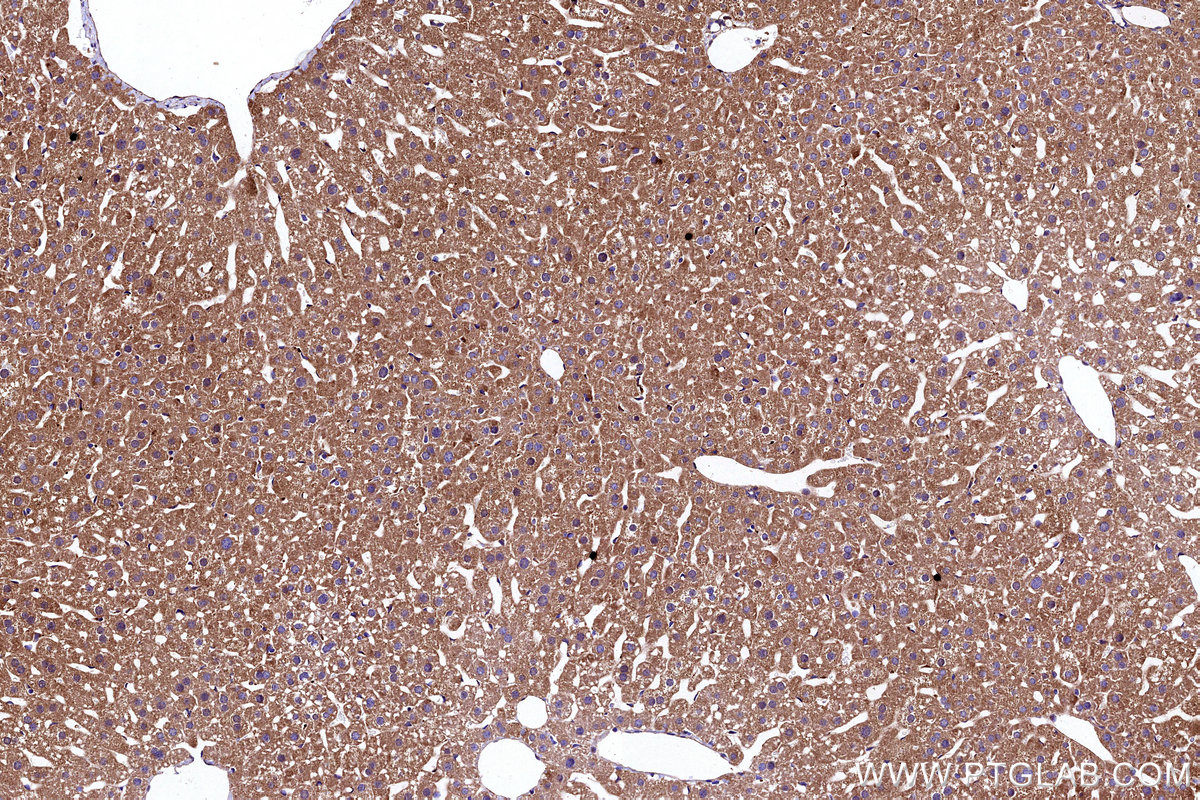
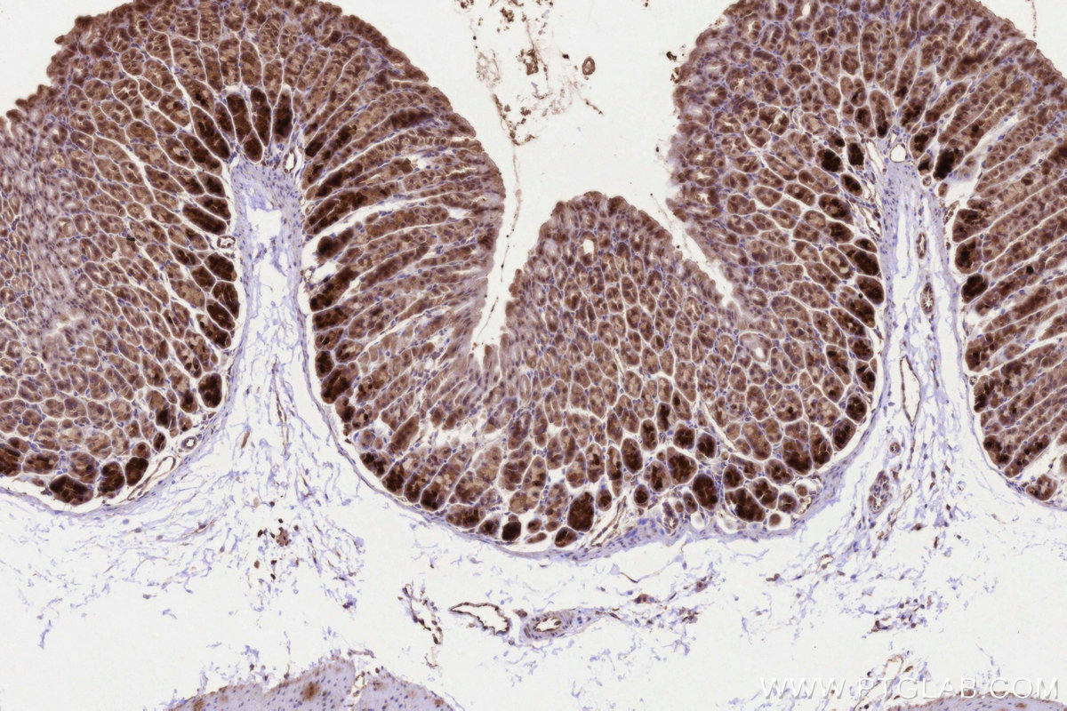
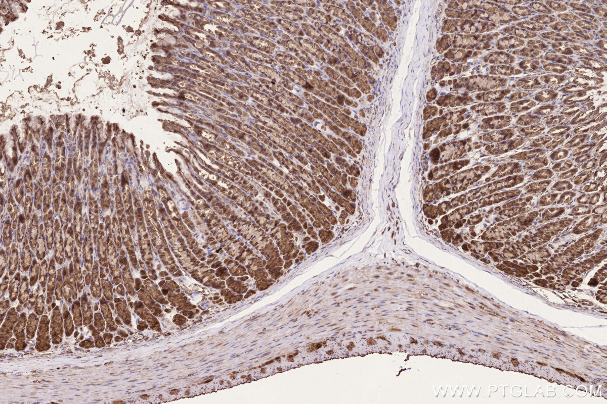
Validation Data Gallery
Product Information
KHC3231 is a ready-to-use IHC kit for staining of ALR. The kit provides all reagents, from antigen retrieval to cover slip mounting, that require little to no diluting or handling prior to use. Simply apply the reagents to your sample slide according to the protocol and you're steps away from obtaining high-quality IHC data.
| Product name | IHCeasy® ALR Ready-To-Use IHC Kit |
| Sample type | FFPE tissue |
| Assay type | Immunohistochemistry |
| Primary antibody type | Rabbit Polyclonal |
| Secondary antibody type | Polymer-HRP-Goat anti-Rabbit |
| Reactivity | Human, Mouse, Rat |
Kit components
| Component | Size | Concentration |
|---|---|---|
| Antigen Retrieval Buffer | 100 mL | 50× |
| Washing Buffer | 100 mL ×2 | 20× |
| Blocking Buffer | 5 mL | RTU |
| Primary Antibody | 5 mL | RTU |
| Secondary Antibody | 5 mL | RTU |
| Chromogen Component A | 0.2 mL | RTU |
| Chromogen Component B | 4 mL | RTU |
| Signal Enhancer | 5 mL | RTU |
| Counter Staining Reagent | 5 mL | RTU |
| Mounting Media | 5 mL | RTU |
| Datasheet | 1 Copy | |
| Manual | 1 Copy |
Background Information
GFER (FAD-linked sulfhydryl oxidase) is also named as ALR, HERV1, HPO. It plays an important role in the disulfide relay system (DRS) in human mitochondria. The GFER gene codes for 2 distinct isoforms that are probably synthesized from the same mRNA with the use of different initiation codons. The long isoform is located mainly in the mitochondrial intermembrane space and exists under nonreducing and nondenaturing conditions as a homodimer and a heterodimer. The shorter isoform which lacks 80 amino acids at its N terminus compared to the longer isoform, is present predominantly in the nucleus.
Properties
| Storage Instructions | All the reagents are stored at 2-8°C. The kit is stable for 6 months from the date of receipt. |
| Synonyms | GFER, EC:1.8.3.2, ERV1, FAD-linked sulfhydryl oxidase ALR, Hepatopoietin |




